患者様のお悩み・ご要望について、丁寧にお話を伺います。
矯正治療の種類・選択肢・メリット・デメリットを踏まえて、一人ひとりに最適な治療方法のご提案をいたします。
インビザライン・ファースト
院長 引野 貴之
Hikino Takayuki
経歴
| 2016年 | 神奈川歯科大学卒業 |
| 2016年 | 日本歯科大学附属病院 研修医 |
| 2017年〜 | 都内の歯科医院 副院長 |
| 2022年 | オーラルビューティークリニッククラリス歯科・矯正歯科 開院 |
| 2025年 | 医療法人社団クラリス 開設 理事長 兼 院長 |
資格
- JIADインプラント認証医
- インビザライン矯正 2024、2025年 ブラックダイヤモンドドクター認定(国内約 10名)
- スマイルトゥルー マウスピース型矯正認定
- ハーモニー舌側矯正認定
所属学会
- 日本矯正歯科学会 会員
- 日本口腔インプラント学会会員(日本口腔インプラント学会認定100時間講習会修了)
- 公益社団法人 日本歯科先端技術研究所(JIAD)会員/JIAD
歯並びの矯正治療というとワイヤー矯正を思い浮かべる方も多いかもしれませんが、近年では透明で目立ちにくいマウスピース型矯正が広く用いられるようになっています。
装置が目立ちにくいため、学校生活や日常生活でも見た目を気にせず治療を続けやすい点が特長です。
中でもインビザライン・ファースト(Invisalign First)は、成長期(混合歯列期)のお子さまを対象とした矯正治療で、歯並びの改善に加え、顎の成長を活かした上顎の拡大など発育面のサポートができる点が特長です。
ワイヤー矯正と異なり、インビザライン・ファーストはマウスピースを約2週間ごとに交換しながら、少しずつ歯を動かしていく治療法です。
装置が目立ちにくく歯にかかる力も比較的穏やかなため、強い痛みや違和感が少なく、治療を継続しやすい点もメリットの一つです。
※ 2024年4月1日から2025年3月31日までのインビザライン矯正治療症例数
※ 開院から2025年10月時点の小児矯正症例実績
当院のインビザライン・ファーストの特徴
- 年間630件を超える圧倒的症例実績
他院では断られてしまった難症例にも対応 - ブラックダイヤモンドプロバイダー✖️トッププロバイダー
世界でも数少ない二冠ドクターが一貫対応 - カウンセリングから治療完了まで同じ先生が対応
- 国分寺エリアで初のインビザライン口蓋拡大システムを導入
- JR西国分寺駅 徒歩2分平日19時まで、土日も15時まで診療で通いやすい
インビザライン・ファーストとは

インビザライン・ファーストは、成長過程にあるお子様(6〜12歳前後)を対象とした、透明に近く目立ちにくいマウスピース型の矯正装置です。
小さな歯にもフィットし、これから生えてくる永久歯のスペースを確保できるよう設計されています。
また、歯の移動だけではなく、あごの骨の拡大を同時に行えることも特徴です。
インビザライン・ファーストのメリット
透明で目立ちにくい
インビザライン・ファーストのマウスピースは、ほぼ透明な素材でできており、装着していても目立ちにくいのが特徴です。そのため、周りの方々が装置に気づかれず、コンプレックスを抱えずに通常の生活を送ることができます。
食事・歯磨きの際に取り外しができる
マウスピースは自分で取り外しができるため、食事・歯磨きの際に清潔を保ちやすいことが特徴です。そのため、虫歯・歯周病のリスクを減らすことができます。
金属アレルギーの心配がない
インビザライン・ファーストで使用する素材には金属が使われておりません。そのため、金属アレルギーの方も安心して治療を受けることができます。
通院回数が少ない
従来の矯正治療は、1ヶ月に1度の通院が必要でした。また、器具が外れる・口腔内のトラブルなどの緊急時にも来院が必要です。インビザライン・ファーストは、1枚のマウスピースをご自身で交換するため、通常2~3ヶ月に1度の来院で経過をみていきます。
矯正の対象となる歯並び
01
出っ歯
上の前歯・上顎自体が前に突出している状態。
横から見たときに前の歯が出ており、噛み合わせと見た目に影響を与えることがあります。
02
受け口
下の前歯が上の前歯より前に出ている噛み合わせの状態です。
横から見たときに下のあごが突出して見えます。
通常、上の前歯が下の前歯に重なる状態で噛み合いますが、その逆になり反対咬合(はんたいこうごう)という状態になります。
03
すきっ歯
歯と歯の間に隙間が目立ち、食べ物が挟まりやすくなる状態です。
食後の歯のケアを怠ると虫歯・歯周病の原因になることもあります。
04
叢生(そうせい)
歯が重なり合って不規則に生えている状態です。
でこぼこしているため、「乱ぐい歯」とも呼ばれます。
あごの大きさに対して歯が大きい・あごが狭いことが原因で起こります。
八重歯も叢生の一種で、見た目の問題だけでなく、歯磨きで磨き残しが起こるため、虫歯・歯周病のリスクが高まります。
05
開咬
歯を噛み合わせたときに、前歯がしっかりと噛み合わず隙間ができる状態です。
食べ物を噛む機能の低下・奥歯とあごへの負担が大きくなり、発音も不明瞭になる原因です。
06
過蓋咬合
噛み合わせが深すぎて、上の前歯が下の歯のほとんどを覆い隠す状態です。
この状態が続くと歯・あごに過度に負担がかかり、顎関節症・歯の摩耗(まもう)・歯茎のトラブルを起こすリスクがあります。
ワイヤー矯正との違い
| インビザライン・ファースト | ワイヤー矯正 | |
|---|---|---|
| 対象年齢 | ◎ 混合歯列期(6歳〜12歳前後) | ◎ 10歳〜成人 |
| 痛みや違和感 | ○ 比較的少ない | × 開始時、調整時に出ることが多い |
| 着脱 | ◎ 自分で着脱可能 | × 装着すると外せない |
| 治療期間 | ○ 1年〜3年 | △ 2年〜3年 |
| 費用 | ¥495,000(税込) | ¥600,000〜1,600,000(税込) |
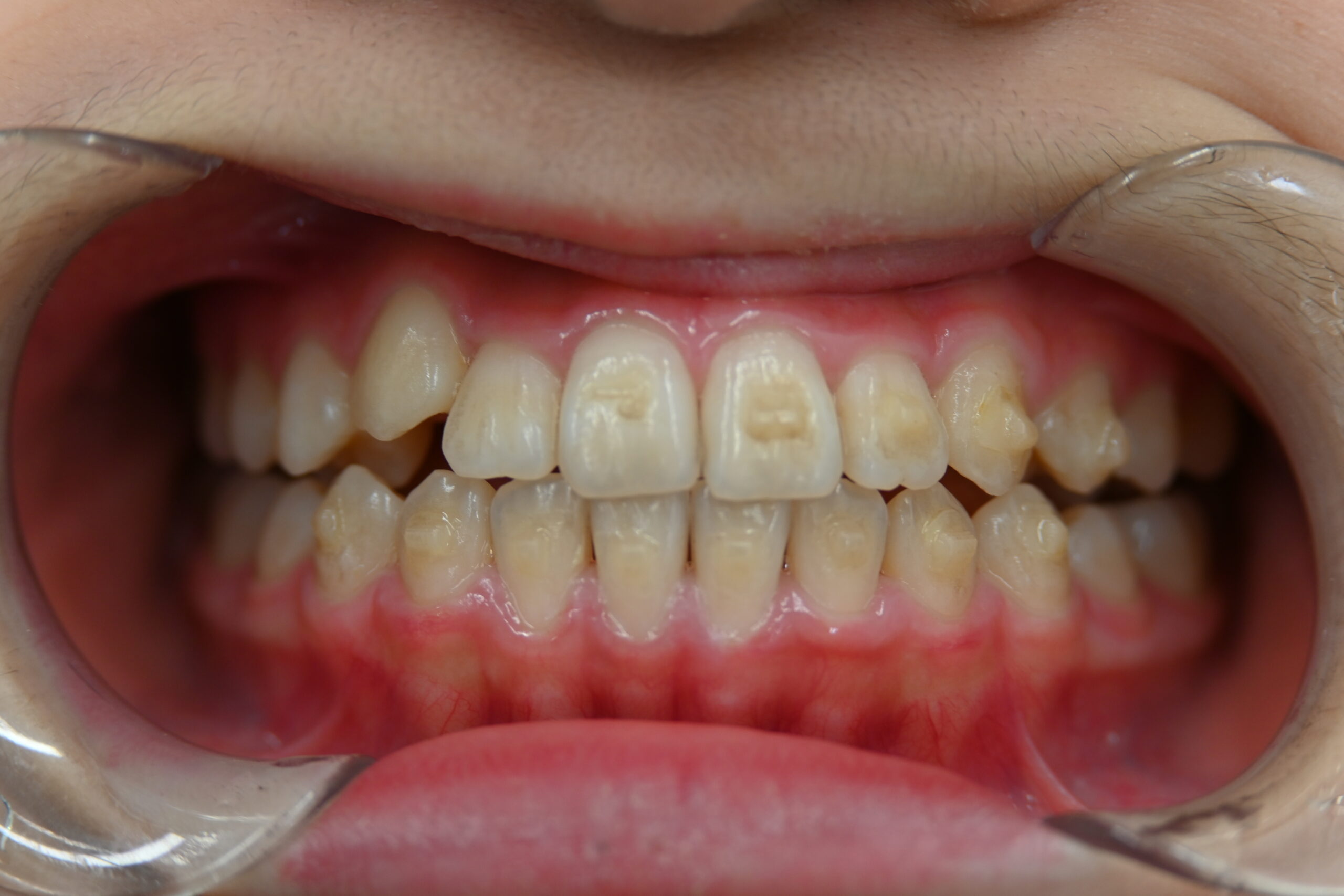
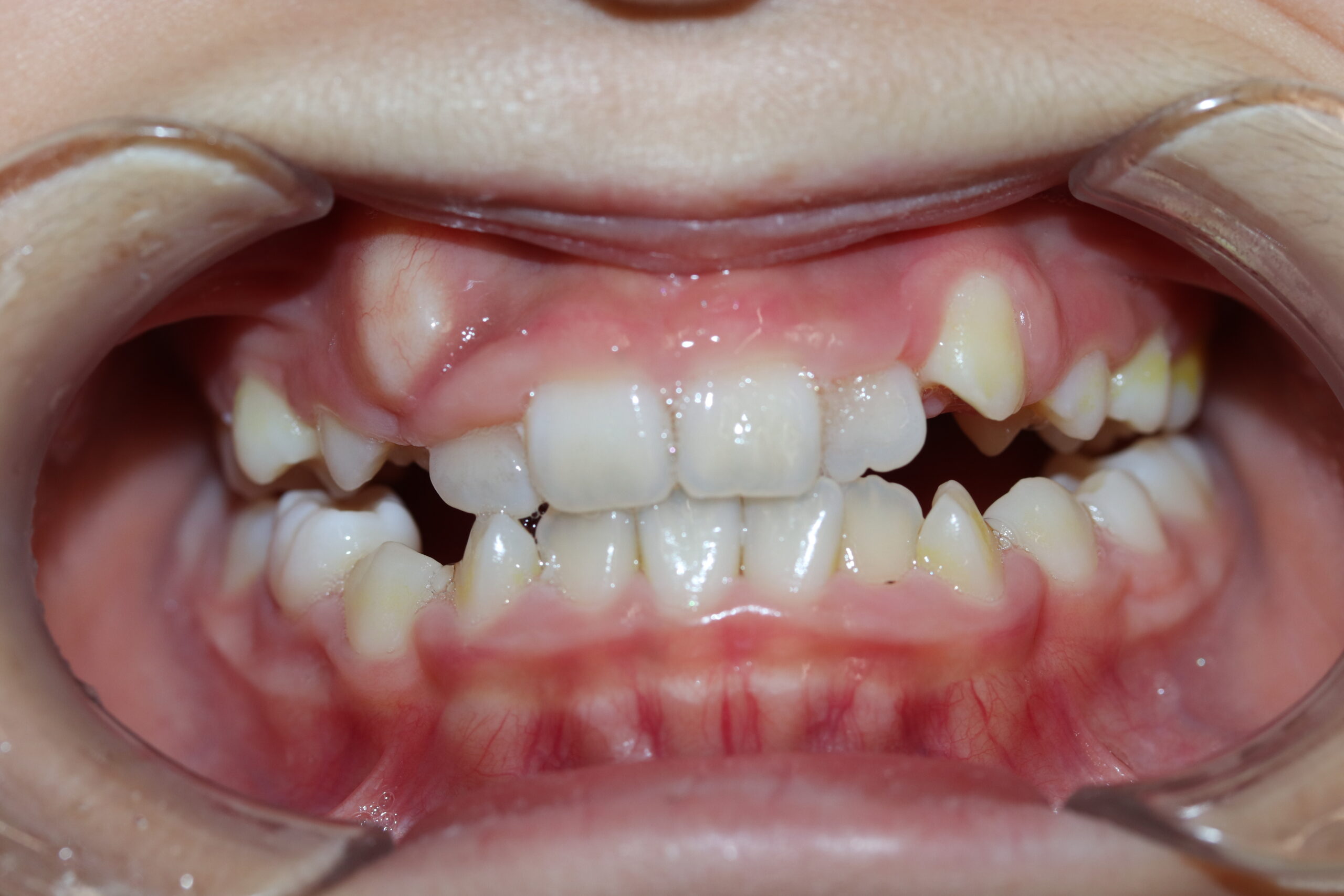
症例
before
after
施術概要
マウスピース矯正は、1日20時間以上マウスピースを装着する事により歯並びの矯正を行う事が出来る治療です。歯を動かしていく段階で1週間毎に新しいアライナーに交換し、少しずつ歯並びを綺麗にしていきます。
金額
495,000円(税込)
期間・回数
1年6ヶ月
リスク・副作用
全ての方で、疼痛、咬合痛、歯根吸収、歯根露出が生じる可能性があり。マウスピースを装着できなかった場合、予定通りに歯が動かない可能性があります。
before
after
施術概要
マウスピース矯正は、1日20時間以上マウスピースを装着する事により歯並びの矯正を行う事が出来る治療です。歯を動かしていく段階で1週間毎に新しいアライナーに交換し、少しずつ歯並びを綺麗にしていきます。
金額
495,000円(税込)
期間・回数
2年5ヶ月
リスク・副作用
全ての方で、疼痛、咬合痛、歯根吸収、歯根露出が生じる可能性があり。マウスピースを装着できなかった場合、予定通りに歯が動かない可能性があります。
before
after
施術概要
マウスピース矯正は、1日20時間以上マウスピースを装着する事により歯並びの矯正を行う事が出来る治療です。歯を動かしていく段階で1週間毎に新しいアライナーに交換し、少しずつ歯並びを綺麗にしていきます。
金額
495,000円(税込)
期間・回数
2年
リスク・副作用
全ての方で、疼痛、咬合痛、歯根吸収、歯根露出が生じる可能性があり。マウスピースを装着できなかった場合、予定通りに歯が動かない可能性があります。
当院の特徴
ブラックダイヤモンドプロバイダー
インビザライン治療において、世界のわずか約1%のみが認定されている「ブラックダイヤモンドプロバイダー」。
さらに、症例数だけでなく治療品質や患者様への継続的な貢献が評価される「トッププロバイダー」の称号も併せ持つ、国内でも極めて稀な二冠ドクターです。
院長の引野は、これまでに年間630件以上のインビザライン矯正治療を手がけ、圧倒的な症例数に加え、一人ひとりの患者様に誠実に向き合う姿勢が高く評価されています。
他院で「難しい」とされた症例にも多数対応しており、初回のカウンセリングから院長自身が診察・設計・治療・経過観察まで担当しています。
豊富な経験と確かな設計力により、患者様のライフスタイルやご要望に合わせた矯正プランを提案させて頂きます。
安心してお任せいただける、結果にこだわった矯正治療をご提供しています。
インビザライン口蓋拡大システムを導入
従来の金属を使用した拡大システムとは異なり、3Dプリンティング技術を用いた、インビザライン・ファーストと併用できる上顎の拡大を促す装置です。
取り外しも可能で、金属が使用されていないため、衛生的に使用でき、金属アレルギーの方も安心して使用できます。
インビザライン口蓋拡大システムとは?
インビザライン口蓋拡大システムとは、デジタル技術によりお子様一人ひとりに合わせて作られた矯正装置を利用し、上顎を広げる新しい治療法です。
このシステムを利用することで、歯並び・噛み合わせの問題改善の効果が期待できます。
上顎を広げることで、新しく生えてくる永久歯のスペースを確保できる・将来抜歯せずに矯正できる・口呼吸の問題を解決するなどの効果があります。
iTero×CTによる精密検査
当院では、iTero(口腔内スキャナー)と歯科用CTを組み合わせた精密診断を行っています。
歯や歯根の状態だけでなく、iTero単体では確認できない下顎の骨格まで立体的に可視化することで、骨の傾きや噛み合わせのズレを正確に把握します。
この装置によって無理のない治療設計が可能となり、治療途中での再設計(やり直し)を防ぐことができます。さらに、スキャンは短時間で完了し、嘔吐反射が起きやすい(オエッとなりやすい)方にもやさしい構造のため、従来の型取りが苦手な方も安心です。
治療の“見える化”と明朗会計で安心して治療を始められる
当院では、治療前に3Dシミュレーションで歯の動きや仕上がりを事前に確認いただけます。
「どのように歯が動くのか」「どんな歯並びになるのか」を視覚的に理解できます。
治療のイメージが明確になることで、納得して治療をスタートすることが可能です。
また、費用面でも明朗会計を徹底。
調整料やマウスピース追加費用などの追加料金は一切かかりません。
治療計画の段階で、総額費用をすべて提示するため、途中で思わぬ出費が発生する心配もありません。
「治療の流れも費用も、すべてが明確」だからこそ、患者様にとって安心して選べる矯正治療を実現しています。
治療を始めるタイミング
「矯正治療って、いつからはじめたら良いのかわからない…。」と悩まれている親御様も少なくありません。
当院では、乳歯と永久歯が混在している時期(混合歯列期)から矯正治療を始めることをおすすめしております。
お子様の成長は個人差があるため、まずはお子様とご一緒にお気軽にご相談ください。
生活スタイル・食事状況・スポーツ等の習い事などをお聞きした上で、お子様・親御様双方にとって最善の治療をご提案をさせて頂きます。
お子様・親御様双方が納得することで、矯正治療を無理なく継続していくことが可能になります。
少しでも内容に不安・疑問がございましたら遠慮なくお話しください。
安心して治療を始めていけるよう丁寧にサポートいたします。
治療の流れ
口腔内・お顔の写真、レントゲン写真、CT、口腔内スキャンなどの検査を行います。
この検査で、歯・あごの形状や噛み合わせ機能を確認いたします。
検査結果をもとに、コンピューター上で治療のゴールまでを3Dシミュレーションで作成します。
3Dシミュレーションをもとに、治療計画のご説明をします。
歯並びの変化・マウスピース矯正の流れ・治療後の歯並びの状態を確認していただきます。
患者様にマウスピースをお渡しして、治療計画に沿ってマウスピースの着用・交換を進めていきます。
定期的な通院で歯並びの状態を確認します。
基本的には患者様にマウスピースの交換を進めていただくため、自己管理による比較的少ない通院回数で対応可能です。
歯の矯正治療が完了して歯並びが整った後は、歯を安定させるための保定期間に入ります。
この期間中は、矯正後の仕上がりを長く維持するために、保定装置をしっかりと着用することが重要です。
リスク・注意事項
インビザライン・ファーストは目立ちにくく取り外し可能な矯正装置ですが、リスクや注意する点もあります。
継続して装置を使用しないと治らない
インビザライン・ファーストは取り外しが可能な装置である一方、1日20時間以上装置を着用しないと効果が得られません。特にお子様はモチベーションを維持することが重要です。管理が難しい場合は親御様のご協力が不可欠です。
症例によっては適応できない場合がある
歯並び・噛む力によっては行えない症例もあります。また、歯周病の場合は事前に歯周病治療を優先して行います。重度の不正咬合の場合も矯正が困難です。
歯磨きなど口腔内のケアが重要
ご自身で着脱は可能ですが、装着時は口腔内を清潔に保つことが重要です。こまめな歯磨き・装置の衛生管理を怠ると、虫歯・歯周病の原因になるため注意しましょう。
料金
| 治療 | 料金 |
| 相談料 | 無料 |
| 第1期矯正 | ¥495,000(税込) |
| 第2期矯正 | ¥440,000(税込) |
よくある質問
インビザライン・ファーストは、基本的に1日あたり20時間以上の装着が推奨されています。
つまり、食事や歯磨きの時間を除いて、ほとんどの時間を装着していただくことが理想的です。
これにより、矯正効果が最大限に発揮されます。
個人差はありますが、一般的にはマウスピースを新しく装着したときや、交換したときに軽い違和感や圧迫感を感じることがあります。
ただし、ほとんどの場合は痛みというよりも、少しの不快感や締め付けられる感じです。
これらは数日以内に慣れていきます。
痛み・締めつけ感などの不快な症状が続く場合は、いつでもご相談ください。
最初は慣れるまで少し話しづらさを感じることがありますが、数日から1週間程度で自然に話せるようになります。
慣れると気にならなくなる方がほとんどです。
もし気になる場合は、遠慮なくお知らせください。適切なアドバイス・調整を行います。
給食の時間には、衛生面や誤って破損しないように、マウスピースを一時的に外すことをおすすめします。
外した場合は、清潔なケースに入れて保管してください。
食事後は、歯磨きやうがいをしてから再度装着してください。
はい、可能です。
運動中はマウスピースをしっかり装着して、安全に配慮してください。
もしスポーツによってマウスピースの破損や紛失のリスクが高い場合は、事前にご相談ください。
すぐに当院までご連絡ください。
壊れた部分の状態を確認し、必要に応じて修理や新しいマウスピースの作製を行います。
無理に使用し続けると歯や口腔内に負担がかかることもありますので、早めの受診が重要です。
すぐに当院までご連絡ください。
新しいマウスピースの作製や一時的な対策についてご案内いたします。
インビザライン・ファーストの特徴
JR西国分寺駅
徒歩2分
平日19時まで
土日も15時まで診療
他の患者様を気にせず
相談・治療可能な完全 個室の診療室
なるべく抜かない・削らない治療をご提案
キャッシュレス決済
にも対応可能
お財布に優しい治療提案と医療費控除・デンタルローンも利用可能
周囲の人から目立たずに矯正治療ができるインビザライン・ファースト。
当院での治療により、自信を持った口元で大きく口を開けて笑顔になれる・会話ができるという自分らしく生活することが可能になります。
当院の院長引野は、これまで年間630件以上の患者様の矯正治療を行って参りました。
矯正治療の経験豊富な当院まで、ぜひお気軽にご相談ください。
資格
- JIADインプラント認証医
- インビザライン矯正 2024、2025年 ブラックダイヤモンドドクター認定(国内約 10名)
- スマイルトゥルー マウスピース型矯正認定
- ハーモニー舌側矯正認定
院長
引野 貴之
当院では、小児矯正の症例数500件以上、インビザライン矯正を年間630件以上行っており、豊富な症例経験をもとに治療を行っています。
他院で治療が難しいと判断されたケースにも対応可能な場合がありますので、まずはお気軽にご相談ください。