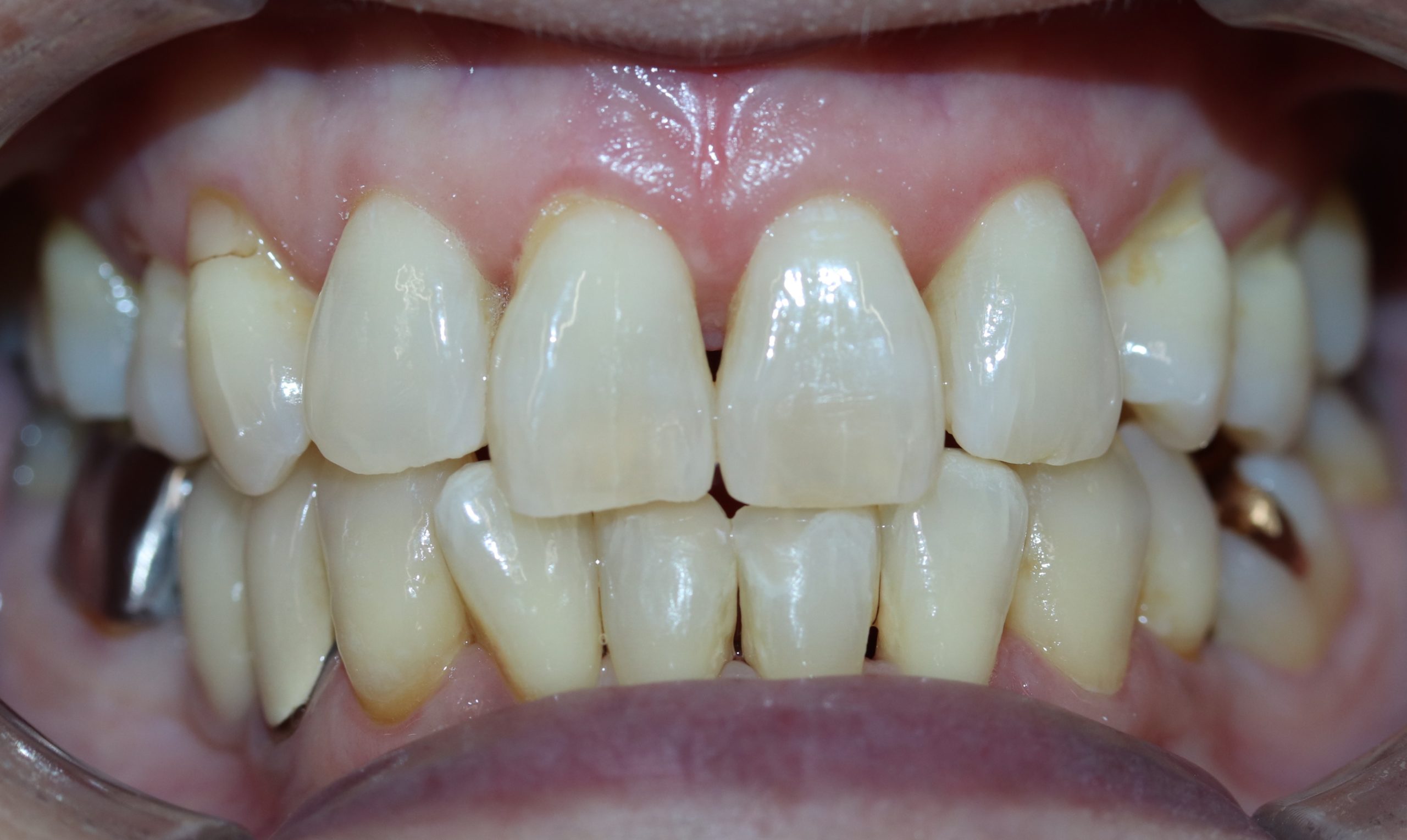
症例紹介
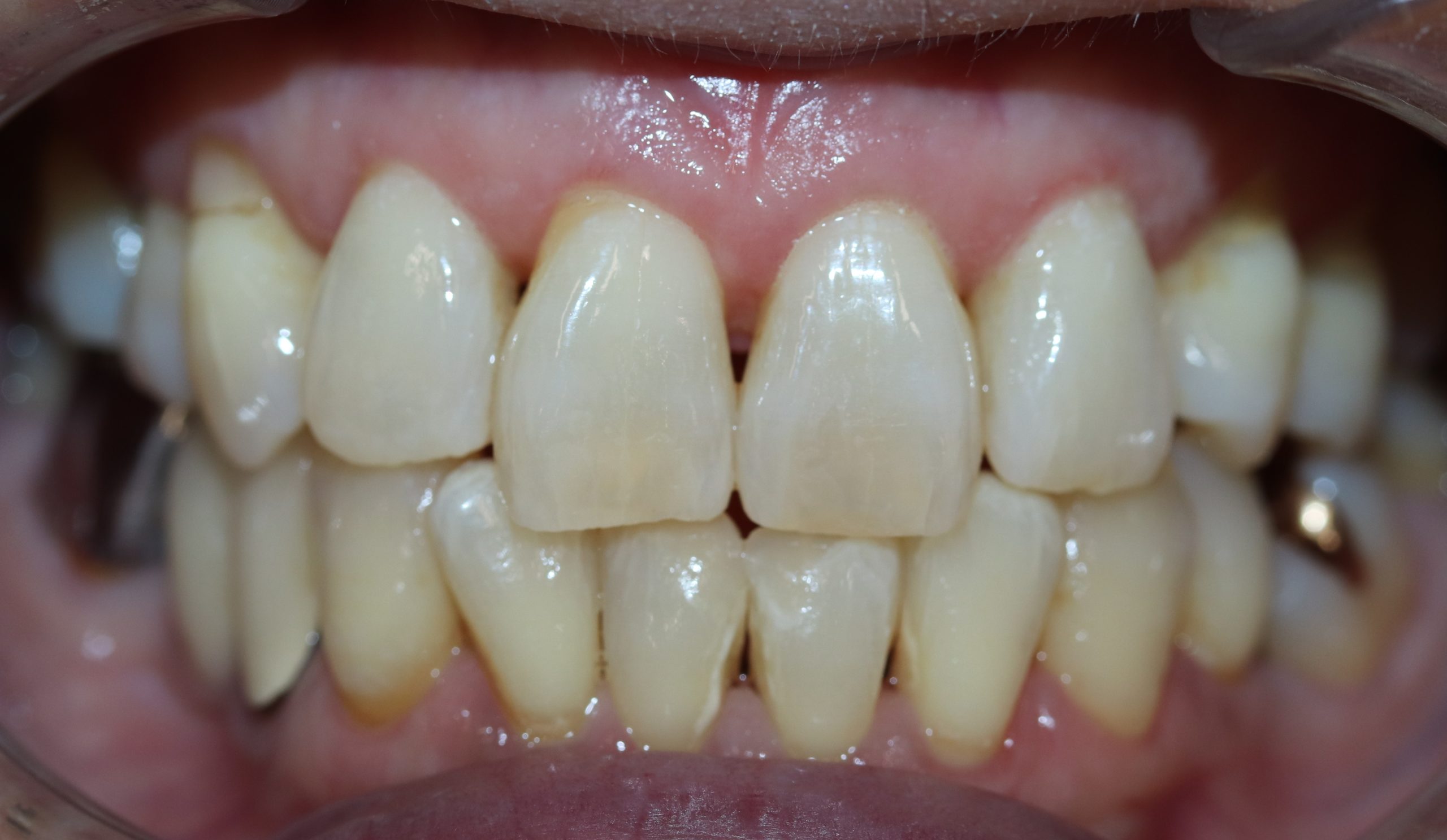
50代 女性 ホワイトニング
症例情報
治療期間
3週間
通院回数
2回
費用
9,900円(税込)
【治療内容】ホワイトニング材とホワイトニング専用照射器を併用して歯を白くします。
【年齢/性別】50代 / 女性
【副作用・リスク】個人差がありますが、施術中や施術後に歯がしみる場合があります。
【年齢/性別】50代 / 女性
【副作用・リスク】個人差がありますが、施術中や施術後に歯がしみる場合があります。
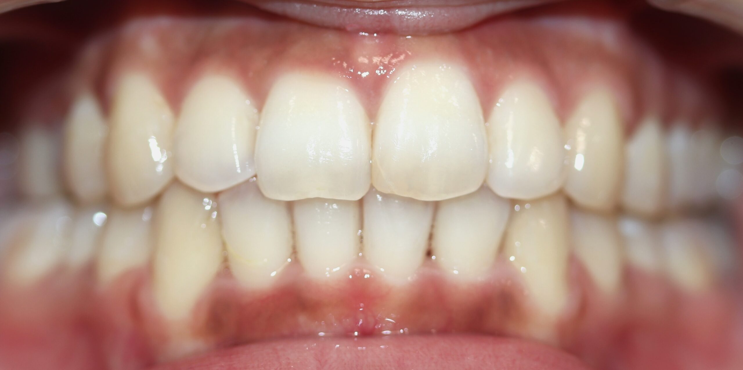
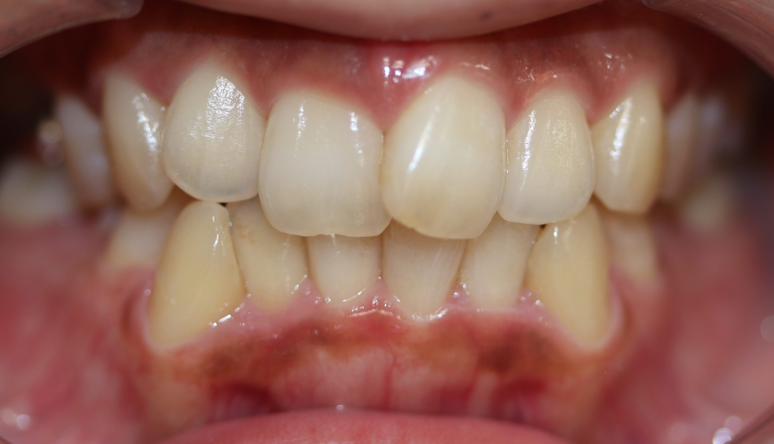
20代 女性 ホワイトニング
症例情報
治療期間
2週間
通院回数
2回
費用
9,900円(税込)
【治療内容】ホワイトニング材とホワイトニング専用照射器を併用して歯を白くします。
【年齢/性別】20代 / 女性
【副作用・リスク】個人差がありますが、施術中や施術後に歯がしみる場合があります。
【年齢/性別】20代 / 女性
【副作用・リスク】個人差がありますが、施術中や施術後に歯がしみる場合があります。
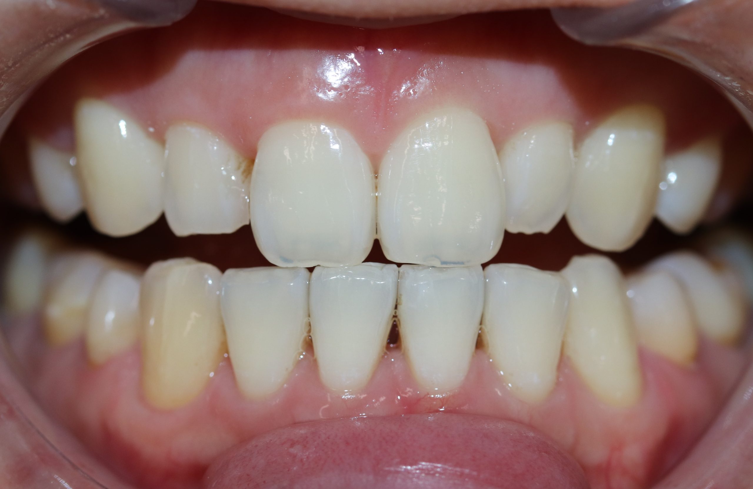
40代 女性 ホワイトニング
症例情報
治療期間
2ヶ月
通院回数
2回
費用
9,900円(税込)
【治療内容】ホワイトニング材とホワイトニング専用照射器を併用して歯を白くします。
【年齢/性別】40代 / 女性
【副作用・リスク】個人差がありますが、施術中や施術後に歯がしみる場合があります。
【年齢/性別】40代 / 女性
【副作用・リスク】個人差がありますが、施術中や施術後に歯がしみる場合があります。
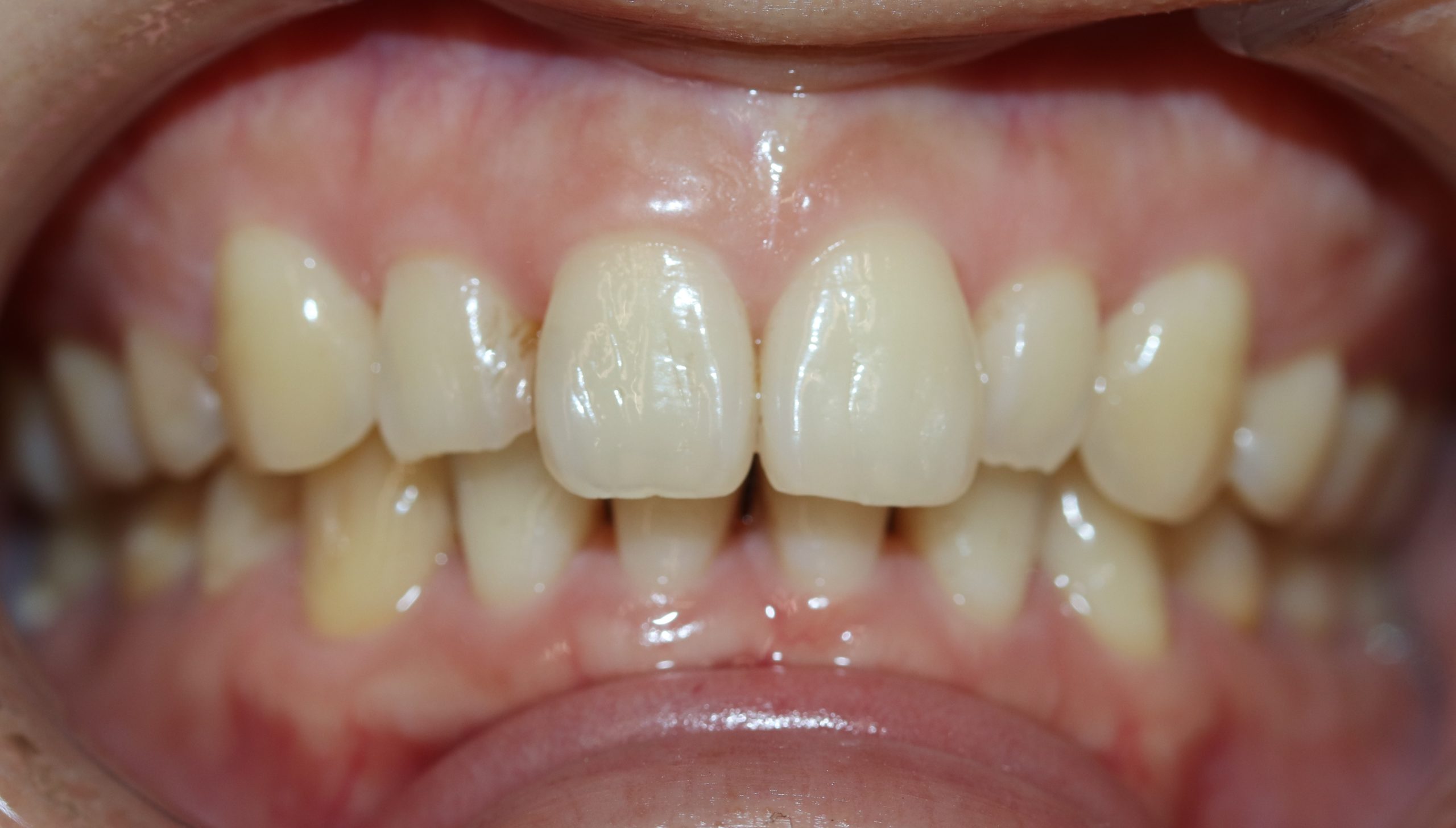
20代 女性 叢生(そうせい)
症例情報
治療期間
1年1ヶ月
費用
616,000円 +ホワイトニング(スタンダードプラン)2回 ¥22,000(税込)
【治療内容】マウスピース矯正は、1日20時間以上マウスピースを装着する事により歯並びの矯正を行う事が出来る治療です。歯を動かしていく段階で1週間毎に新しいアライナーに交換し、少しずつ歯並びを綺麗にしていきます。ホワイトニング材とホワイトニング専用照射器を併用して歯を白くします。
【年齢/性別】20代 / 女性
【副作用・リスク】全ての方で、疼痛、咬合痛、歯根吸収、歯根露出が生じる可能性があり。マウスピースを装着できなかった場合、予定通りに歯が動かない可能性があります。個人差がありますが、施術中や施術後に歯がしみる場合があります
【年齢/性別】20代 / 女性
【副作用・リスク】全ての方で、疼痛、咬合痛、歯根吸収、歯根露出が生じる可能性があり。マウスピースを装着できなかった場合、予定通りに歯が動かない可能性があります。個人差がありますが、施術中や施術後に歯がしみる場合があります