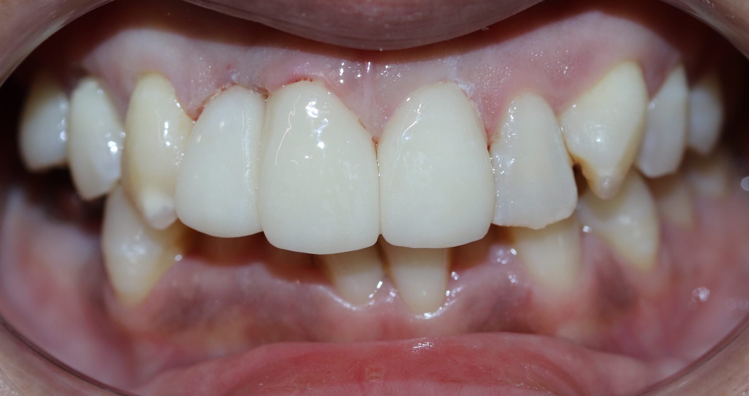
症例紹介
20代 女性 セラミック治療
症例情報
治療期間
3週間
通院回数
2回
費用
88000円 × 3本(税込)
【治療内容】セラミック治療は形の悪い差し歯や被せ物を治したり、部分的な歯並びの矯正を行うことができる治療です。短期間で歯並びの改善まで実現することが可能です。
【年齢/性別】20代 / 女性
【副作用・リスク】全ての方で、疼痛、咬合痛、冷水痛、抜歯を伴う場合は腫脹や出血などを生じる場合があります。麻酔を行う場合、腫れやむくみを感じる事があります。セラミック・仮歯が欠けたり、外れる事があります。神経の治療や抜歯が必要な場合があります。また、歯並びが変わる事により違和感を生じる可能性があります。
【年齢/性別】20代 / 女性
【副作用・リスク】全ての方で、疼痛、咬合痛、冷水痛、抜歯を伴う場合は腫脹や出血などを生じる場合があります。麻酔を行う場合、腫れやむくみを感じる事があります。セラミック・仮歯が欠けたり、外れる事があります。神経の治療や抜歯が必要な場合があります。また、歯並びが変わる事により違和感を生じる可能性があります。
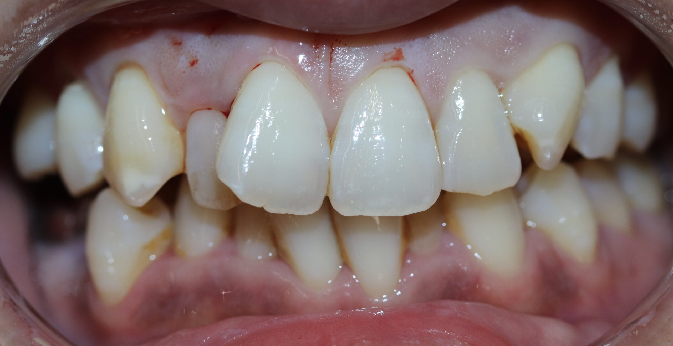
50代 男性 セラミック治療
症例情報
治療期間
3ヶ月
費用
88000円 × 15本(税込)
【治療内容】セラミック治療は形の悪い差し歯や被せ物を治したり、部分的な歯並びの矯正を行うことができる治療です。短期間で歯並びの改善まで実現することが可能です。
【年齢/性別】50代 / 男性
【副作用・リスク】全ての方で、疼痛、咬合痛、冷水痛、抜歯を伴う場合は腫脹や出血などを生じる場合があります。麻酔を行う場合、腫れやむくみを感じる事があります。セラミック・仮歯が欠けたり、外れる事があります。神経の治療や抜歯が必要な場合があります。また、歯並びが変わる事により違和感を生じる可能性があります。
【年齢/性別】50代 / 男性
【副作用・リスク】全ての方で、疼痛、咬合痛、冷水痛、抜歯を伴う場合は腫脹や出血などを生じる場合があります。麻酔を行う場合、腫れやむくみを感じる事があります。セラミック・仮歯が欠けたり、外れる事があります。神経の治療や抜歯が必要な場合があります。また、歯並びが変わる事により違和感を生じる可能性があります。
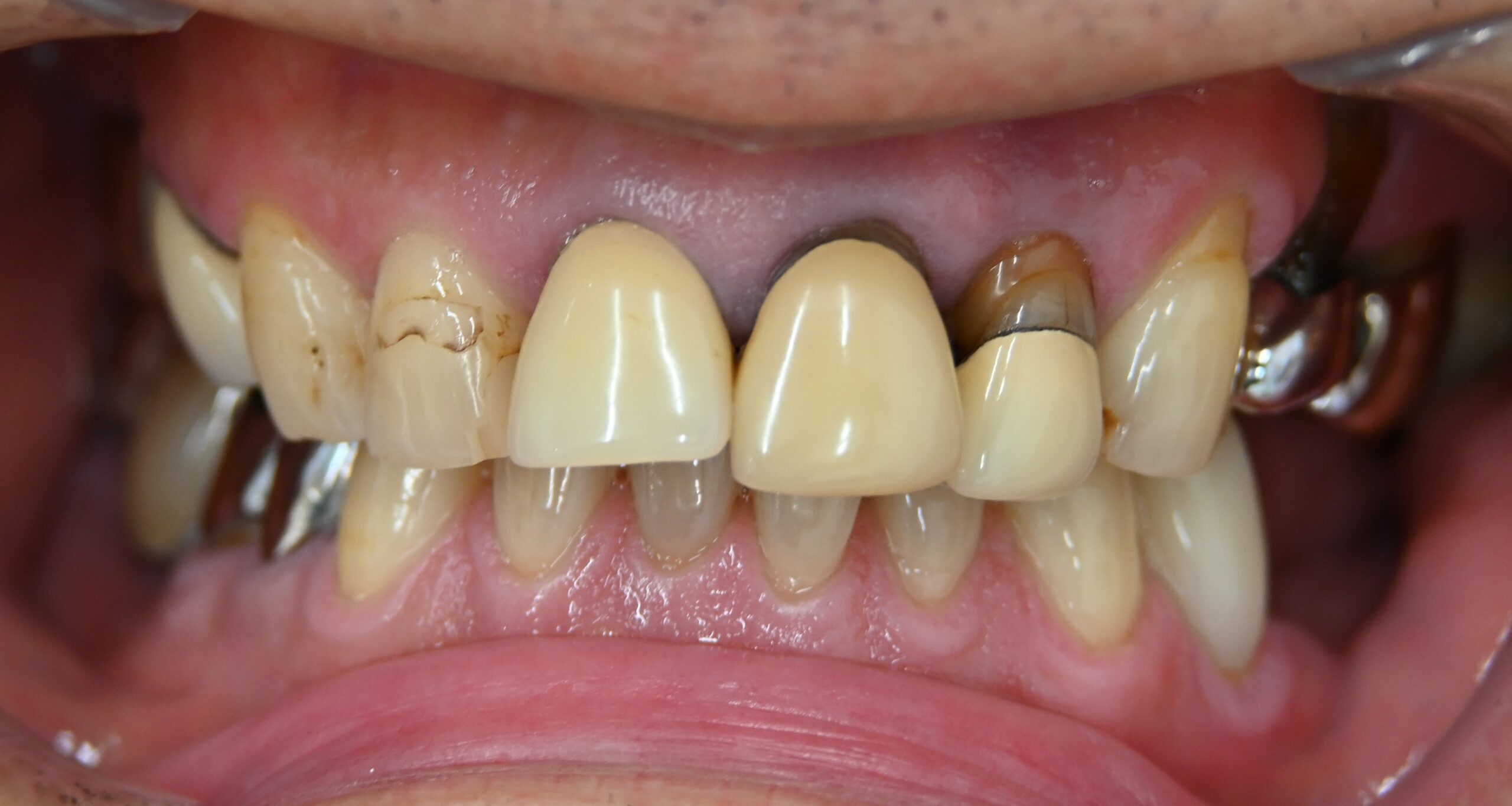
20代 男性 セラミック治療
症例情報
治療期間
3週間
通院回数
2回
費用
64,000円 × 2本(税込)
【治療内容】セラミック治療は形の悪い差し歯や被せ物を治したり、部分的な歯並びの矯正を行うことができる治療です。短期間で歯並びの改善まで実現することが可能です。
【年齢/性別】20代 / 男性
【副作用・リスク】全ての方で、疼痛、咬合痛、冷水痛、抜歯を伴う場合は腫脹や出血などを生じる場合があります。麻酔を行う場合、腫れやむくみを感じる事があります。セラミック・仮歯が欠けたり、外れる事があります。神経の治療や抜歯が必要な場合があります。また、歯並びが変わる事により違和感を生じる可能性があります。
【年齢/性別】20代 / 男性
【副作用・リスク】全ての方で、疼痛、咬合痛、冷水痛、抜歯を伴う場合は腫脹や出血などを生じる場合があります。麻酔を行う場合、腫れやむくみを感じる事があります。セラミック・仮歯が欠けたり、外れる事があります。神経の治療や抜歯が必要な場合があります。また、歯並びが変わる事により違和感を生じる可能性があります。