まずは歯科医師がお子様の歯並びや噛み合わせの状態を診察し、お悩みを伺います。
その上で、プレオルソが適しているか判断します。
治療の流れ・期間・費用についても詳しくお伝えしますので、ご不明点などお気軽にご質問ください。
プレオルソ
院長 引野 貴之
Hikino Takayuki
経歴
| 2016年 | 神奈川歯科大学卒業 |
| 2016年 | 日本歯科大学附属病院 研修医 |
| 2017年〜 | 都内の歯科医院 副院長 |
| 2022年 | オーラルビューティークリニッククラリス歯科・矯正歯科 開院 |
| 2025年 | 医療法人社団クラリス 開設 理事長 兼 院長 |
資格
- JIADインプラント認証医
- インビザライン矯正 2024、2025年 ブラックダイヤモンドドクター認定(国内約 10名)
- スマイルトゥルー マウスピース型矯正認定
- ハーモニー舌側矯正認定
所属学会
- 日本矯正歯科学会 会員
- 日本口腔インプラント学会会員(日本口腔インプラント学会認定100時間講習会修了)
- 公益社団法人 日本歯科先端技術研究所(JIAD)会員/JIAD
「子どもの歯並びが気になるけど、痛そうで可哀想」「学校で目立つ矯正装置は避けたい」とお悩みの保護者の方は少なくありません。
プレオルソは3歳〜10歳のお子様を対象とする、取り外し可能なマウスピース型矯正装置です。
家にいる1時間と就寝時に装着するだけで、歯並びだけでなく口呼吸や舌癖などの悪習慣も改善が期待できます。
世界中で20万人以上の治療実績があり、日本国内でも多くの歯科医院が採用している信頼性の高い治療法です。
本ページでは従来のワイヤー矯正との違いや、インビザライン・ファーストとの比較を含めて、プレオルソについて詳しく解説します。
当院のプレオルソ治療の特徴
- お子様の成長に合わせた適切なタイミングでの治療時期の提案
- 痛みが少なく、学校生活に支障をきたしにくい治療設計
- 歯並びだけでなく、口呼吸や舌癖などの根本原因にアプローチ
- カウンセリングから治療完了まで同じ先生が対応
- JR西国分寺駅 徒歩2分平日19時まで、土日も15時まで診療で通いやすい
プレオルソとは

プレオルソとは、柔らかいシリコン製のマウスピース型矯正装置で、お子様の歯並びを整える治療法です。
従来のワイヤー矯正とは異なり、取り外しが可能で、家にいる時間と就寝時に装着するだけで効果が期待できます。
歯並びを整えるだけでなく、口呼吸・舌の位置・飲み込み方などの悪習慣を改善することで、将来的な歯並びの悪化を予防します。
プレオルソは、顎の骨が成長段階にある時期に使用することで、自然な成長を促しながら歯並びを整えられる点が大きな特徴です。
【対象年齢・適応】
プレオルソは、主に3歳〜10歳までの第1期治療にあたるお子様が対象です。
第1期治療とは、永久歯が生え揃う前の混合歯列期に行う矯正治療のことで、顎の成長を利用しながら歯が並ぶスペースを確保し正しい位置に歯が生えてくるように導く治療方法です。
この時期に治療を開始することで、将来的に抜歯を伴う本格矯正が不要になったり、第2期治療が必要な場合でも治療期間が短縮できるなどのメリットがあります。
矯正の対象となる歯並び
01
出っ歯(上顎前突)
上の前歯が前に突き出ている状態です。
プレオルソは上顎の過度な成長を抑制しながら、下顎の成長を促進することで改善を図ります。
02
受け口(反対咬合)
下の前歯が上の前歯より前に出ている状態です。
成長期に治療することで上顎の成長を促し、下顎の過度な成長を抑制します。
03
開咬
奥歯を噛んでも前歯が閉じない状態です。
舌の位置や飲み込み方の改善により、前歯の咬み合わせを整えます。
04
叢生(ガタガタの歯並び)
歯が重なり合って生えている状態です。
顎を広げることで歯が並ぶスペースを確保し、きれいな歯並びへと導きます。
05
過蓋咬合
上の前歯が下の前歯に深く覆いかぶさっている状態です。
正しい咬み合わせの位置へと誘導します。
- 取り外しができるため、食事や歯磨きがしやすい
- 学校に装着していく必要がなく、お友達に気づかれにくい
- 柔らかい素材のため、痛みや違和感が少ない
- 歯並びだけでなく、口呼吸や舌癖などの根本原因を改善できる
- 従来のワイヤー矯正に比べて費用が抑えられる
- 虫歯のリスクが低い
- 金属アレルギーの心配がない
- 将来的な本格矯正が不要になる、または簡単になる可能性がある
- 顎の成長を利用するため、抜歯の可能性が低くなる
プレオルソは1期治療の予防矯正です
プレオルソは、顎の骨が成長段階にある時期に行う第1期治療に分類されます。
そのため、永久歯が生え揃ってしまった中学生以降のお子様や、成長が完了した成人の方には適用できません。
お子様の歯並びが気になる場合は、できるだけ早い段階で歯科医院にご相談いただくことをおすすめします。
また、プレオルソは予防矯正として位置づけられており、将来的な歯並びの悪化を防ぐことが主な目的です。
症例によっては、プレオルソによる第1期治療だけでは完全な歯並びの改善が難しく、永久歯が生え揃った後に第2期治療としてワイヤー矯正やマウスピース矯正が必要になるケースもあります。
お子様の歯並びが悪くなる原因
お子様の歯並びが悪くなる原因は、遺伝的要因と環境的要因の2つに大きく分けられます。
遺伝的要因
両親の歯並びや顎の大きさは、お子様に遺伝する可能性があります。
特に、顎の骨格や歯の大きさは遺伝の影響を受けやすく、両親のどちらかが受け口や出っ歯の場合、お子様も同様の傾向が見られることがあります。
環境的要因(悪習癖)
日常生活の中での悪い癖が、歯並びに大きく影響します。
口呼吸
口呼吸は、本来鼻で呼吸すべきところを口で呼吸してしまう癖で、常に口が開いている状態が続くと、舌の位置が下がり上顎の発育が不十分になります。
その結果、歯が並ぶスペースが狭くなり、歯並びが悪くなります。
指しゃぶりや舌で前歯を押す癖は、前歯に持続的な力がかかるため、出っ歯や開咬の原因となります。
3歳を過ぎても指しゃぶりが続く場合は、歯並びへの影響を考慮して改善を促す必要があります。
頬杖
頬杖や横向き寝などの姿勢も、顎の成長に影響を与えます。
いつも同じ側で頬杖をついたり、同じ向きで寝たりすると、顎の成長が左右非対称になり、顔の歪みにつながる可能性があります。
偏った食習慣
柔らかい食べ物ばかり食べる食生活も、顎の発育不足の原因です。
よく噛む必要のある食べ物を取り入れることで、顎の骨が適切に成長し、歯が並ぶスペースが確保されます。
プレオルソは、これらの環境的要因による悪習慣を改善しながら、正しい口腔機能を獲得することで歯並びの改善と将来的な悪化の予防を目指します。
インビザライン・ファーストとの違い
プレオルソとインビザライン・ファーストは、どちらもお子様向けのマウスピース型矯正装置ですが、装着方法や治療の目的に違いがあります。
| プレオルソ | インビザライン・ファースト | |
| 装着方法 | 既製品のマウスピースを使用し お子様の口腔内に合わせて調整 | 一人一人の歯形に合わせた オーダーメイドのマウスピース |
| 1日の装着時間 | 家にいる時間の1時間と就寝時のみ | 1日20時間以上 (食事と歯磨き以外は常に装着) |
| 学校での装着 | 不要 | 必要 |
| 通院間隔 | 2~3か月に1回程度 | 1か月半から2か月に1回程度 |
| 治療期間の目安 | 2年から3年程度 | 1年半程度 |
| 通院時の内容 | 装置の調整や口腔機能のトレーニング | 新しいマウスピースへの交換 |
| 治療の目的 | 歯並びの改善+口呼吸や舌癖など 悪習慣を改善 | 歯並びそのものを整える |
どちらの治療法が適しているかは、お子様の歯並びの状態・生活スタイル・治療への協力度などによって異なります。
歯科医師と相談しながら、お子様に最適な治療法を選択しましょう。
従来の矯正方法と予防矯正の違い
従来の矯正方法と予防矯正では、治療を開始する時期と治療の目的が大きく異なります。
| 従来の矯正方法(第2期治療) | 予防矯正(第1期治療) | |
| 治療時期 | 永久歯が生えそろった後 | 永久歯が生え揃う前の混合歯列期 |
| 使用する装置 | ワイヤーやブラケット | プレオルソなどのマウスピース型装置 |
| 治療方法 | すでに並んでしまった歯を移動させて 歯並びを整える | 顎の成長を利用しながら 歯が並ぶスペースを確保し、 正しい位置に歯が生えるよう導く |
| 治療の目的 | 歯並びの改善 | 歯並びの改善+口呼吸や舌癖などの 悪習慣を改善 |
| 抜歯の可能性 | 歯を移動させるスペースが 不足している場合、 健康な永久歯を抜歯することもある | 顎の成長を利用できるため、 抜歯の可能性が低くなる |
| 治療期間 | 2年から3年程度 | お子様の成長段階により異なる |
| 装置の見た目 | 装置が常に見える状態のため、 見た目を気にするお子様もいる | 取り外し可能で、 学校に装着していく必要がない |
| 将来的な影響 | なし | 早期治療により治療期間の短縮や 将来的な本格矯正が不要 もしくは抜歯せず本格矯正が できるようになることがある |
予防矯正の最大のメリットは、顎の成長を利用できるため抜歯の可能性が低くなり、お子様の成長に合わせた自然な治療が可能になることです。
プレオルソの特徴
取り外しが可能で衛生的
プレオルソは取り外し可能なマウスピース型矯正装置です。
食事の時は外して普段通りに食べられるため、装置に食べ物が詰まる心配がありません。
また、歯磨きの際も外せるため、お子様自身でしっかりと歯を磨くことができ、虫歯のリスクを最小限に抑えられます。
従来のワイヤー矯正では装置の周りに食べかすが溜まりやすく、歯磨きが難しいという問題がありましたが、プレオルソではそのような心配が不要です。
柔らかいシリコン製の素材を使用しているため、装着時の痛みや違和感が少なく、お子様でも無理なく続けられます。
お家にいる間の1時間と就寝時の装着だけでOK
プレオルソは、家にいる時間の1時間と就寝時に装着するだけで効果が期待できます。
学校に装着していく必要がないため、授業中や休み時間に装置が気になることがなく、お子様が安心して学校生活を送れます。
就寝時の装着は、お子様自身が意識せずに治療時間を確保できるため、継続しやすい点も大きなメリットです。
在宅時の1時間も、テレビを見たり宿題をしたりする時間に装着すれば大丈夫ですので、特別な時間を取る必要がありません。
装着時間が短いため、お子様の負担を最小限に抑えられ、長期間にわたって治療を継続できます。
他のお友達に気づかれずに始められてお子様の負担が少なく続けやすい
プレオルソは学校に装着していく必要がないため、お友達や先生に気づかれることがありません。
「歯科矯正をしていることを知られたくない」「装置が目立つのが恥ずかしい」と感じるお子様でも、安心して治療を始められます。
特に見た目を気にする思春期のお子様にとって、この点は非常に重要です。
また、取り外しができるため、学校行事や写真撮影の際にも装置を外すことができ、お子様の大切な思い出作りに支障をきたしません。
装着時の痛みが少なく、装着時間も短いため、お子様が嫌がらずに続けやすい治療法です。
保護者の方の声かけとサポートにより、楽しみながら治療を進められます。
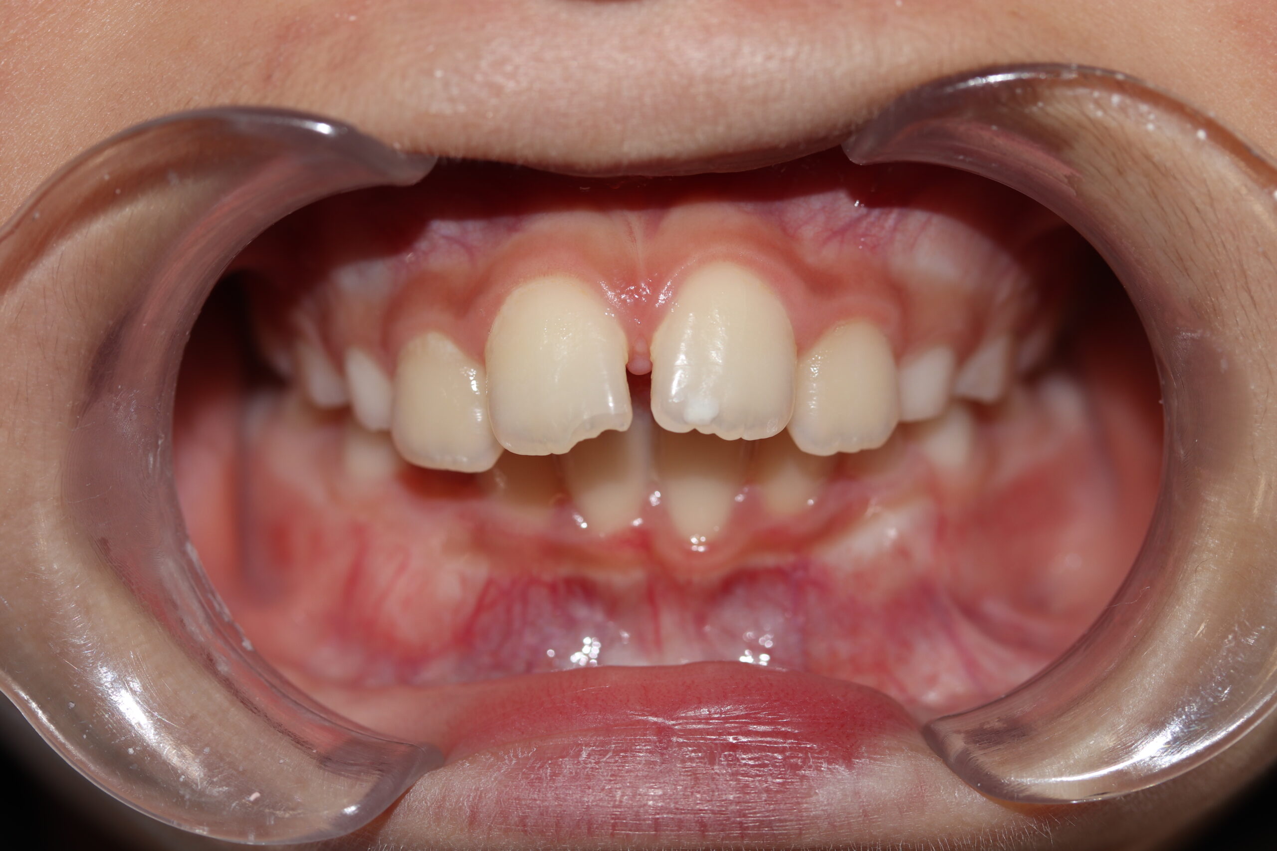
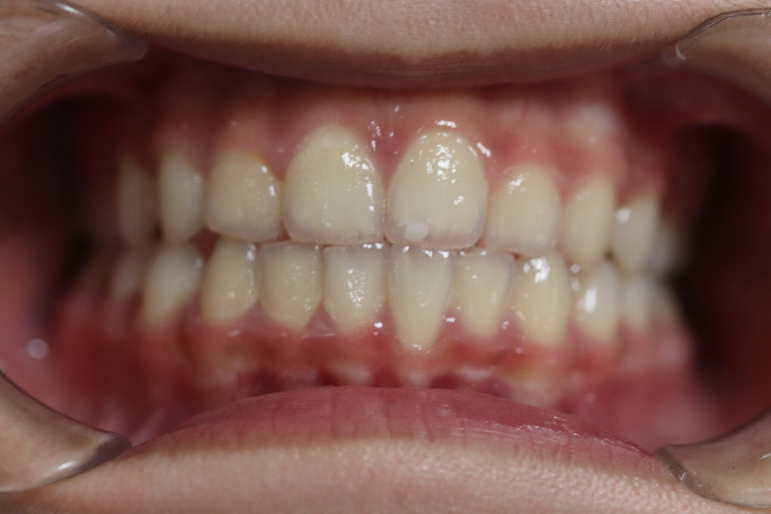
症例
before
after
施術概要
機能的マウスピース矯正装置【プレオルソ】
金額
検査:22,000円(税込)
装置:88,000(税込)
期間・回数
2年4ヶ月
リスク・副作用
しっかりとお家でプレオルソの装着とトレーニングを行えなければ、効果は出ません。
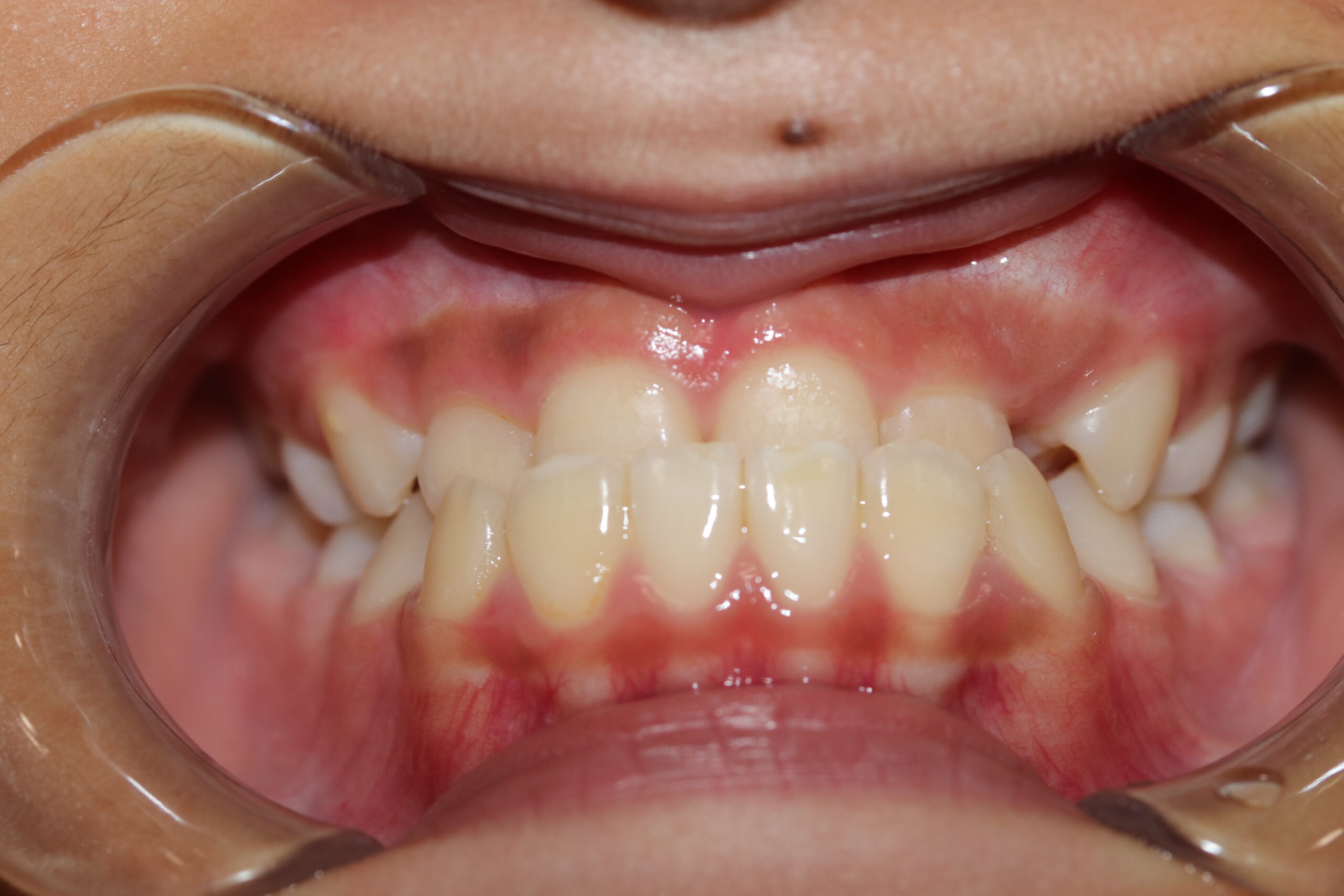
before
after
施術概要
機能的マウスピース矯正装置【プレオルソ】
金額
検査:22,000円(税込)
装置:88,000(税込)
期間・回数
5ヶ月
リスク・副作用
しっかりとお家でプレオルソの装着とトレーニングを行えなければ、効果は出ません。
before
after
施術概要
機能的マウスピース矯正装置【プレオルソ】
金額
検査:22,000円(税込)
装置:88,000(税込)
期間・回数
1年5ヶ月
リスク・副作用
しっかりとお家でプレオルソの装着とトレーニングを行えなければ、効果は出ません。
治療の流れ
お子様の骨格や歯の状態を詳しく確認します。
レントゲン撮影、口腔内・お顔の写真、歯型取りなどの検査を行い、正確な診断資料を集めます。
検査結果をもとに、治療計画を立案します。
お子様と保護者の方に治療の進め方や期間、注意点などをわかりやすくご説明し、ご納得いただいた上で治療をスタートします。
お子様に合わせて調整したプレオルソをお渡しします。
装着方法や取り外し方、お手入れの方法など、丁寧にご説明いたします。
在宅時の1時間と就寝時にプレオルソを装着していただきます。
最初は違和感を感じることもありますが、数日で慣れてきます。
治療期間中も、歯科医師による定期的なチェックを行います。
装置の調整や口腔機能のトレーニングを行い、より効果的な治療を目指します。
お子様の成長に合わせて、装置のサイズを変更することもあります。
通院ペースは患者様によって異なりますが、月に1回程度の通院が一般的です。
歯並びや噛み合わせが改善され口腔機能が正常化したら、装置の使用を終了します。
その後は、後戻りを防ぐために保定装置を使用する場合があります。
料金について
| 施術 | 料金 |
| 検査 | ¥22,000(税込) |
| 装置 | ¥88,000(税込) |
| 検診料(2か月毎) | ¥2,200(税込) |
リスク・注意事項
プレオルソ治療を行うにあたり、リスクや注意点もあります。
以下の点をご理解いただくことでスムーズに治療を進めることができるでしょう。
プレオルソ治療の注意事項
装着時間を守りましょう
装着時間が短いと効果が薄れます。ご家庭でルールを決めましょう。
装置を大切に扱いましょう
柔らかい素材なので、噛んだり引っ張ったりすると破損する可能性があります。
一時的な違和感があります
治療開始当初は、違和感や痛み、発音のしづらさが出ることがあります。徐々に慣れてきますが、不安な場合はいつでもご連絡ください。
お手入れを徹底しましょう
装置のお手入れを怠ると、口腔内トラブルの原因となります。治療期間中に虫歯ができた場合は、矯正治療を一旦お休みして虫歯治療を優先する必要があります。
効果には個人差があります
成長や状態により十分な改善が出ない場合、プレオルソ治療後に第2期治療が必要になることがあります。
よくある質問
プレオルソは主に3〜10歳前後の成長期のお子様が対象で、6〜8歳からの開始が推奨されることが多いです。
この時期は乳歯と永久歯の混合期で、顎の成長を活かした早期矯正に適しています。
プレオルソは取り外し式のマウスピースのため、ワイヤー矯正のような強い痛みはほとんどありません。
装着直後に軽い違和感を感じることはありますが、数日で慣れ、日常生活に支障が出にくいことが特徴です。
使用後は流水で優しく洗い、歯ブラシで汚れを落とした後、専用のケースに収納します。
熱湯や熱いお湯は変形の原因になるので避け、毎日清潔に保つことが重要です。
プレオルソの治療期間は個人差がありますが、半年〜2年程度が一般的で、平均1年半前後です。
正確な装着(日中1〜2時間+就寝時)と定期通院で効果が早く現れ、期間を短縮できます。
紛失時はすぐに歯科医院に連絡し、予備があれば交換、なければ再製作となります。
治療中断を防ぐため、ケースに入れて管理し、予備を準備しておくことをおすすめします。
プレオルソによる小児矯正は、原則として健康保険の適用外(自由診療)です。
虫歯治療を優先し、プレオルソを一時外して対応します。
治療中も定期検診で口腔内をチェックするため、早期発見・治療が可能で矯正を継続しやすくなります。
プレオルソの特徴
JR西国分寺駅
徒歩2分
平日19時まで
土日も15時まで診療
他の患者様を気にせず
相談・治療可能な完全 個室の診療室
なるべく抜かない・削らない治療をご提案
キャッシュレス決済
にも対応可能
お財布に優しい治療提案と医療費控除・デンタルローンも利用可能
お子様の未来のために、私たちと一緒に最適な治療法を見つけましょう。
オーラルビューティークリニッククラリス 歯科・矯正歯科では、成長に合わせたプレオルソ治療で、お子様の健康な歯並びと笑顔をサポートいたします。
お子様の歯並びや噛み合わせが気になる方は、ぜひ一度ご相談ください。
お子様が無理なく楽しく続けられるよう、私たちがしっかりと寄り添います。
資格
- JIADインプラント認証医
- インビザライン矯正 2024、2025年 ブラックダイヤモンドドクター認定(国内約 10名)
- スマイルトゥルー マウスピース型矯正認定
- ハーモニー舌側矯正認定