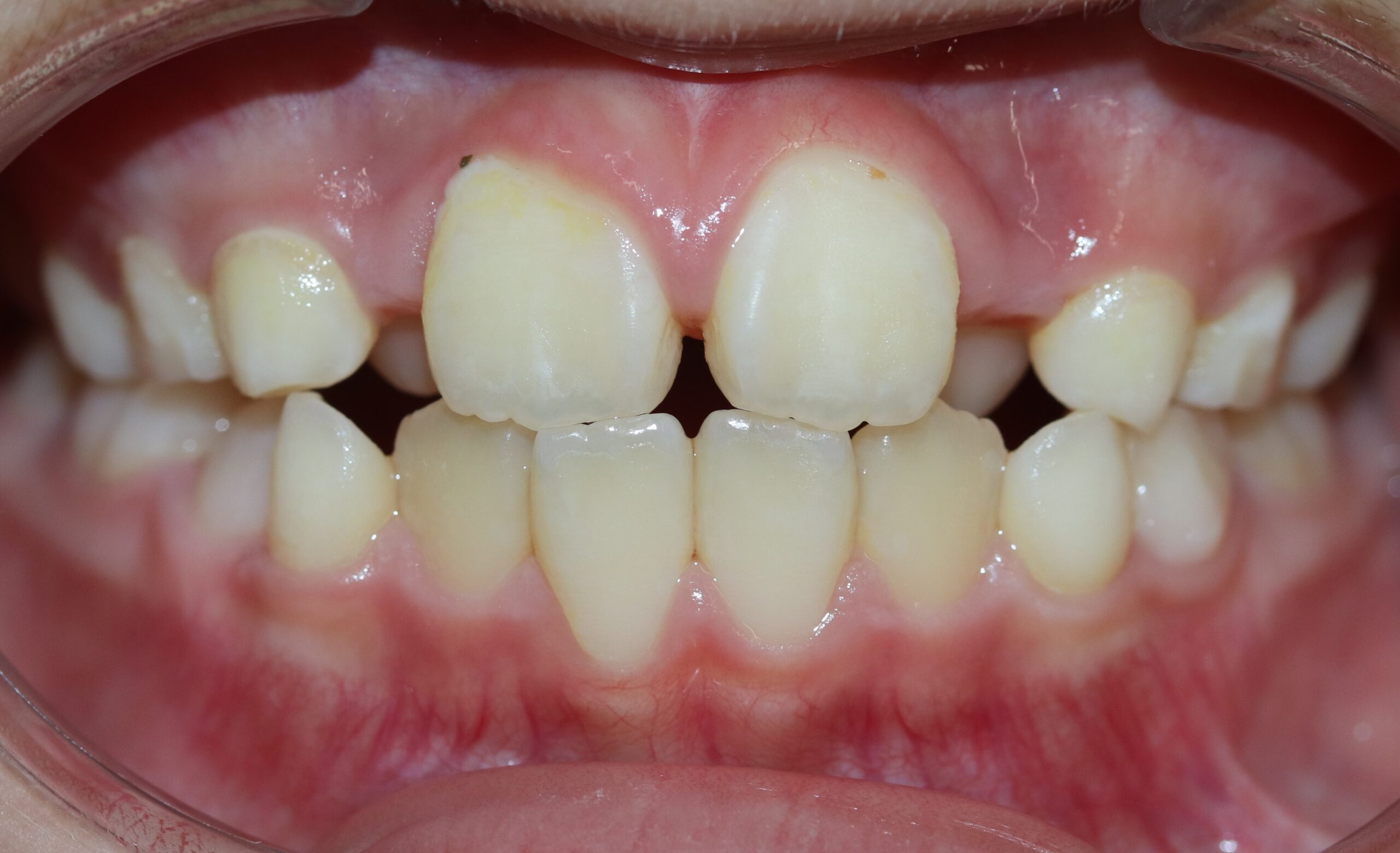
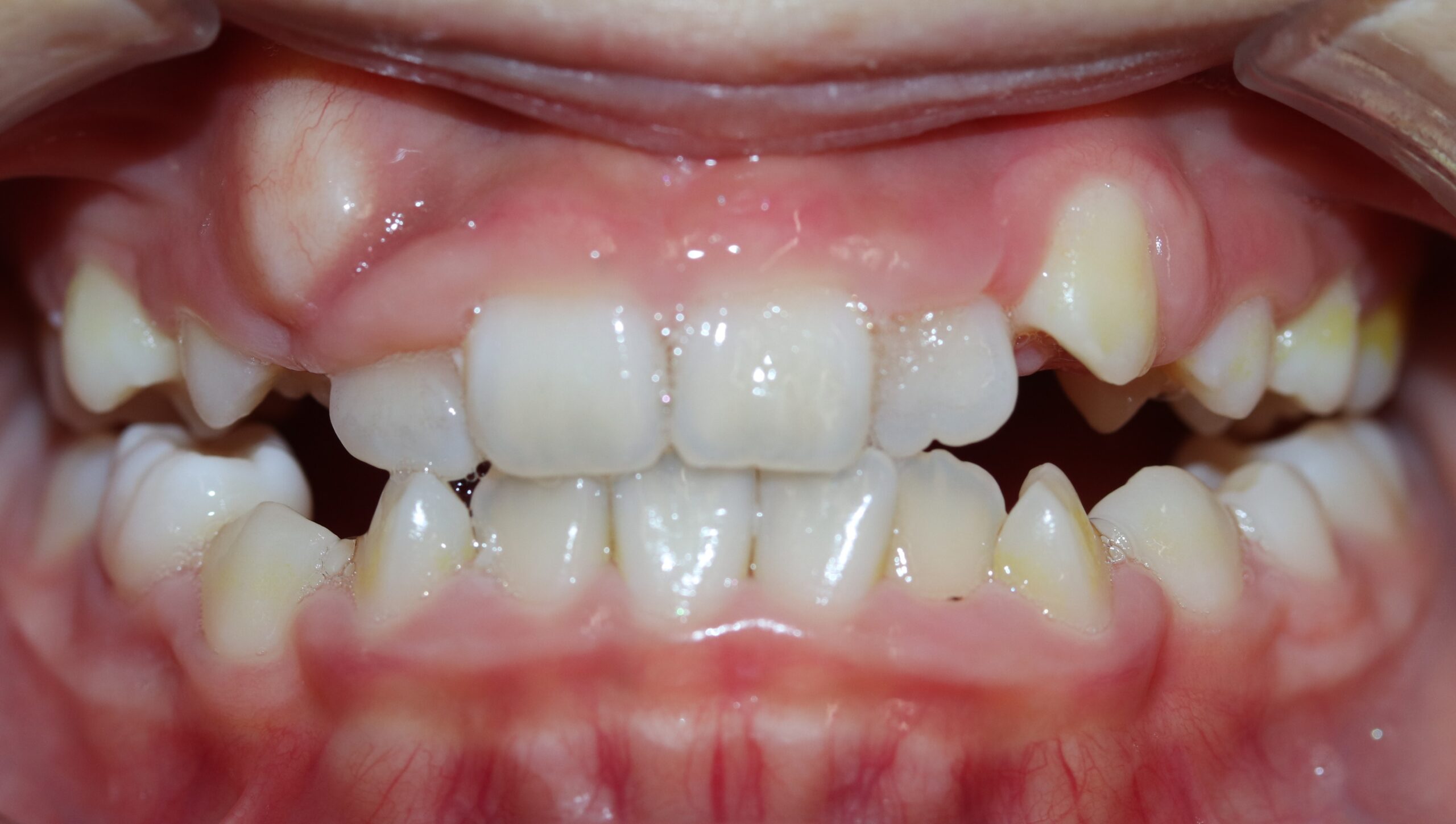
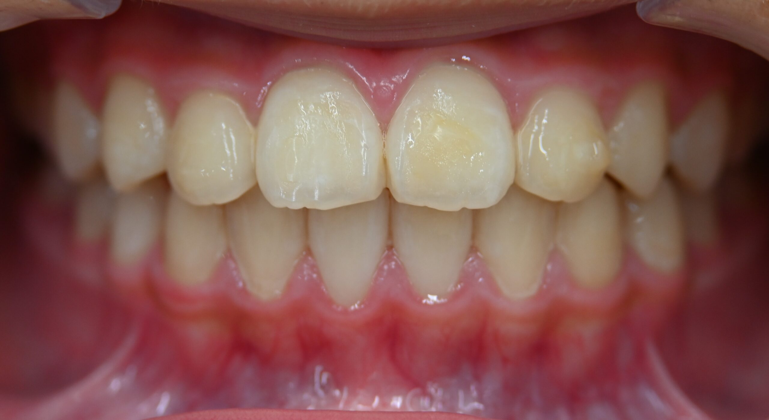
症例紹介
小児矯正 女性 叢生(そうせい), 正中...
症例情報
治療期間
2年
費用
495,000円(税込)
【治療内容】マウスピース矯正は、1日20時間以上マウスピースを装着する事により歯並びの矯正を行う事が出来る治療です。歯を動かしていく段階で1週間毎に新しいアライナーに交換し、少しずつ歯並びを綺麗にしていきます。
【年齢/性別】~10代 / 女性
【副作用・リスク】全ての方で、疼痛、咬合痛、歯根吸収、歯根露出が生じる可能性があり。マウスピースを装着できなかった場合、予定通りに歯が動かない可能性があります。
【年齢/性別】~10代 / 女性
【副作用・リスク】全ての方で、疼痛、咬合痛、歯根吸収、歯根露出が生じる可能性があり。マウスピースを装着できなかった場合、予定通りに歯が動かない可能性があります。
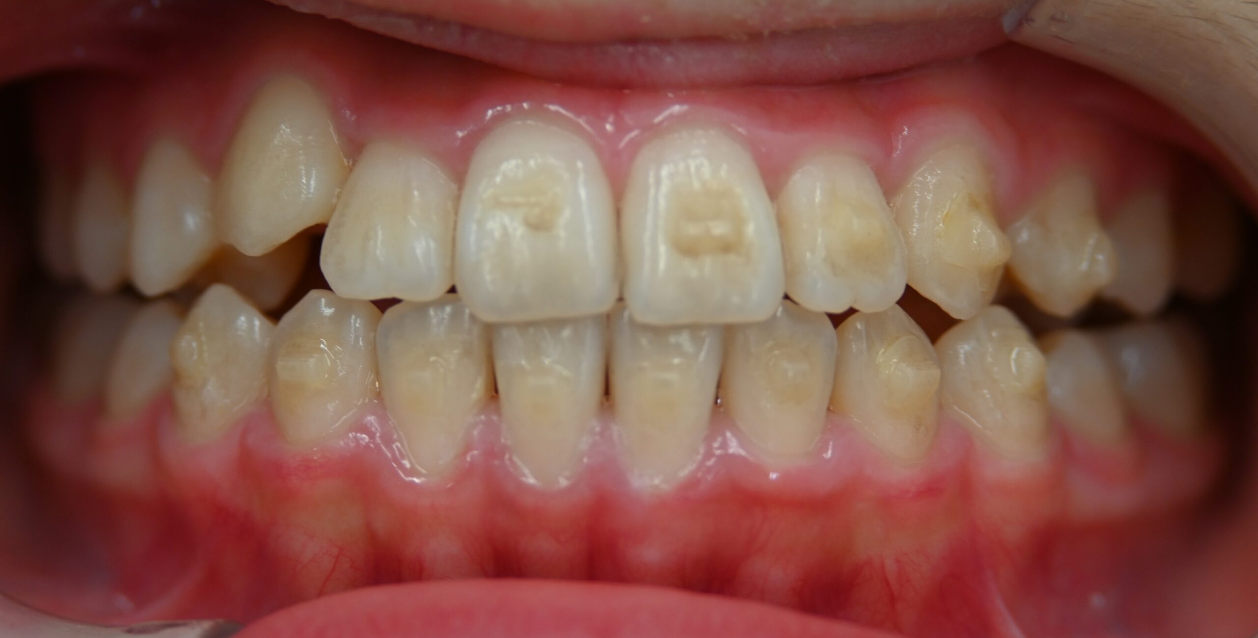
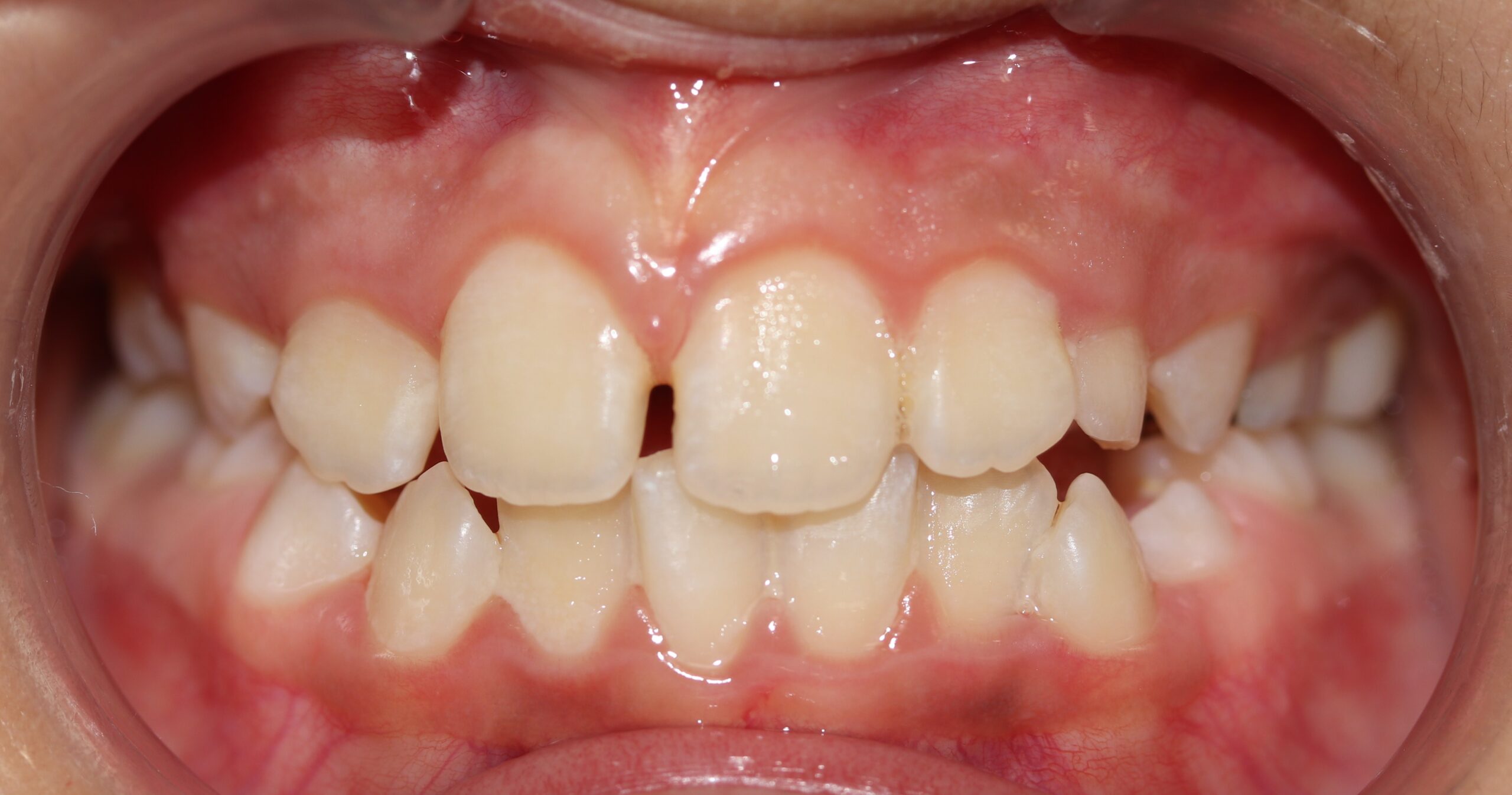
小児矯正 男性 叢生(そうせい), 開咬...
症例情報
治療期間
2年5ヶ月
費用
495,000円(税込)
【治療内容】マウスピース矯正は、1日20時間以上マウスピースを装着する事により歯並びの矯正を行う事が出来る治療です。歯を動かしていく段階で1週間毎に新しいアライナーに交換し、少しずつ歯並びを綺麗にしていきます。
【年齢/性別】~10代 / 男性
【副作用・リスク】全ての方で、疼痛、咬合痛、歯根吸収、歯根露出が生じる可能性があり。マウスピースを装着できなかった場合、予定通りに歯が動かない可能性があります。
【年齢/性別】~10代 / 男性
【副作用・リスク】全ての方で、疼痛、咬合痛、歯根吸収、歯根露出が生じる可能性があり。マウスピースを装着できなかった場合、予定通りに歯が動かない可能性があります。
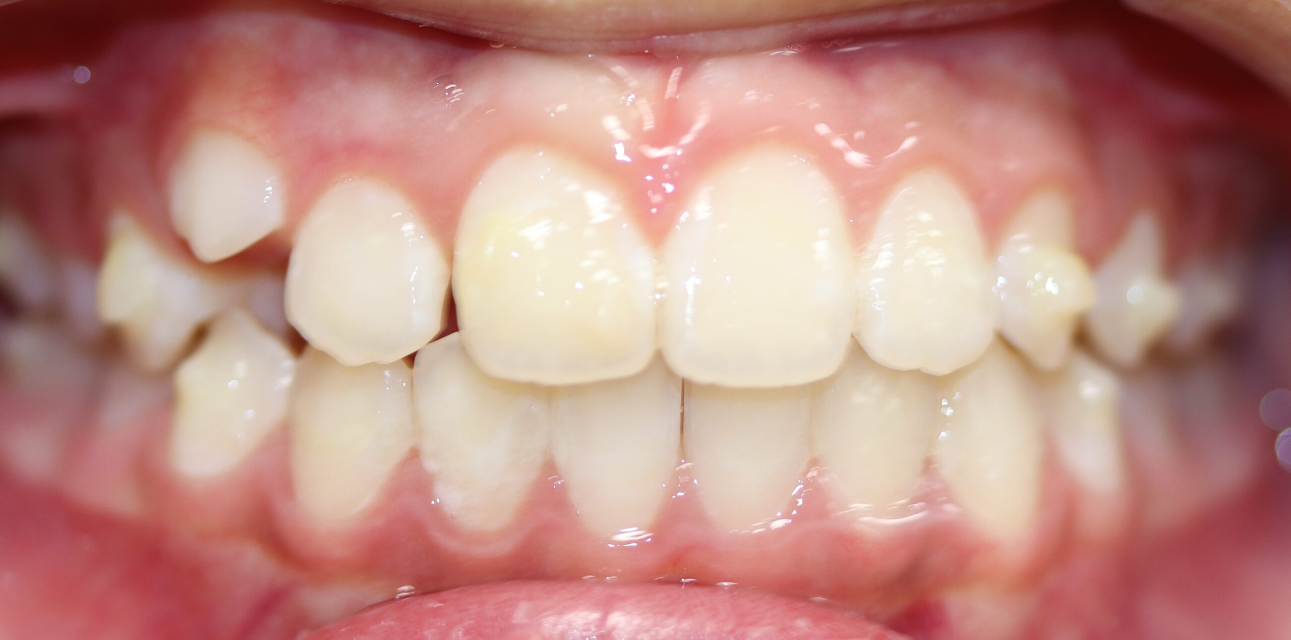
小児矯正 女性 叢生(そうせい), 正中...
症例情報
治療期間
1年6ヶ月
費用
495,000円(税込)
【治療内容】マウスピース矯正は、1日20時間以上マウスピースを装着する事により歯並びの矯正を行う事が出来る治療です。歯を動かしていく段階で1週間毎に新しいアライナーに交換し、少しずつ歯並びを綺麗にしていきます。
【年齢/性別】~10代 / 女性
【副作用・リスク】全ての方で、疼痛、咬合痛、歯根吸収、歯根露出が生じる可能性があり。マウスピースを装着できなかった場合、予定通りに歯が動かない可能性があります。
【年齢/性別】~10代 / 女性
【副作用・リスク】全ての方で、疼痛、咬合痛、歯根吸収、歯根露出が生じる可能性があり。マウスピースを装着できなかった場合、予定通りに歯が動かない可能性があります。