まずはカウンセリングで、お口のお悩みやご希望をお伺いします。
セラミックやジルコニアなどの被せ物を検討されている方も、お気軽にご相談ください。
セラミック治療
院長 引野 貴之
Hikino Takayuki
経歴
| 2016年 | 神奈川歯科大学卒業 |
| 2016年 | 日本歯科大学附属病院 研修医 |
| 2017年〜 | 都内の歯科医院 副院長 |
| 2022年 | オーラルビューティークリニッククラリス歯科・矯正歯科 開院 |
| 2025年 | 医療法人社団クラリス 開設 理事長 兼 院長 |
資格
- JIADインプラント認証医
- インビザライン矯正 2024、2025年 ブラックダイヤモンドドクター認定(国内約 10名)
- スマイルトゥルー マウスピース型矯正認定
- ハーモニー舌側矯正認定
所属学会
- 日本矯正歯科学会 会員
- 日本口腔インプラント学会会員(日本口腔インプラント学会認定100時間講習会修了)
- 公益社団法人 日本歯科先端技術研究所(JIAD)会員/JIAD
理想の笑顔を手に入れたい方や、歯の色・形・すき間などのお悩みを改善したい方には、セラミック治療という選択肢 があります。
「矯正までしなくても見た目を整えたい」「前歯だけ綺麗にしたい」「短期間で改善したい」など、ご相談の内容に応じて、費用や期間を抑えながら理想の仕上がりに近づける治療方法をご提案できる場合もあります。
このページでは、セラミック治療の仕組み・種類・メリットだけでなく、リスクや注意点までわかりやすく解説しています。
治療を検討されている方が、安心して選択できるようお役立ていただければ幸いです。
当院のセラミック治療の特徴
- 多様なセラミック治療から適切な方法をご提案
- 院長 引野がカウンセリングから治療まで一貫して対応
- 圧倒的症例数で、歯列矯正やセラミック治療など包括的にお口のお悩みに対応
- 他の患者様を気にせず相談・治療可能な完全個室の診療室
セラミック治療とは

セラミック治療とは、陶器と同じ素材であるセラミックを使用して歯の見た目や機能を回復する治療法です。
天然の歯に近い白さと透明感があり、自然で美しい仕上がりが期待できます。
虫歯治療で削った部分を補う詰め物や、歯全体を覆う被せ物、歯の表面に貼り付けるベニアなど、お悩みや症状に応じてさまざまな治療方法があります。
金属を使用しないため、金属アレルギーの心配がなく、歯茎が黒くなることもありません。
また、セラミックは表面が滑らかで汚れが付きにくいため、虫歯や歯周病の予防にもつながります。
変色しにくく耐久性にも優れているため、適切なケアを続けることで長期間美しい状態を保つことができます。
前歯の見た目を整えたい方や、銀歯を白くしたい方、金属アレルギーが心配な方など、幅広いお悩みに対応できる治療法です。
セラミック治療の種類
| クラウン | インレー | ラミネートべニア | |
| 適用可能なお悩み | ・大きく欠けた歯 ・変色の強い歯 | ・小さな虫歯 ・銀歯の詰め替え | ・前歯のすきっ歯 ・軽い変色 |
| 治療期間 | 約2〜3週間 | 約1〜2週間 | 約2〜3週間 |
| 来院回数 | 約2〜3回 | 約2回 | 約2〜3回 |
| 特徴(メリット) | ・見た目が自然 ・丈夫 | ・自然な色合い ・金属不使用 | ・歯をほとんど削らない ・短時間で治療が可能 |
| デメリット | ・歯を削る量がやや多い | ・強い力がかかる場所には不向き | ・適用範囲が限られる |
院長
引野 貴之
近年は「できるだけ歯を削りたくない」というご希望をお持ちの患者さまが増えています。
歯科材料や技術の進歩により、歯をほとんど削らずに行えるラミネートベニアなど、歯への負担を抑えたセラミック治療も選択できるようになりました。
一方で、セラミックは金属に比べると割れやすい性質があるため、長く安心してお使いいただくためには、ある程度の厚みが必要になる場合があります。
そのため治療内容によっては、セラミックの強度を確保する目的で歯を削る必要が生じることもあります。
当院では、見た目の美しさだけでなく、機能性や耐久性も重視し、削る場合でも必要最小限にとどめた治療を心がけています。
患者さま一人ひとりの歯の状態やご希望に合わせて、最適な治療方法をご提案いたしますので、安心してご相談ください。
クラウン

クラウンは、虫歯や外傷などで歯を大きく削った場合や、神経を取った後の歯などに用いられる治療法です。
歯全体をセラミックで覆うことで、機能面と審美面の両方を回復させることができます。
特に、変色が強い歯や、ホワイトニングでは改善が難しいケースでも、自然な白さを取り戻すことが可能です。
診療では、患者様の歯の状態やご要望をしっかりとお伺いし、最適なセラミック素材を選択しています。
周囲の歯と違和感なく調和するだけでなく、強度にも優れているため、前歯から奥歯まで安心してお使いいただけます。
クラウン治療をご検討の方は、まずはお気軽にご相談ください。
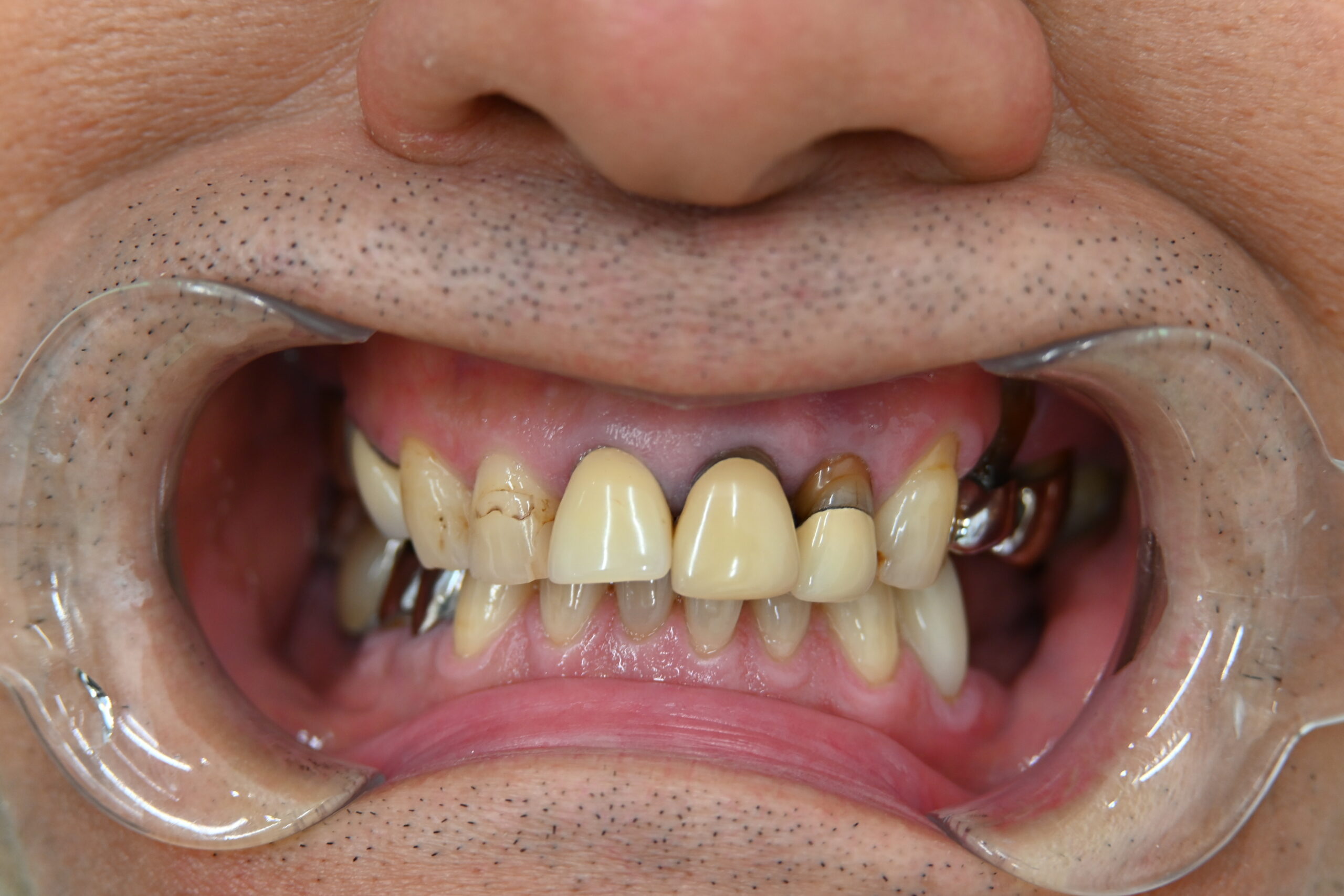
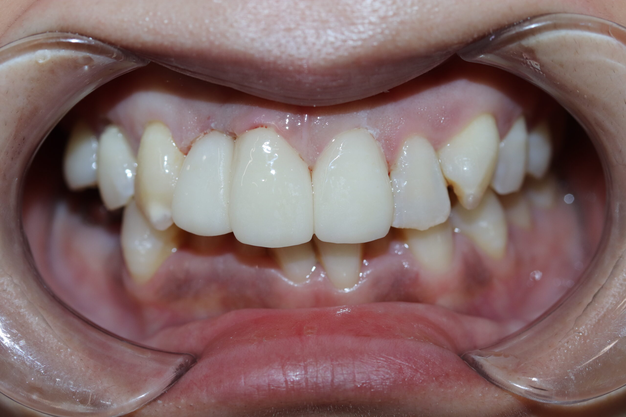
クラウンの症例
before
after
施術概要
セラミック治療は形の悪い差し歯や被せ物を治したり、部分的な歯並びの矯正を行うことができる治療です。短期間で歯並びの改善まで実現することが可能です。
金額
88,000円(税込)×15本
期間・回数
3ヶ月
リスク・副作用
全ての方で、疼痛、咬合痛、冷水痛、抜歯を伴う場合は腫脹や出血などを生じる場合があります。麻酔を行う場合、腫れやむくみを感じる事があります。セラミック・仮歯が欠けたり、外れる事があります。神経の治療や抜歯が必要な場合があります。また、歯並びが変わる事により違和感を生じる可能性があります。
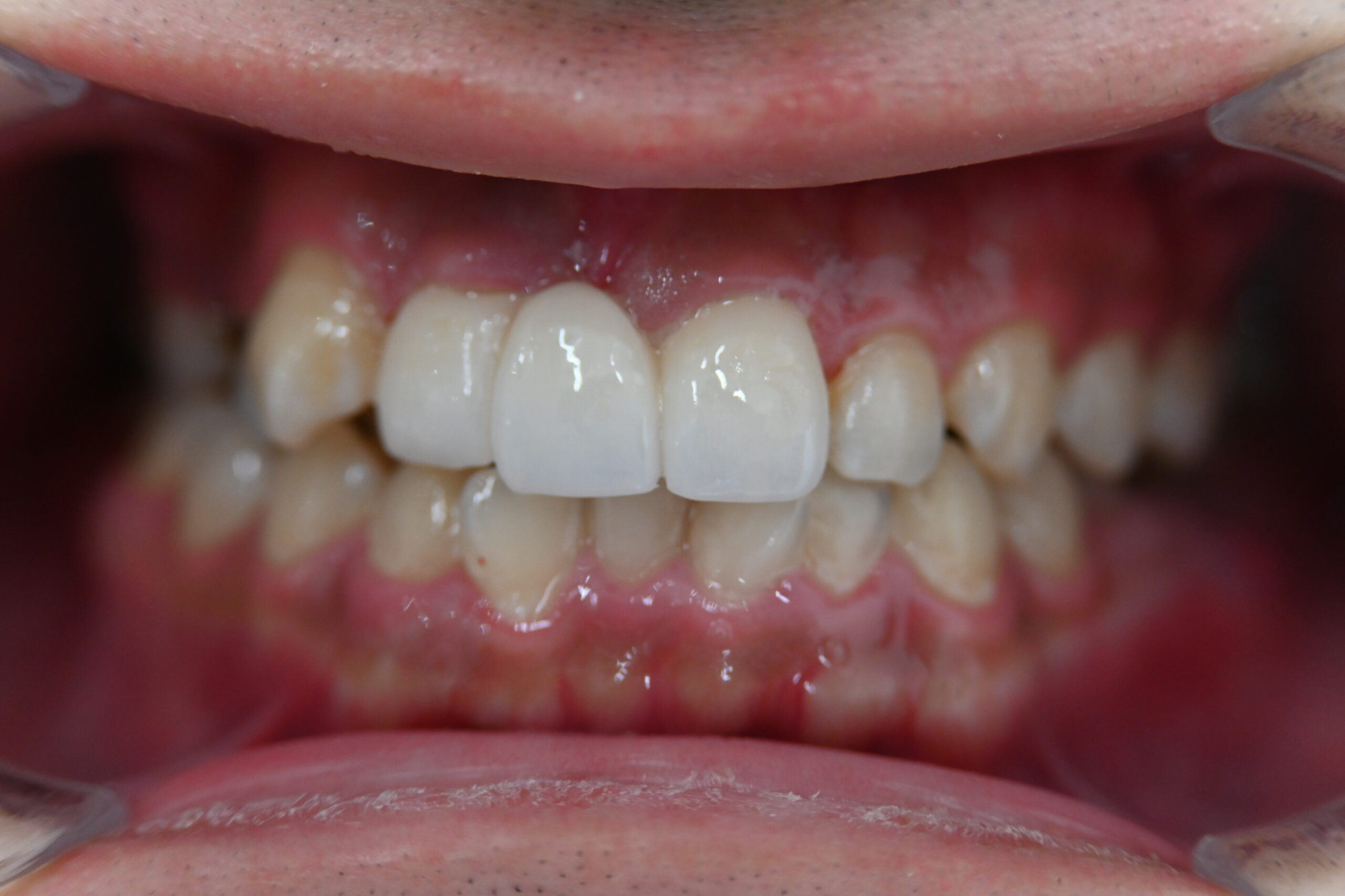
before
after
施術概要
セラミック治療は形の悪い差し歯や被せ物を治したり、部分的な歯並びの矯正を行うことができる治療です。短期間で歯並びの改善まで実現することが可能です。
金額
88,000円(税込)×3本
期間・回数
3週間 / 2回
リスク・副作用
全ての方で、疼痛、咬合痛、冷水痛、抜歯を伴う場合は腫脹や出血などを生じる場合があります。麻酔を行う場合、腫れやむくみを感じる事があります。セラミック・仮歯が欠けたり、外れる事があります。神経の治療や抜歯が必要な場合があります。また、歯並びが変わる事により違和感を生じる可能性があります。
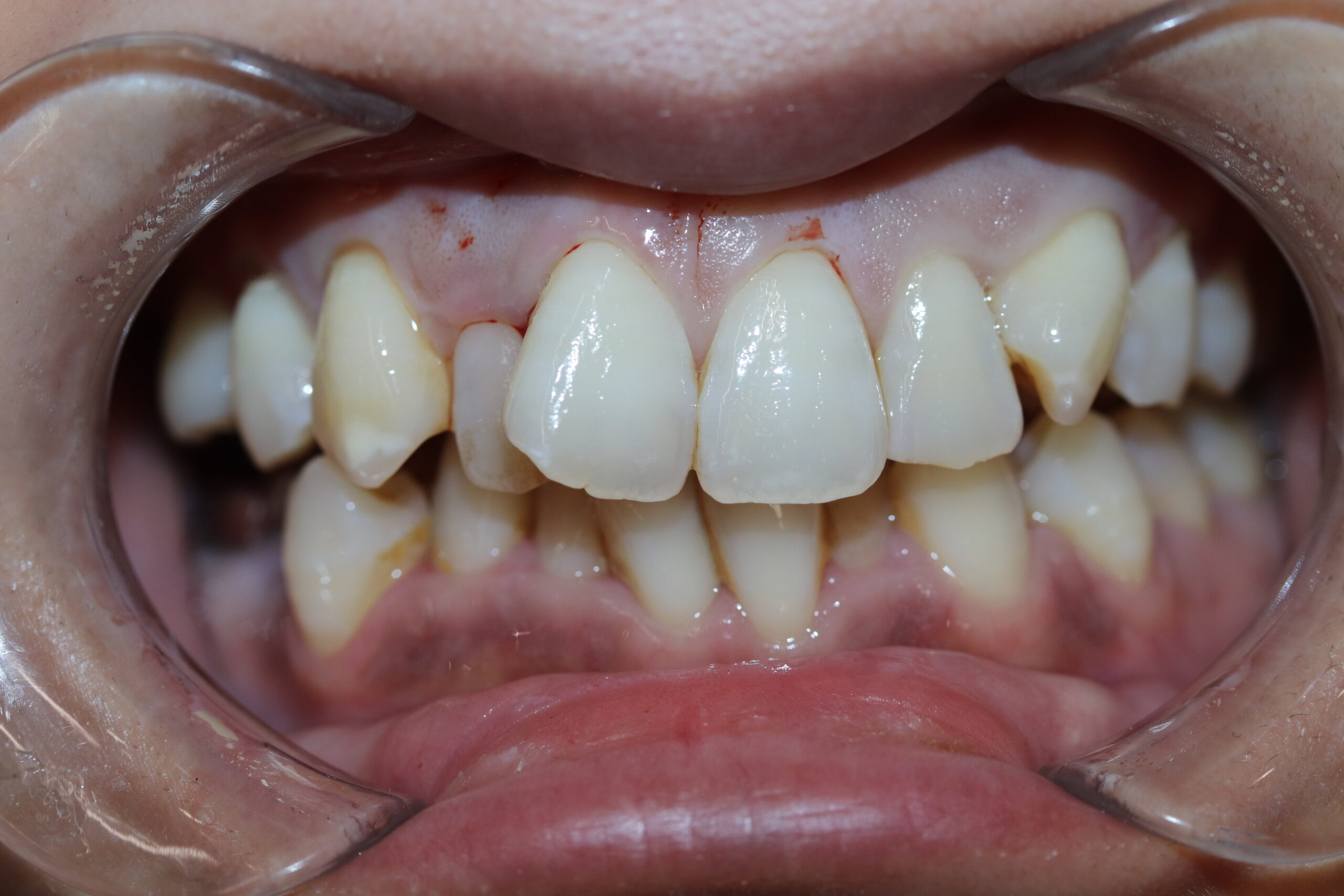
before
after
施術概要
セラミック治療は形の悪い差し歯や被せ物を治したり、部分的な歯並びの矯正を行うことができる治療です。短期間で歯並びの改善まで実現することが可能です。
金額
64,000円(税込)×2本
期間・回数
3週間 / 2回
リスク・副作用
全ての方で、疼痛、咬合痛、冷水痛、抜歯を伴う場合は腫脹や出血などを生じる場合があります。麻酔を行う場合、腫れやむくみを感じる事があります。セラミック・仮歯が欠けたり、外れる事があります。神経の治療や抜歯が必要な場合があります。また、歯並びが変わる事により違和感を生じる可能性があります。
インレー

インレーは、虫歯治療で削った部分を補うために使用される詰め物です。
奥歯の噛む面や歯と歯の間など、比較的小さな範囲の虫歯治療に適応となります。
近年の診療では、以前に銀歯を入れた方が、金属アレルギーの対策や見た目の美しさを求めて、セラミックインレーに交換されるケースが増えています。
セラミックインレーは、天然歯に近い白さと透明感を再現できるため、口を開けたときも詰め物が目立ちません。
また、セラミックは表面が滑らかで汚れが付きにくいため、適切な歯みがきと組み合わせることで、虫歯の再発リスクを減らすことが期待できます。
金属を使用していないため、金属アレルギーの心配がほとんどなく、条件が合えば長期的な使用も期待できます。
銀歯が気になる方や、虫歯治療の際により審美性の高い治療を希望される方は、ご検討ください。
ラミネートベニア

ラミネートベニアは、歯の表面をわずかに削り、その上に薄いセラミック製のシェルを貼り付ける審美治療です。
主に前歯など人目につきやすい部分に適しており、歯の色や形、軽度の歯並びの乱れを整えることができます。
セラミックは天然歯のような自然な透明感があり、周囲の歯ともなじみやすいため、治療後も自然で美しい口元を目指すことができます。
ラミネートベニアは、被せ物の治療と比べて歯を削る量を抑えられることが特徴です。
通常は型取りから装着まで2〜3回程度の処置で完了することが多く、お忙しい方でも通院しやすい治療です。
前歯の見た目が気になる方や、短期間で口元の印象を整えたい方は、ラミネートベニアも一つの選択肢です。
ラミネートベニアの症例
before
after
施術概要
歯を削らないラミネートベニアによる審美治療。
金額
66000円(税込)×3本
期間・回数
2週間 / 2回
リスク・副作用
削らないラミネートベニアは元の歯よりも少し厚く大きくなります。この症例のように歯を大きくすることはできますが、歯を小さくしたり出っ歯を治すことはできません。状況によって術後に、疼痛・咬合時痛・冷水痛などを生じる事があります。
before
after
施術概要
歯を削らないラミネートベニアによる審美治療。
金額
66,000円(税込)
期間・回数
2週間 / 2回
リスク・副作用
削らないラミネートベニアは元の歯よりも少し厚く大きくなります。この症例のように歯を大きくすることはできますが、歯を小さくしたり出っ歯を治すことはできません。状況によって術後に、疼痛・咬合時痛・冷水痛などを生じる事があります。
before
after
施術概要
歯を削らないラミネートベニアによる審美治療。
金額
66,000円(税込)×7本
期間・回数
3週間 / 2回
リスク・副作用
削らないラミネートベニアは元の歯よりも少し厚く大きくなります。この症例のように歯を大きくすることはできますが、歯を小さくしたり出っ歯を治すことはできません。状況によって術後に、疼痛・咬合時痛・冷水痛などを生じる事があります。
削らないラミネートベニアとは?
最近注目されている「削らないラミネートベニア」は、歯をほとんど削らずに薄いセラミックを貼り付けることで、見た目を改善する方法です。
歯への負担が少なく、短い治療期間で自然な白さや形を再現できる点が特徴です。
治療に使用するセラミックについて
当院では、患者様のお口の状態やご希望に合わせて複数のセラミック素材をご用意しています。
ブリッジや連結治療にも対応しており、症例に応じて最適な素材をご提案します。
保険診療で使われる金属(メタル)やレジンは、費用を抑えられる一方で、見た目が目立つ、汚れがつきやすい、虫歯が再発しやすい、金属アレルギーの可能性がある といったデメリットがあります。
そのため当院では、セラミックやジルコニアなどの自由診療素材を採用しています。
これらは変色しにくく、汚れが付着しにくいため、長くきれいな状態を保ちやすいことが特徴です。
金属を使わないため、アレルギーの心配もありません。
連結・ブリッジとは?
歯を失った部分の両隣の歯を支えにして、人工の歯をつなげる治療法です。
噛む力や見た目の自然さを取り戻せるだけでなく、噛み合わせのバランスを整えることで残っている歯への負担を減らすことができます。
ジルコニア+セラミック(e-max)

- 耐久性
- 審美性
- 変色耐性
よく使われる部位 | 前歯・奥歯 |
金属アレルギー | なし |
ジルコニア+セラミック(e-max)は、内側に高強度のジルコニアフレーム、外側に透明感の高いe-maxセラミックを組み合わせたハイブリッド素材の被せ物です。
ジルコニアの優れた耐久性と、e-max特有の自然な白さ・ツヤを両立できるため、金属を使わずに見た目と機能性の両方を重視したい方に適しています。
前歯など審美性が求められる部位を中心に、症例によっては奥歯にも使用可能ですが、噛みしめや歯ぎしりが強い場合は、より強度に優れた素材をご提案することもあります。
- 強度が高く、複数本を連結したブリッジにも使用可能
- 光をほどよく通すため、自然な色合いを再現できる
- 金属を使わないため、金属アレルギーの心配がない
適用できない症例
噛みしめや歯ぎしりが強い方では、強い力によりセラミックが割れてしまう場合があります。
その場合は、より強度の高い素材をご提案いたします。
セラミック(e-max)

- 耐久性
- 審美性
- 変色耐性
よく使われる部位 | 前歯 |
金属アレルギー | なし |
セラミック(e-max) は、高い透明感と自然な発色を持つ審美性に優れた素材です。
特に、前歯のように細かな色調・質感が求められる部位で真価を発揮します。
歯の色味や透け感を精密に調整できるため、周囲の歯と調和した自然な仕上がりを実現しやすく、審美性を重視される方に適した素材です。
- 審美性が非常に高く、まるで天然歯のような質感で美しい見た目
- 金属を一切使わないため、歯茎が黒くなる心配がない
- 色調の調整がしやすく、部分的な治療にも向いています
ジルコニア

- 耐久性
- 審美性
- 変色耐性
よく使われる部位 | 奥歯 |
金属アレルギー | なし |
ジルコニア は、非常に高い強度を持つことから「人工ダイヤモンド」とも呼ばれる耐久性に優れた素材です。
欠けにくく摩耗しにくいため、強い咬合力がかかる奥歯や長期的な丈夫さを重視される方に適しています。
- とても丈夫で摩耗しにくいため、長期間使用しても欠けにくい素材です。
- 表面が滑らかなので、汚れやプラークが付きにくく清潔に保てます。
- 金属不使用のため、金属アレルギーの心配や歯茎の変色が起こりにくいです。
セラミック治療の料金まとめ
| ジルコニア+セラミック(e-max) | セラミック(e-max) | ジルコニア | |
| 美しさ | ![]() | ![]() | ![]() |
| 耐久性 | ![]() | ![]() | ![]() |
| 変色耐性 | ![]() | ![]() | ![]() |
| 費用 | クラウンのみ ¥110,000(税込) | クラウン ¥88,000(税込) インレー ¥49,500(税込) ラミネートべニア ¥66,000(税込) | クラウン ¥88,000(税込) インレー ¥49,500(税込) ラミネートべニア ¥66,000(税込) |
※セラミック治療は自由診療で、健康保険の適用外となります。
あなたが一番納得できる選択肢を医師が一緒に考えます。
まずはお気軽にご相談ください。
セラミック治療の流れ
レントゲン・CT撮影など必要な検査を行い、お口の状態を詳しく確認します。
虫歯や歯茎の健康状態、治療が必要な箇所の有無をチェックします。
検査結果をもとに、患者様に合った治療計画をご提案します。
治療の進め方やセラミックの種類なども、わかりやすくご説明いたします。
内容にご納得いただいたうえで、治療をスタートします。
虫歯や歯茎の状態を整えたあと、セラミックを装着するために歯の形を整えます。
その後、精密な型取りを行い、仮の歯を装着してお過ごしいただきます。
完成したセラミックの被せ物を実際に取り付け、咬み合わせやフィット感を確認しながら調整します。
ぴったり合うことを確認したうえで、しっかりと装着します。
セラミックを装着した後は、長くきれいな状態を維持するために定期的なメンテナンスが重要です。
メンテナンスでは虫歯や歯周病の予防をし、治療後の不具合がないかを確認します。
セラミック治療のメリット・デメリット
- 天然の歯に近い白さと透明感がある
- 自然できれいな仕上がり
- 金属を使わないため、金属アレルギーの心配がほとんどない
- 変色しにくく、適切なケアをすることで長持ちする
- 自由診療のため、費用が高くなる
- 強い衝撃が加わると割れることがあるため、注意が必要
セラミック治療のリスク・副作用
- 強い噛み合わせにより、欠けや割れが生じる可能性がある
- 歯を削る際に、一時的にしみるような知覚過敏が起こることがある
- 長い期間が経つと、接着部分が少しずつ変化する場合がある
セラミック治療の注意点
セラミックは耐久性の高い素材ですが、天然歯と同様に過度な力が加わると欠けたり割れたりすることがあります。
そのため、治療後は以下の点にご注意ください。
- 硬いものを強く噛まない(氷・ナッツ・骨付き肉など)
- 噛みしめ・歯ぎしりがある方は、ナイトガードの使用を推奨
- 歯ブラシの力を入れすぎず、優しく磨く
また、汚れが溜まると歯茎の炎症や虫歯の再発につながることがあるため、毎日の歯磨きやフロスなどのセルフケアを丁寧に行うことが欠かせません。
さらに、定期的なメンテナンスを受けることで、装着状態のチェックやクリーニングができ、セラミックの美しさと快適さをより長く維持できます。
よくある質問
セラミックは変色しにくく、傷や摩耗にも強い素材のため、適切なケアを行えば10年以上使用できるケースが多くあります。
特にジルコニアやジルコニア+e-maxなどは耐久性が高く、奥歯のように強い力がかかる部位でも長期的な安定が期待できます。
ただし、噛みしめ・歯ぎしりが強い方は欠けやすくなる可能性があるため、ナイトガードの使用をおすすめする場合があります。
はい、当院ではセラミック治療後も安心してお使いいただけるよう、保証制度を設けています。
被せ物などのセラミック治療には2年間、ラミネートベニアについては1年間の保証を適用しています。
定期的なメンテナンスを受けていただくことが保証の条件となりますので、詳細については治療前にご説明いたします。
メンテナンスは天然歯と同じく、毎日のブラッシング・フロスによる丁寧なセルフケアが基本です。
セラミック自体は汚れがつきにくい素材ですが、歯と歯ぐきの境目にプラークが残ると虫歯や歯周病のリスクが高まります。
セラミック治療は 保険適用外(自由診療)です。
クラウンは、1本の歯を全体的に覆う被せ物で、虫歯や欠けた歯の見た目と機能を回復する治療です。
ブリッジは、失った歯を補うために、両隣の歯を支えにして人工の歯を連結して装着する治療です。
はい、可能です。
銀歯や変色した詰め物・被せ物を、自然な白さのセラミックに置き換える治療があります。
初回は、次のような流れで進めます。
- お悩み・仕上がりのイメージ・予算のヒアリング
- 口腔内の検査(虫歯・歯周病・噛み合わせ確認)
- CTやレントゲンの撮影(必要に応じて)
- 適した素材(e-max、ジルコニア等)のご提案と費用説明
- 治療期間や手順の説明
無理に治療を勧めることはなく、内容にご納得いただいてから進めます。
もちろん可能です。
近年は、ビジネスシーンでの印象改善・写真撮影・コンプレックス解消などを目的に、男性のセラミック治療も増加しています。
自然で清潔感のある仕上がりを希望される方、銀歯を白くしたい方など、男性特有のお悩みにも対応しております。
セラミック治療の特徴
JR西国分寺駅
徒歩2分
平日19時まで
土日も15時まで診療
他の患者様を気にせず
相談・治療可能な完全 個室の診療室
なるべく抜かない・削らない治療をご提案
キャッシュレス決済
にも対応可能
お財布に優しい治療提案と医療費控除・デンタルローンも利用可能
当院では、豊富な症例実績と専門的な知識をもとに、患者様一人ひとりの歯の状態・ご希望・ご予算に合わせた最適な治療プランをご提案しています。
使用する素材は、天然歯に近い透明感と美しさを再現できるセラミックやジルコニア。
変色しにくく、金属アレルギーの心配もないため、長期間にわたり自然で清潔感のある口元を維持できます。
「前歯を自然に美しく整えたい」「銀歯を白くしたい」「短期間で印象を変えたい」など、どのようなお悩みでもまずはお気軽にご相談ください。
資格
- JIADインプラント認証医
- インビザライン矯正 2024、2025年 ブラックダイヤモンドドクター認定(国内約 10名)
- スマイルトゥルー マウスピース型矯正認定
- ハーモニー舌側矯正認定



院長
引野 貴之
当院では、患者様のお悩み・ご希望・歯並び・噛み合わせを丁寧に確認し、セラミックの種類や治療法を総合的に判断してご提案いたします。