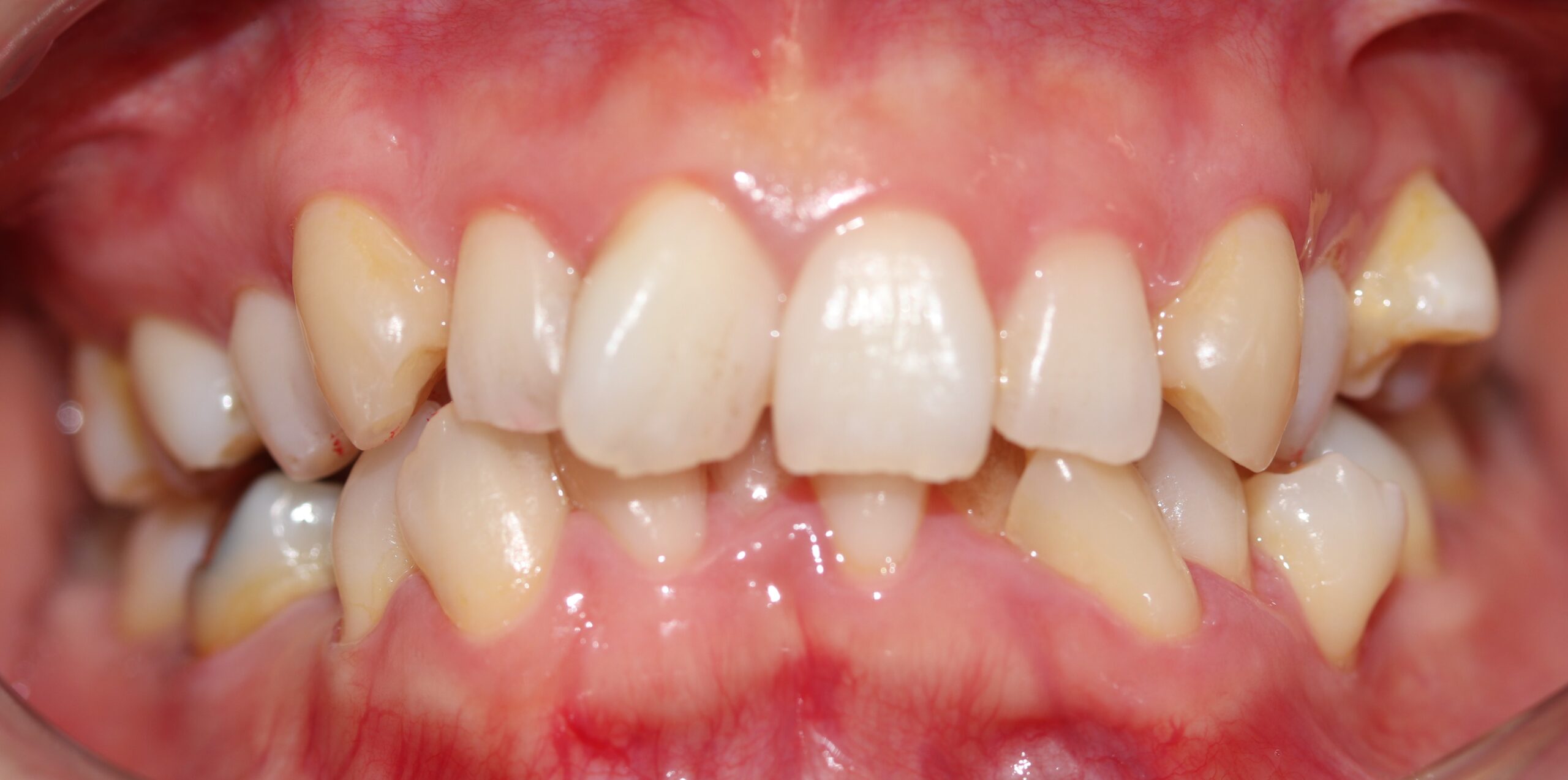
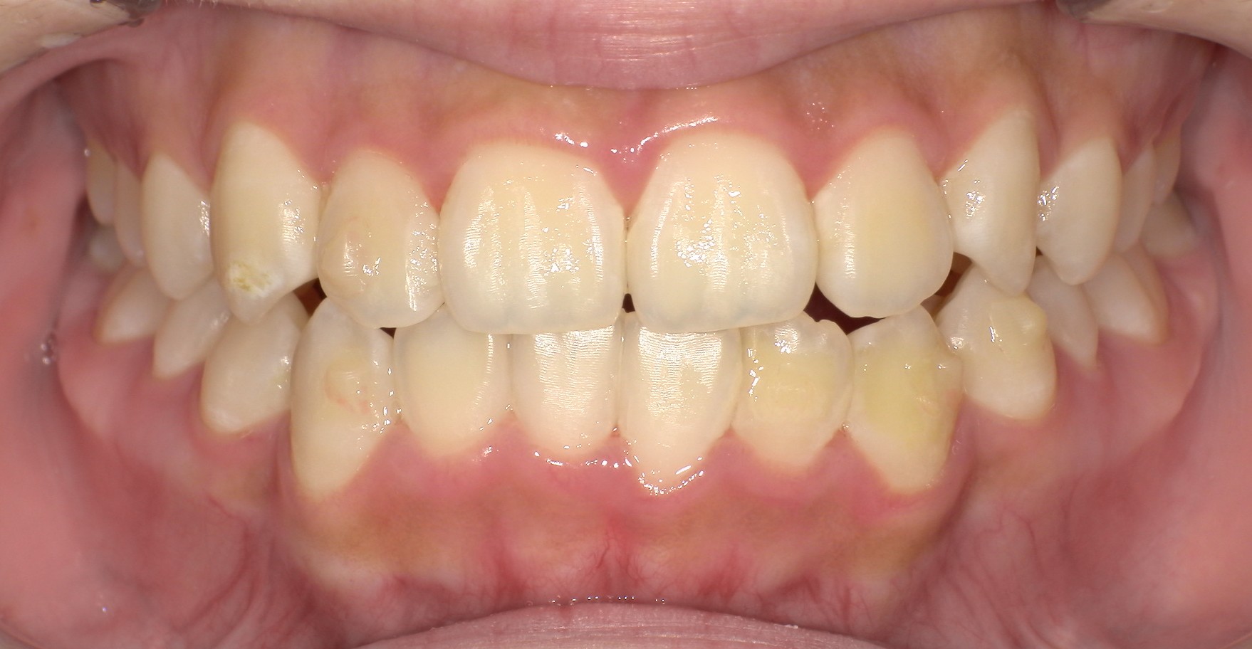
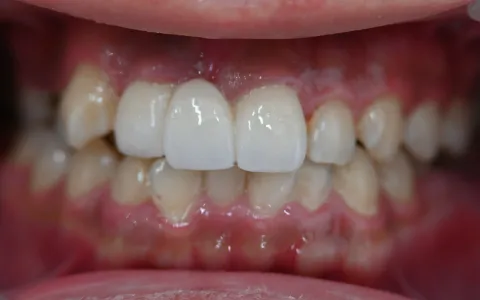
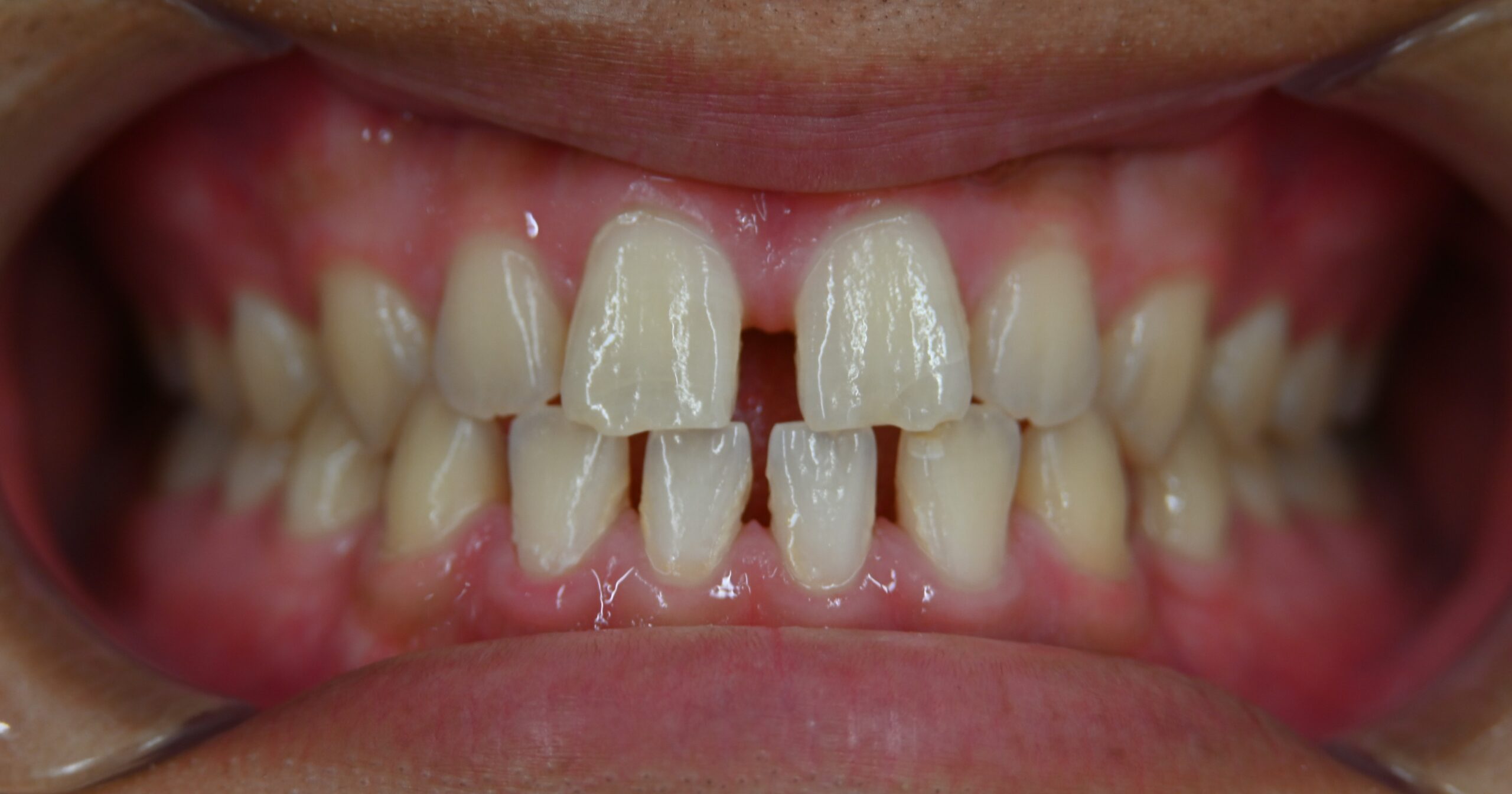
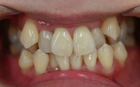
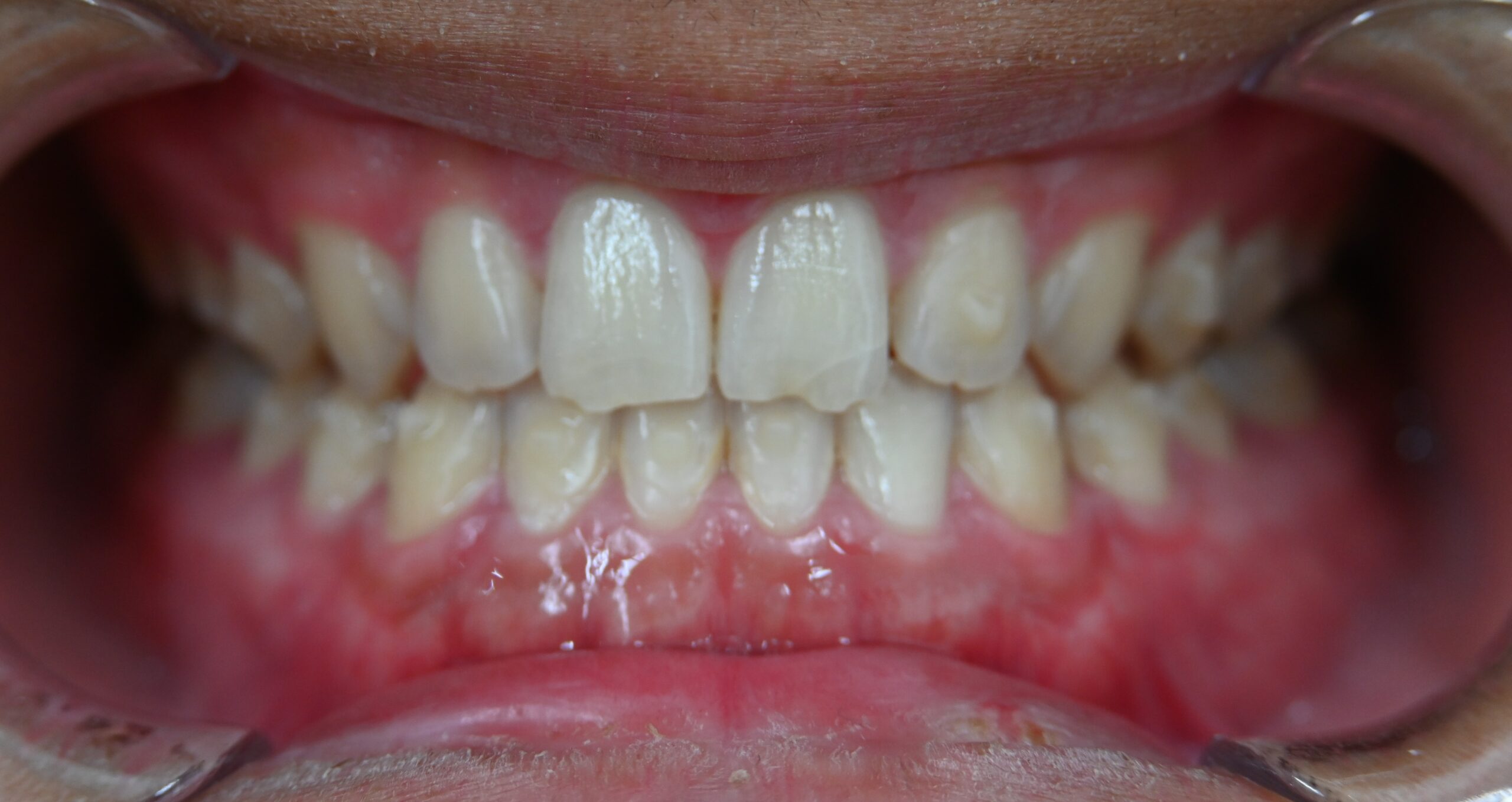
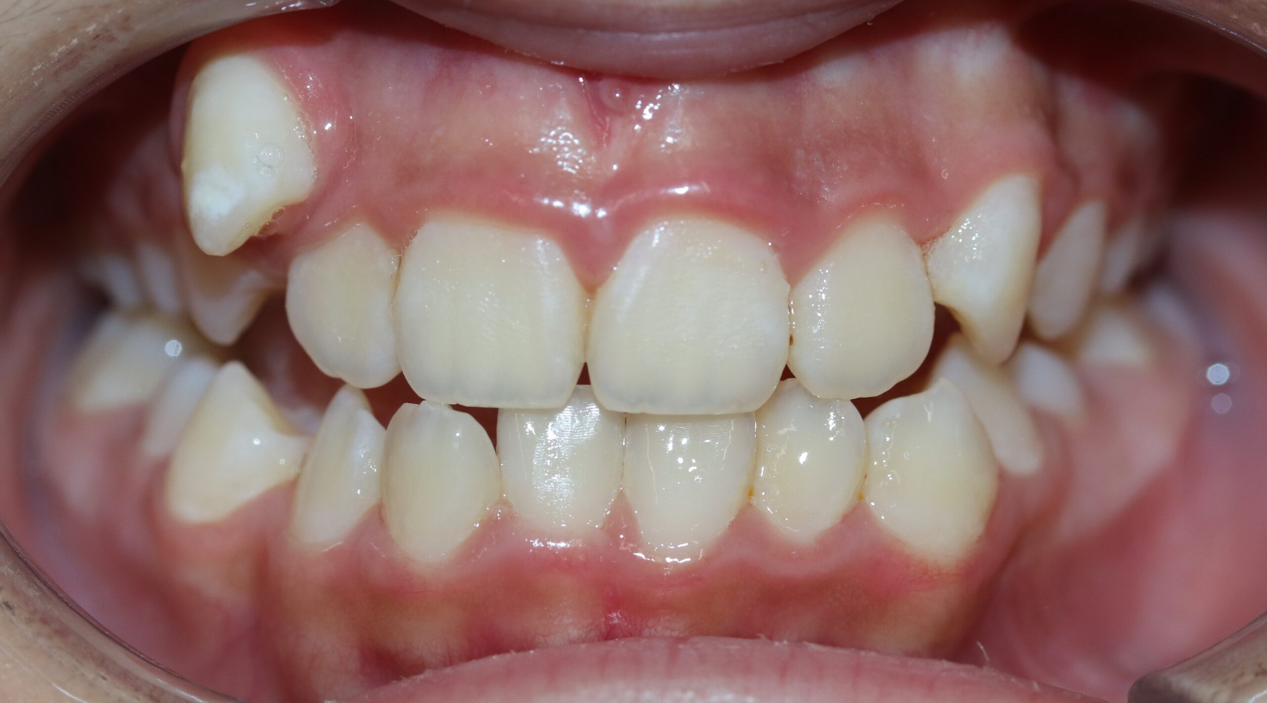
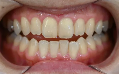
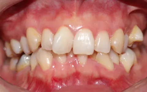
他院でマウスピース矯正では
治せない歯並びだといわれた
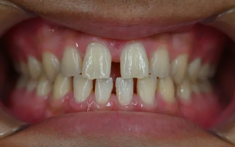
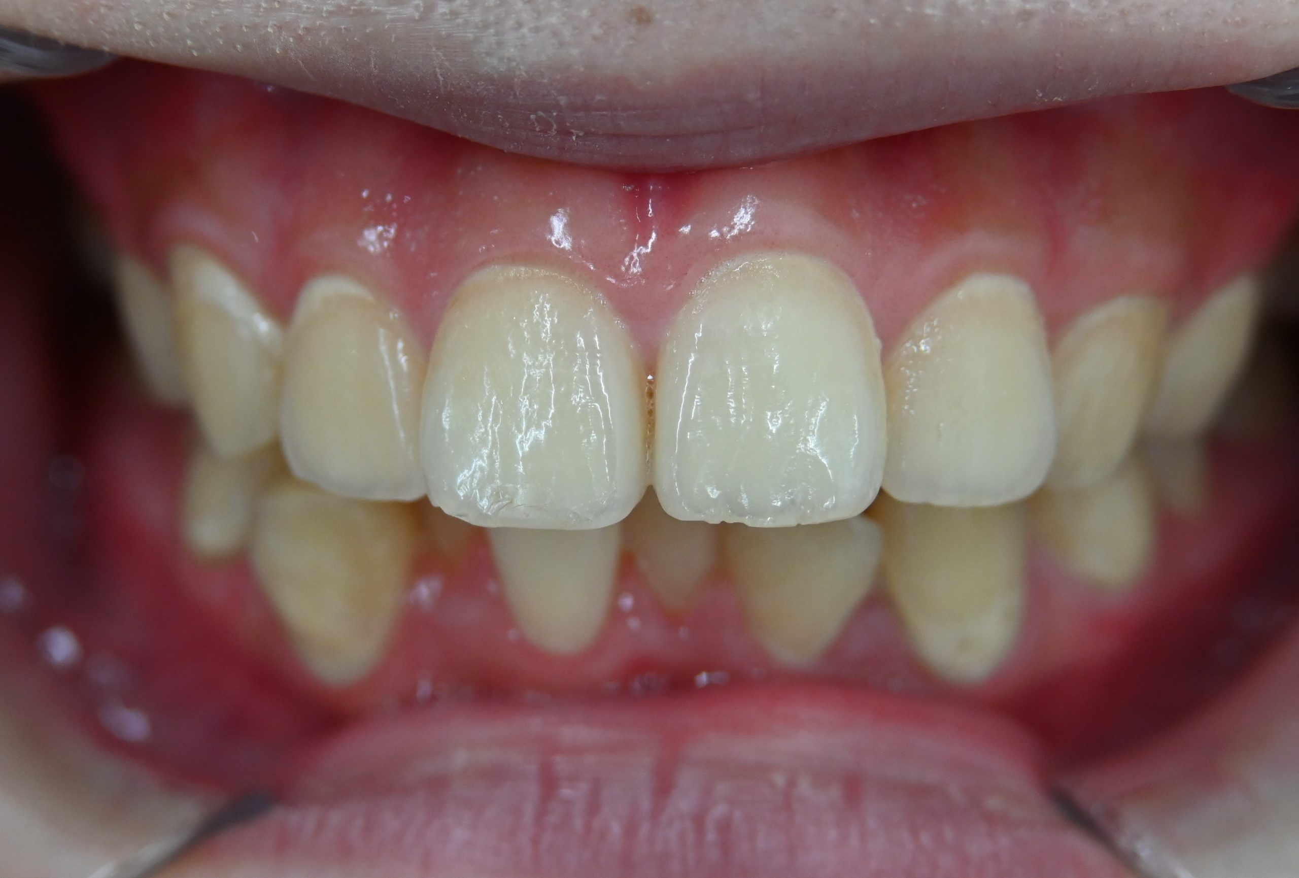
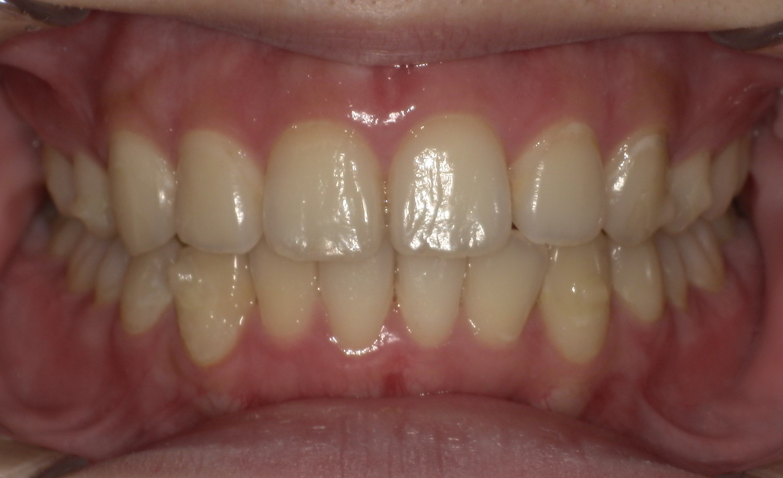
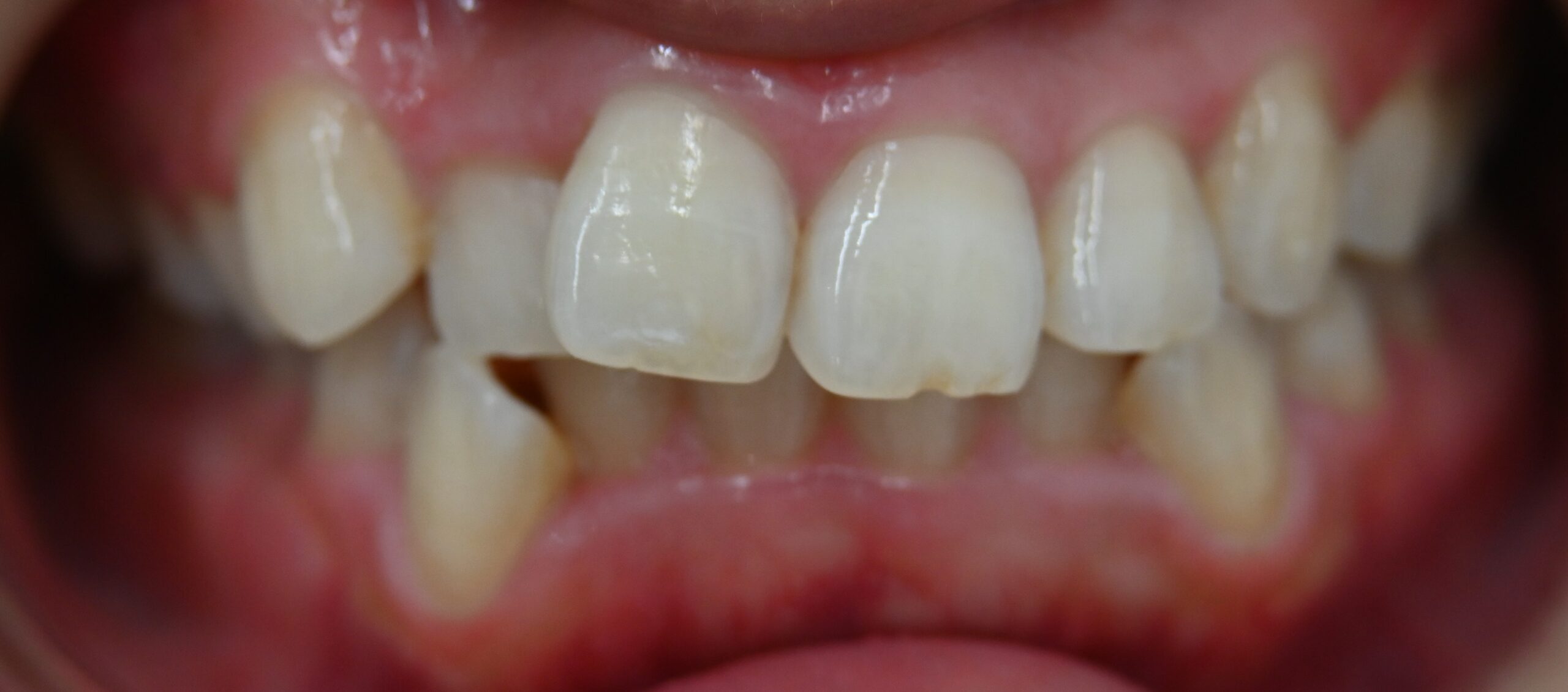
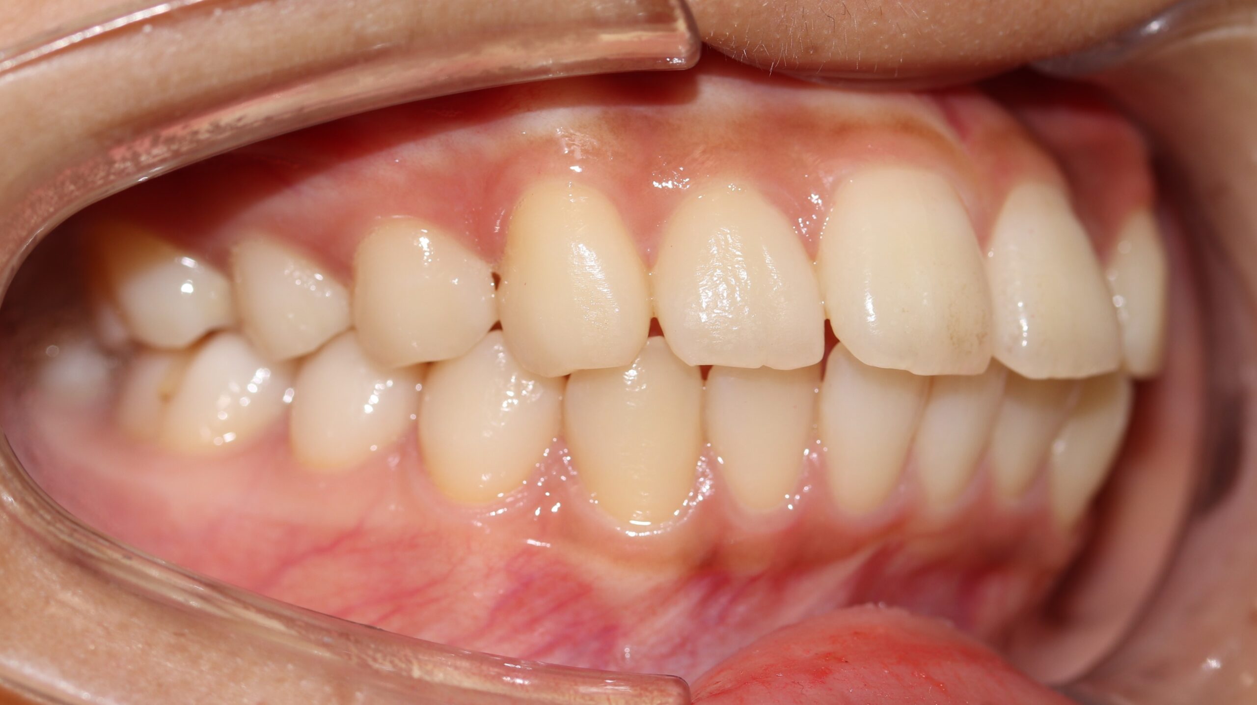
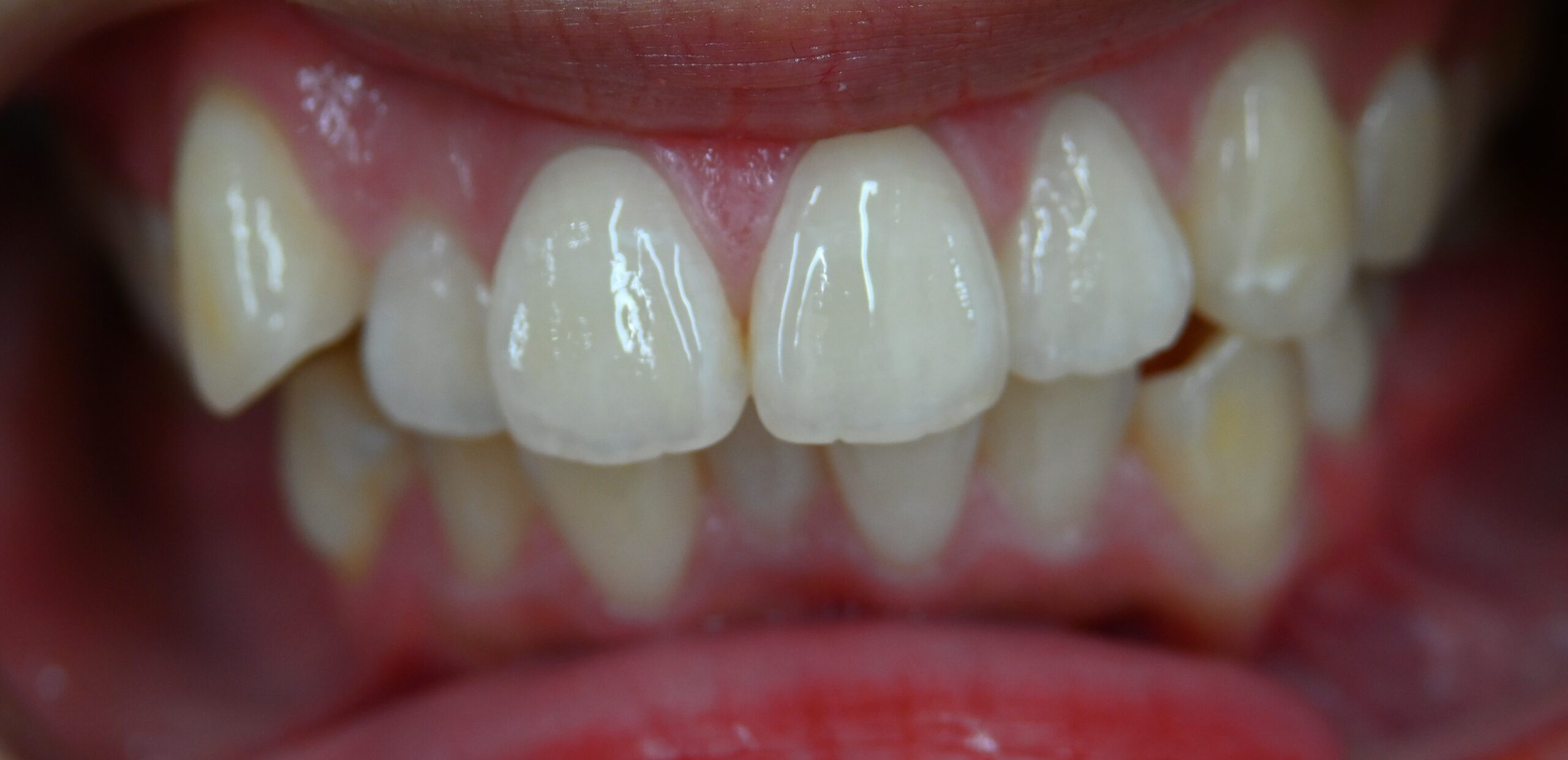
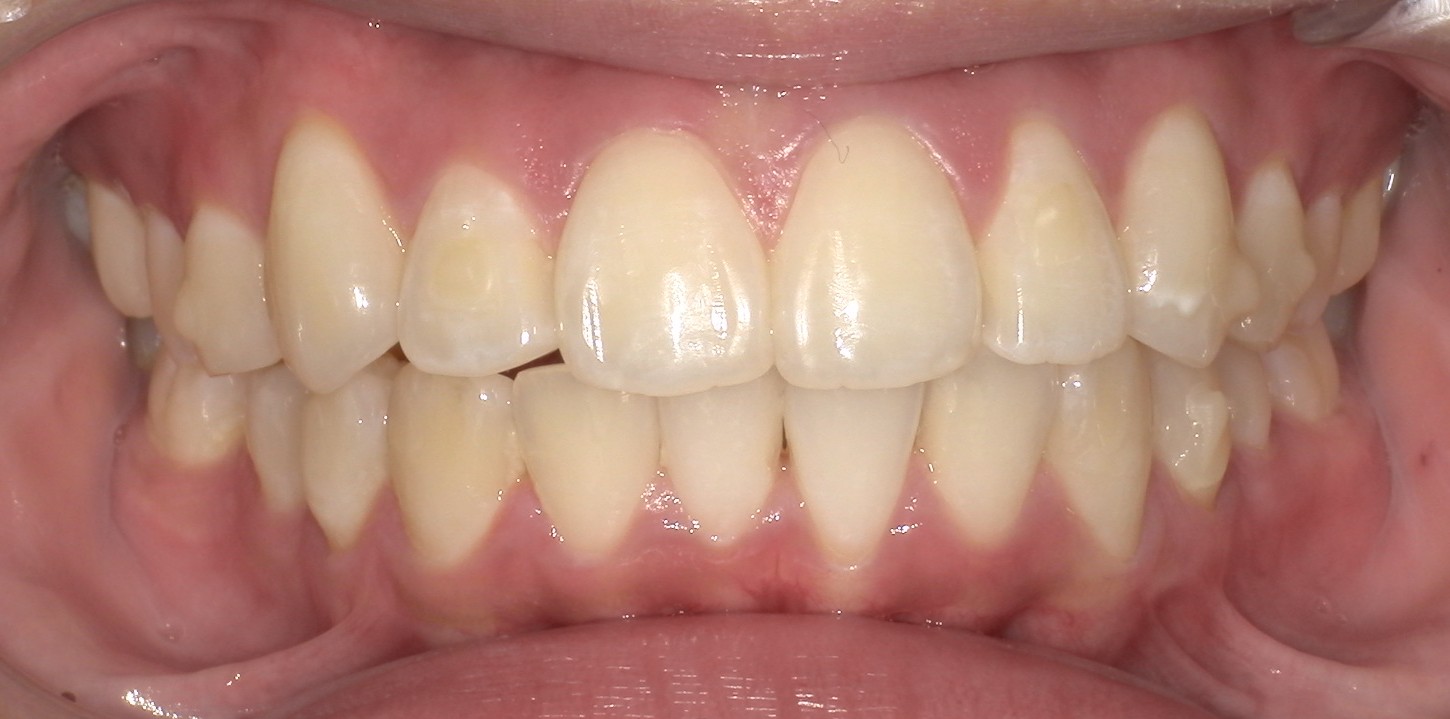
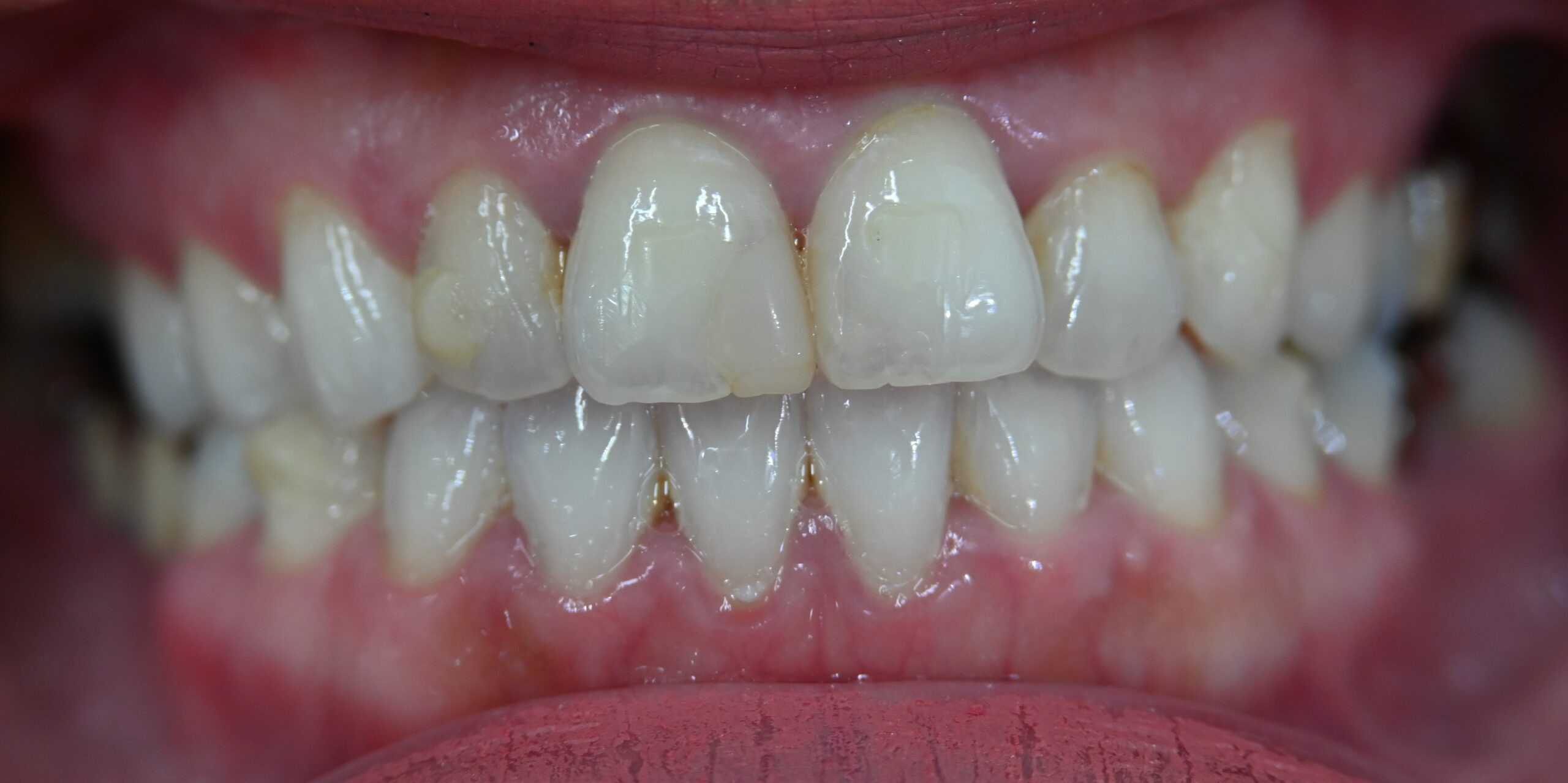
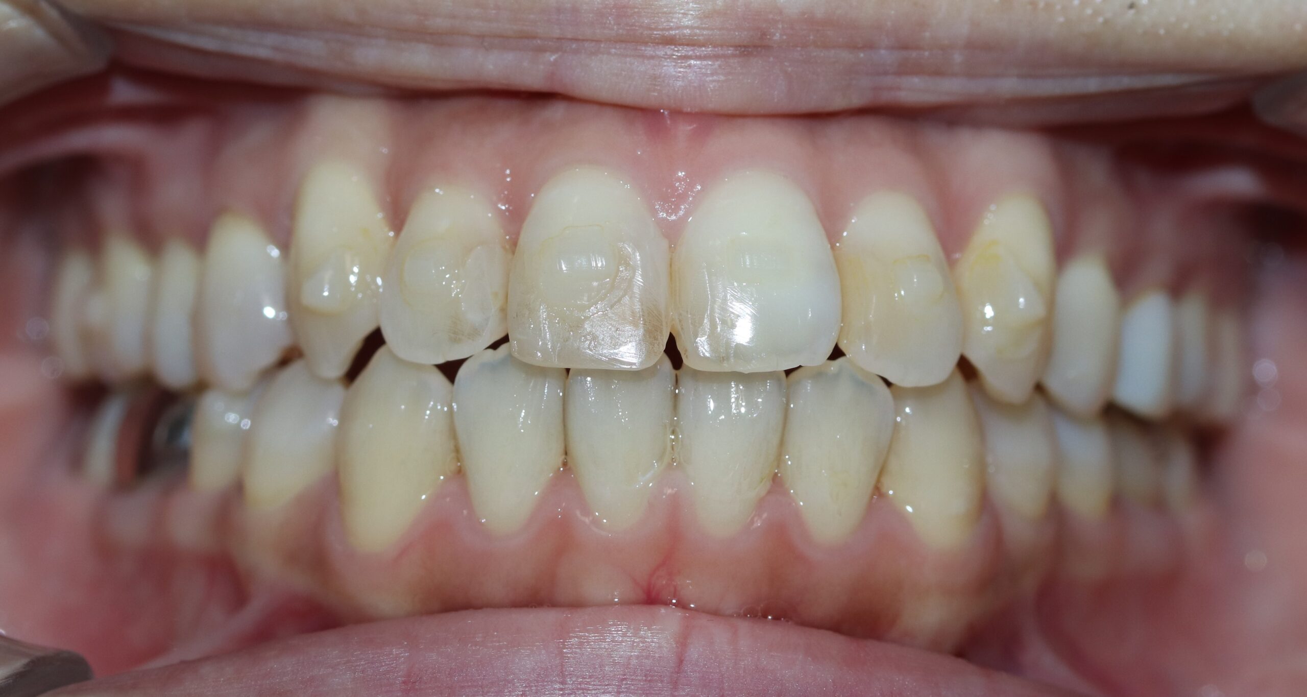
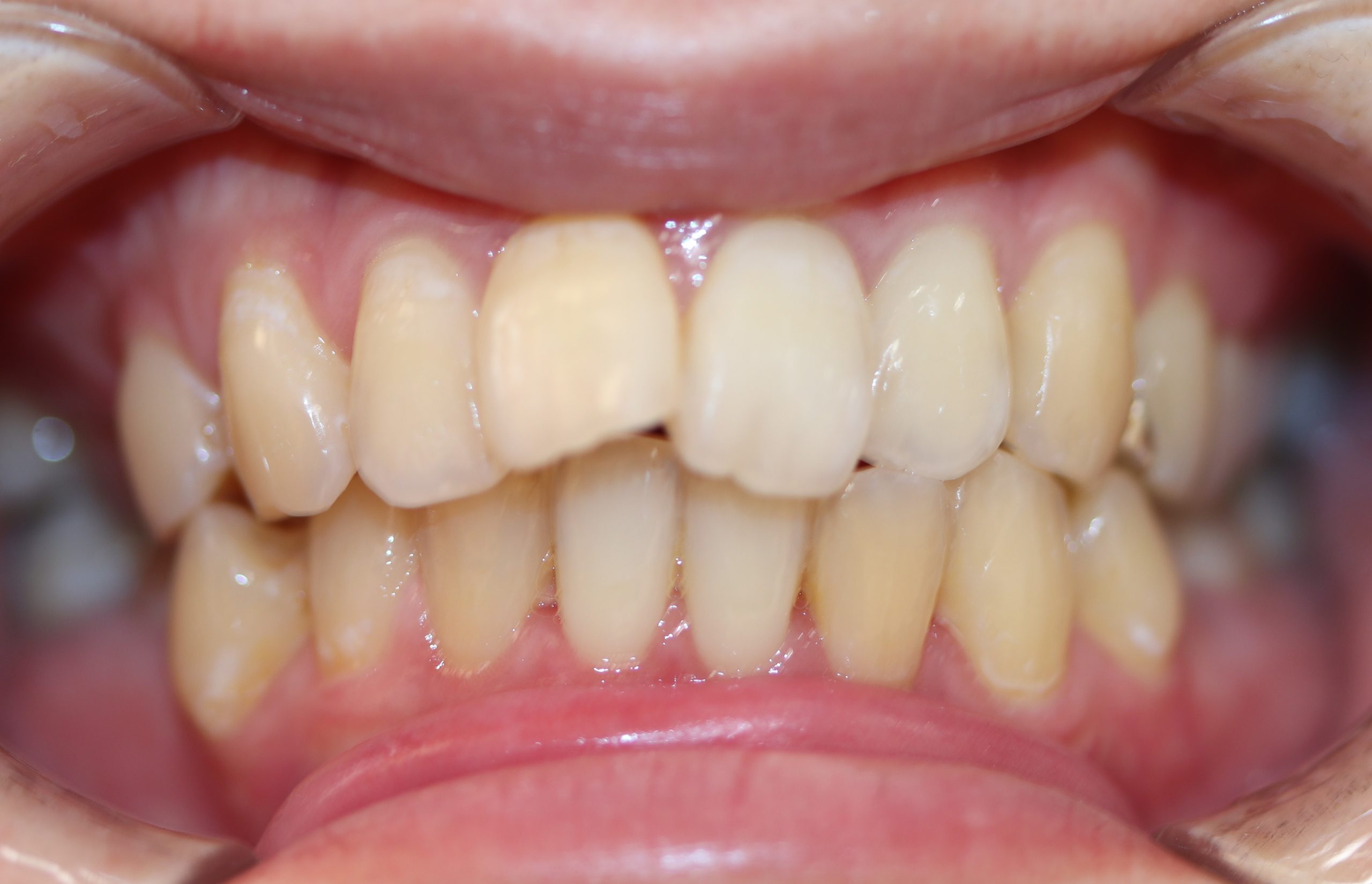
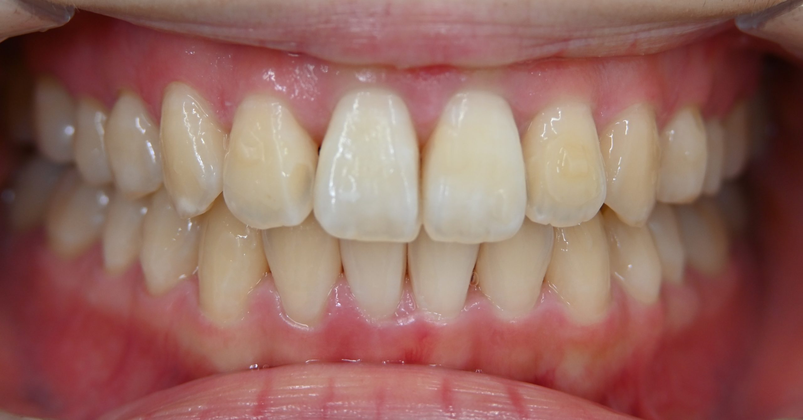
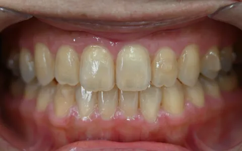
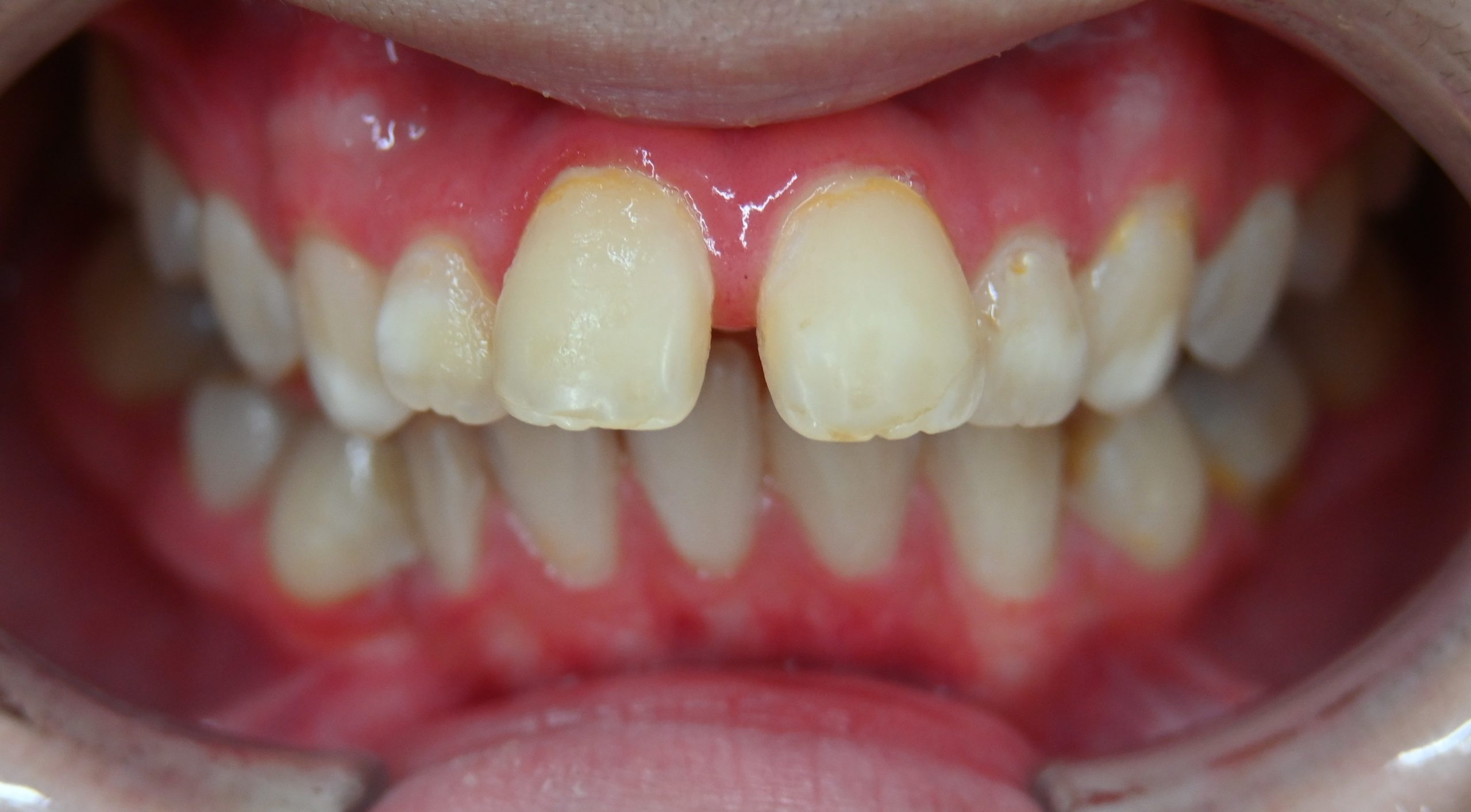
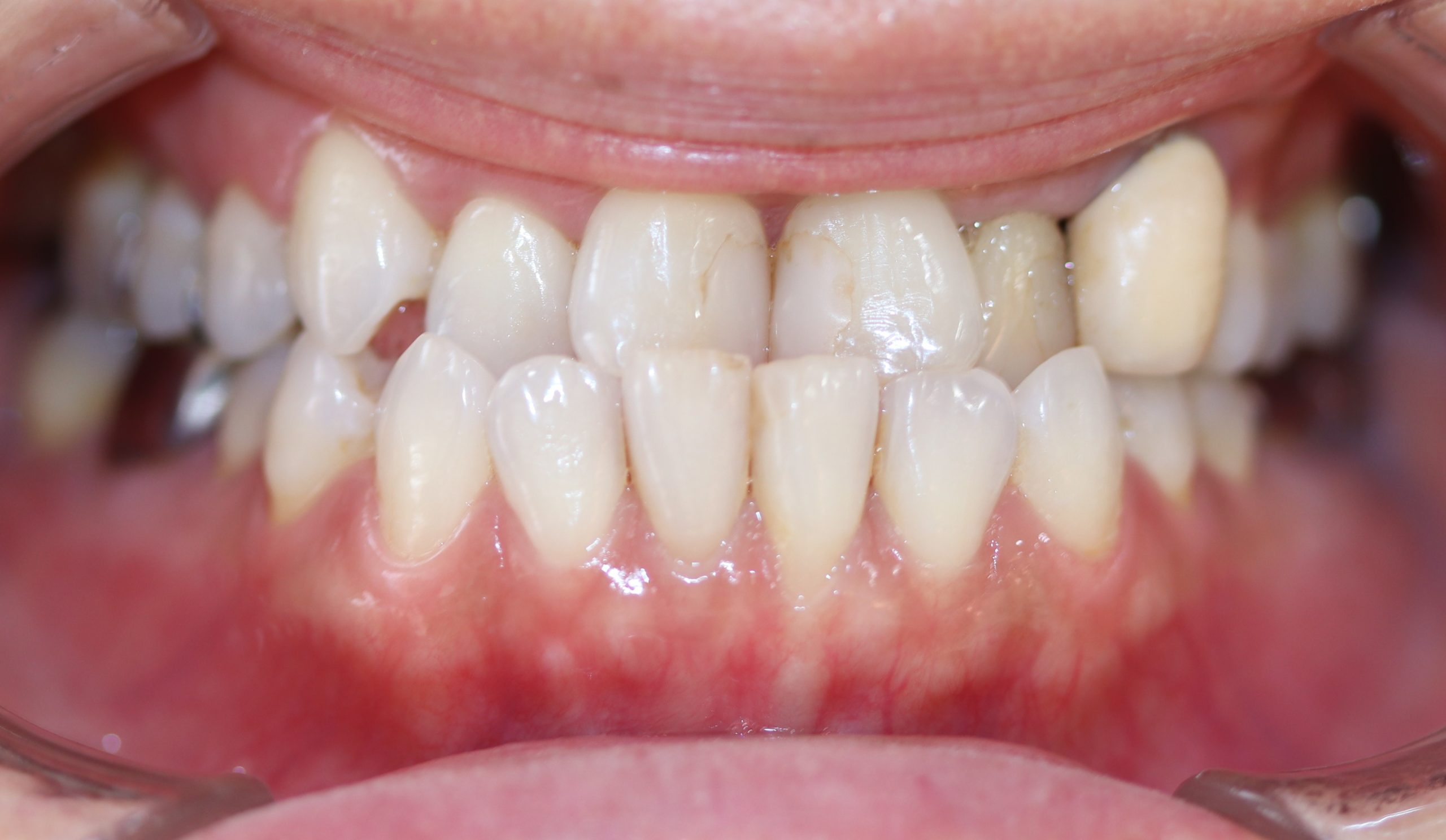
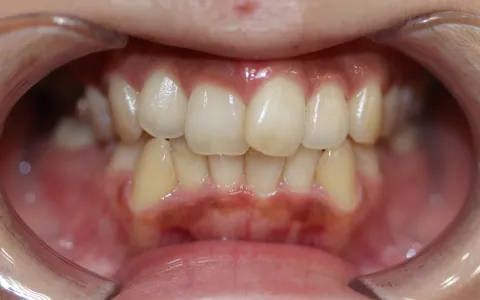
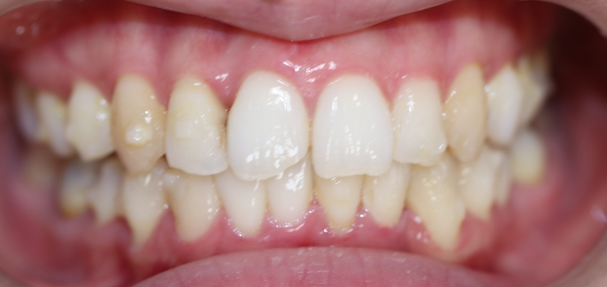
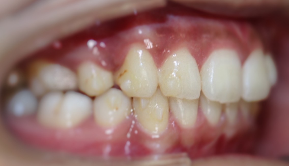
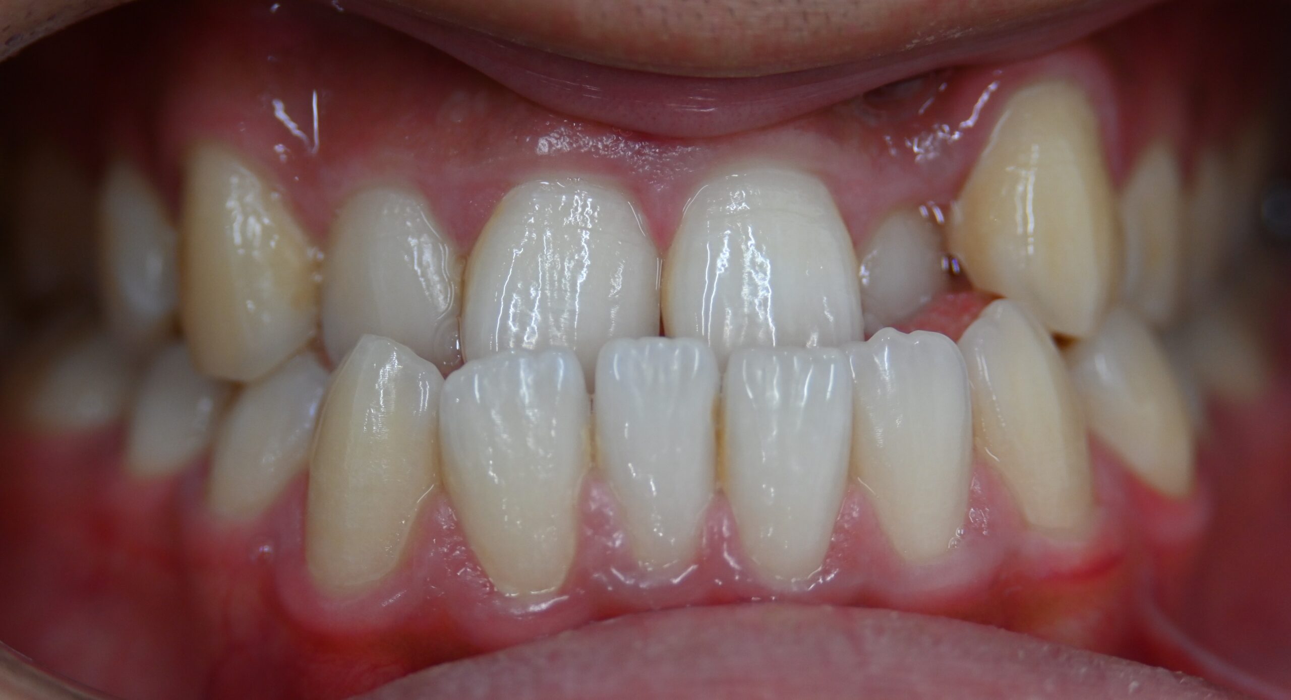
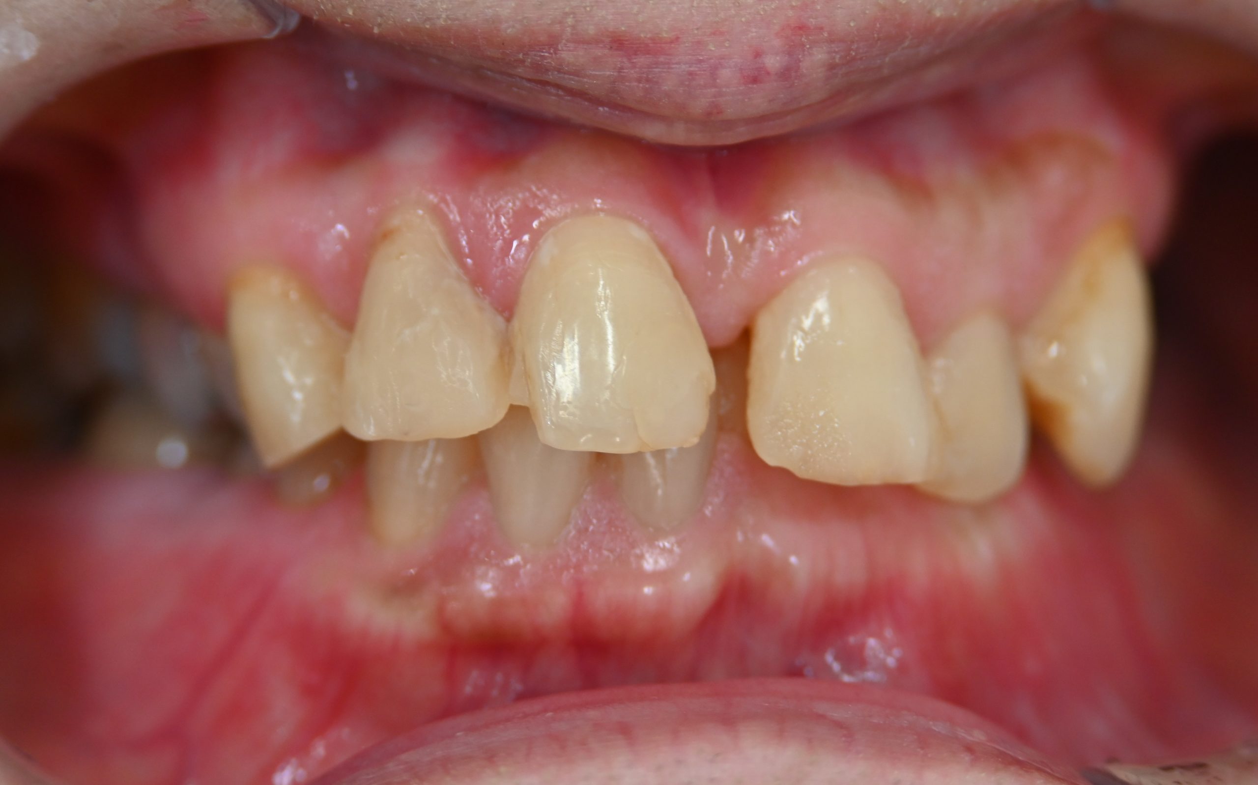
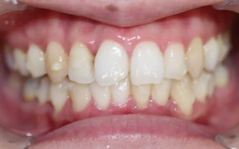
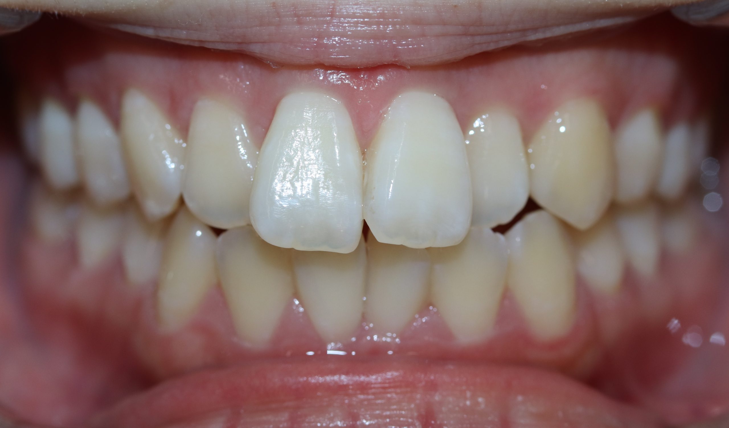
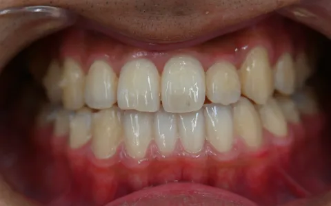
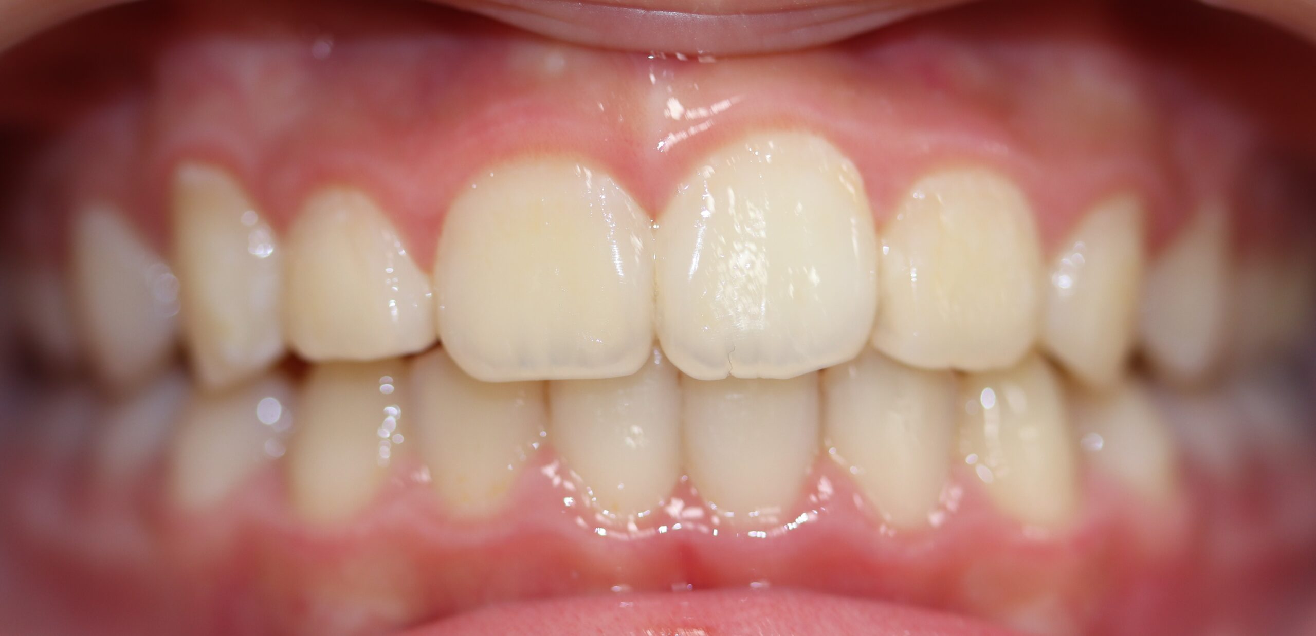
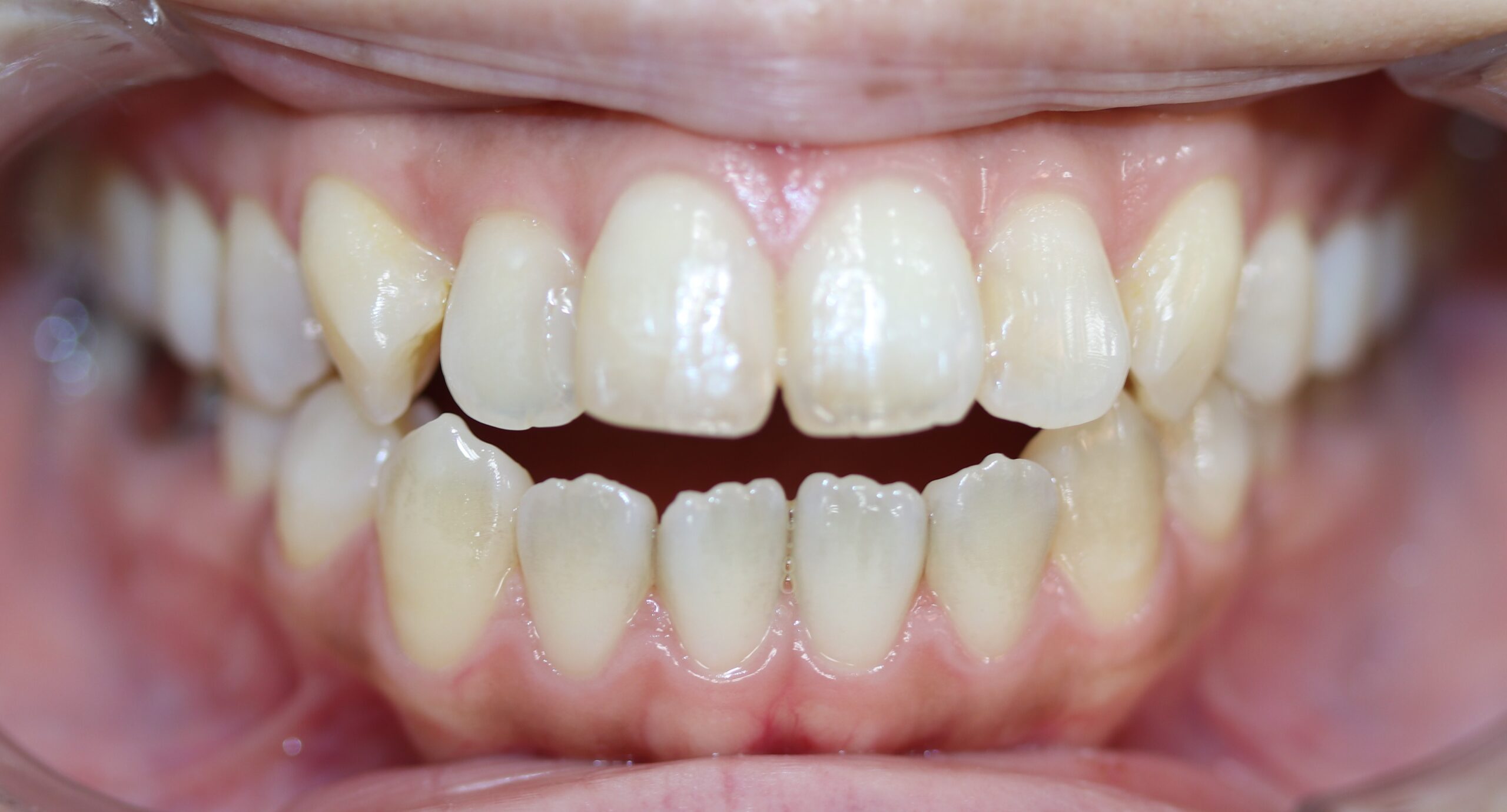
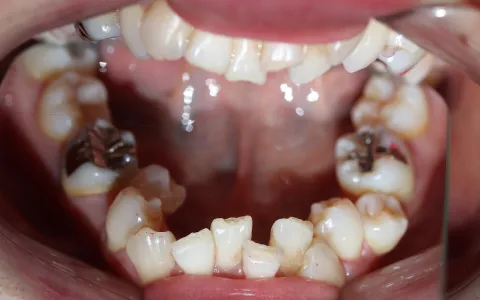
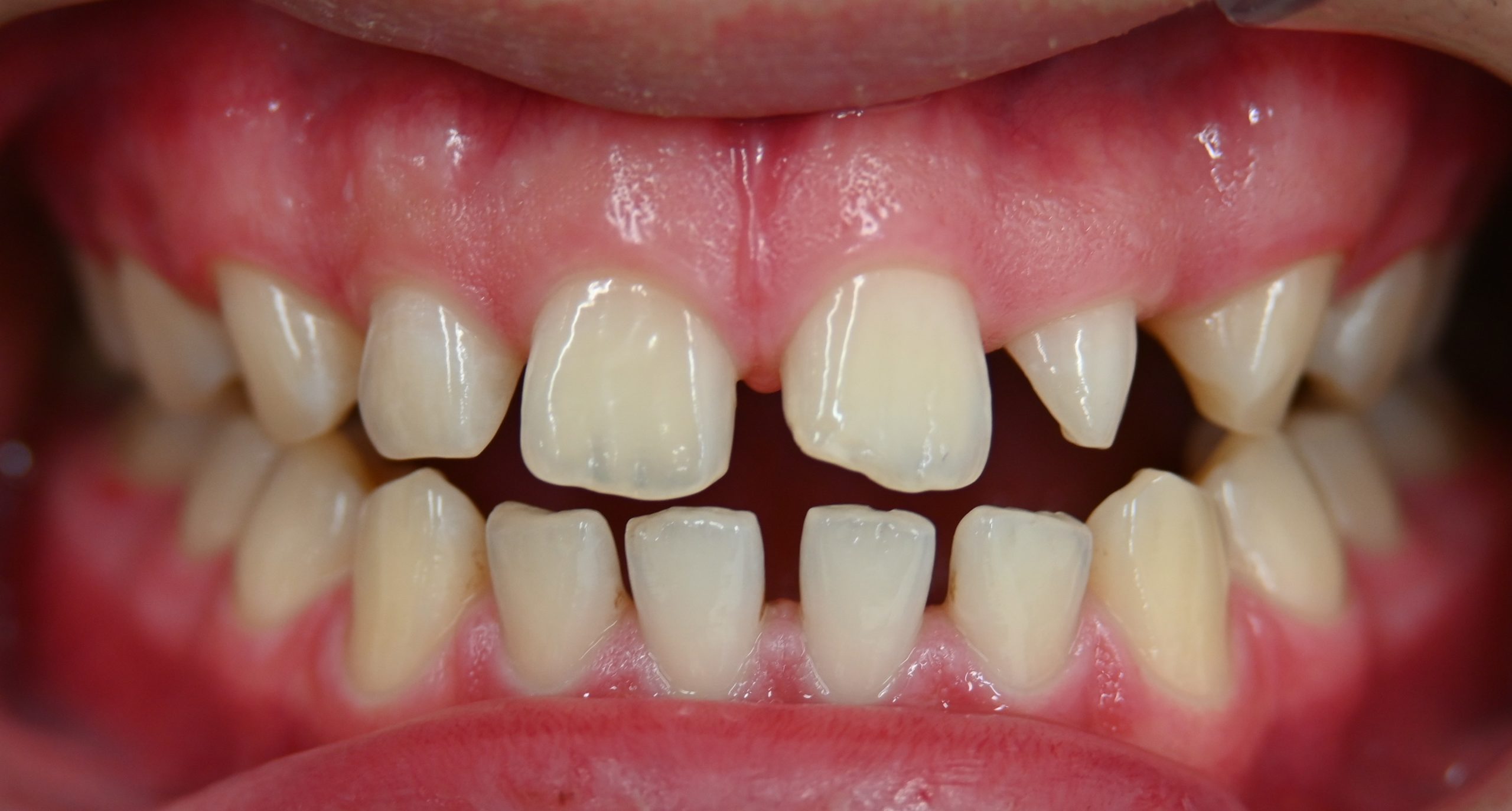
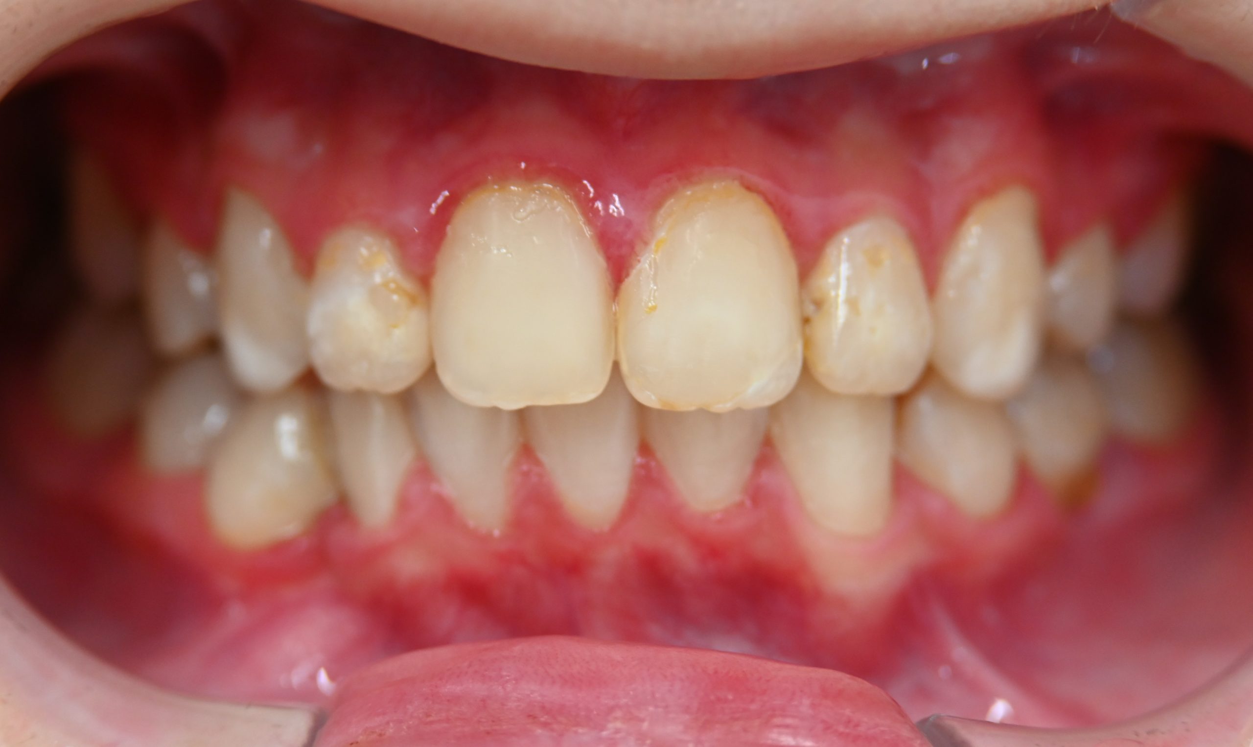
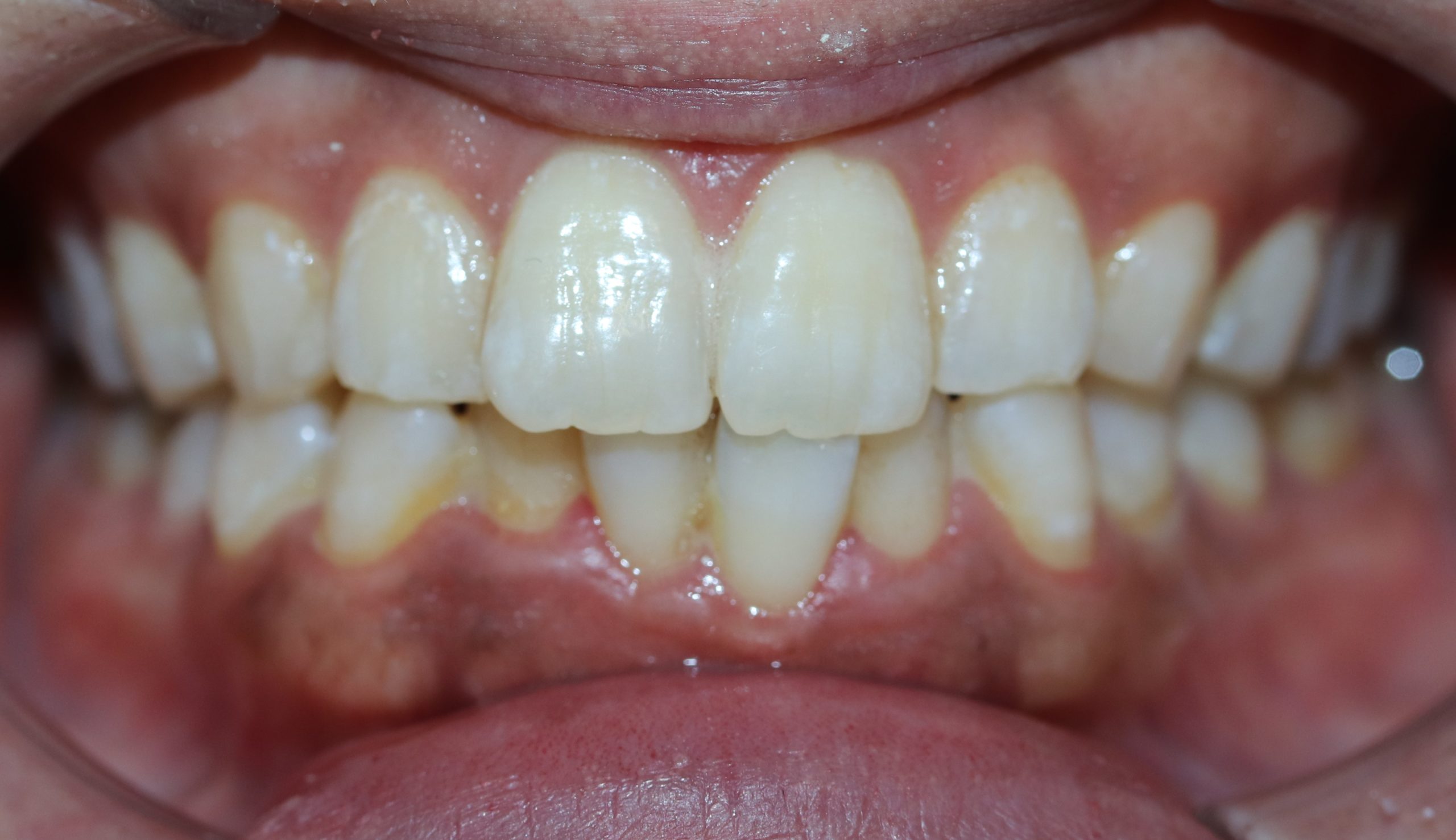
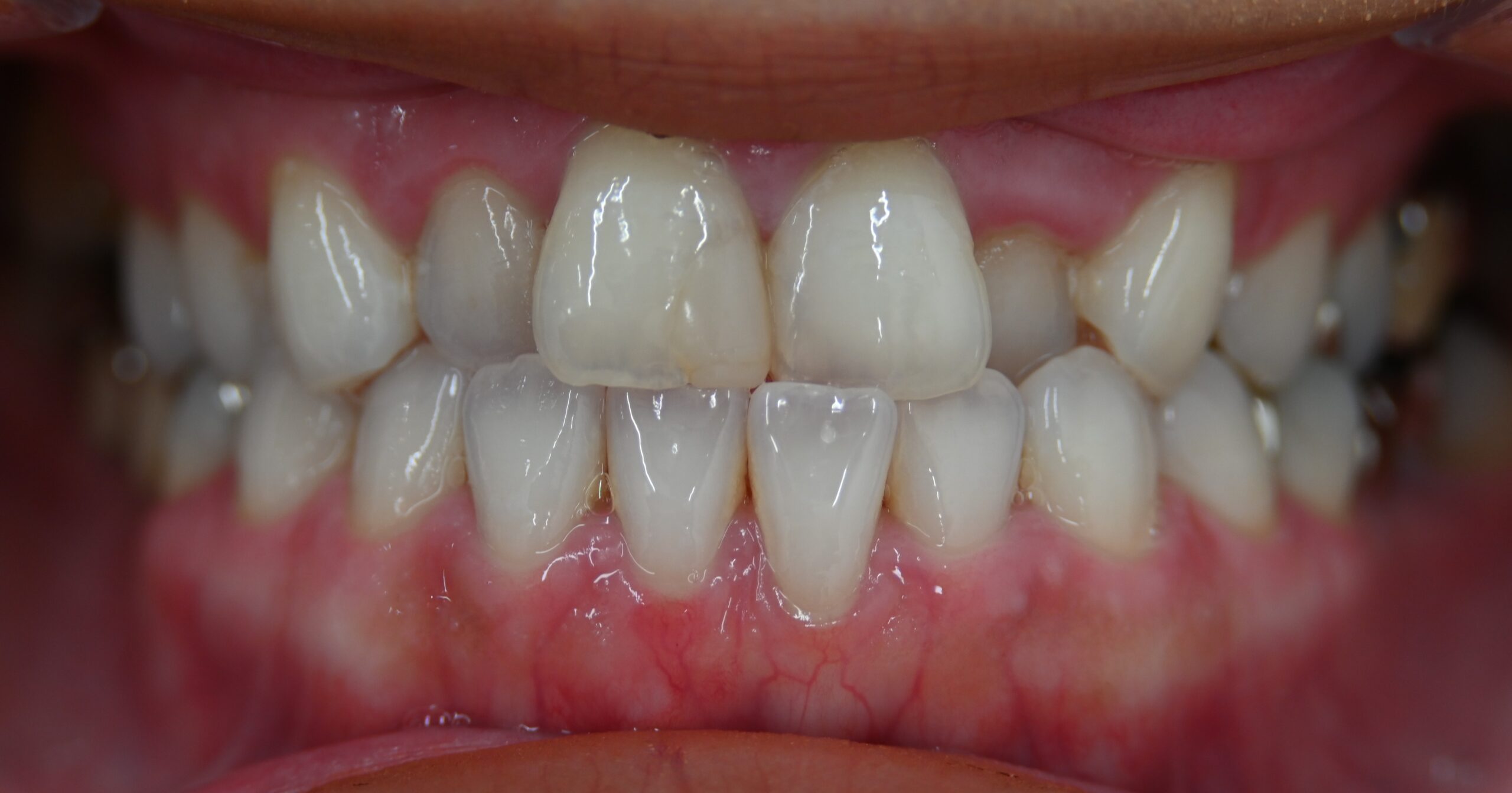
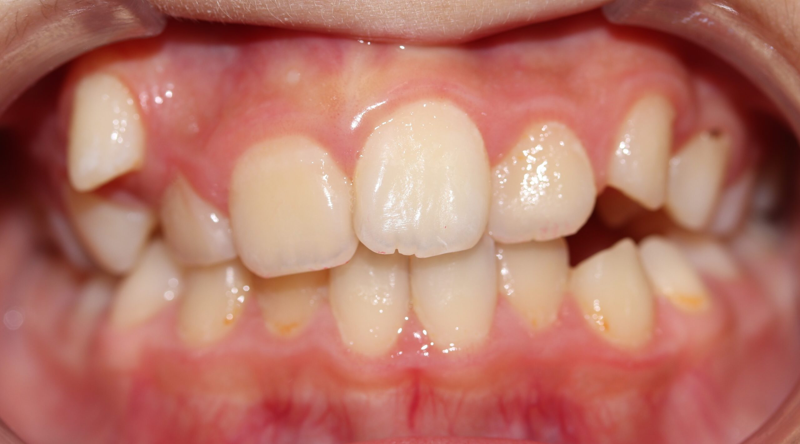
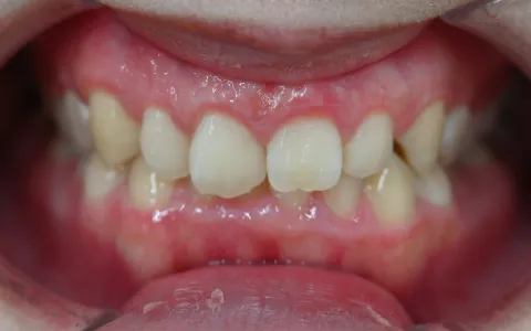
出っ歯/受け口/開咬/
叢生/すきっ歯を直したい
ワイヤーの矯正治療は
目立つから嫌だ
他の医院で矯正カウンセリングを
受けたが別の先生の意見が聞きたい
環境が綺麗な医院で
治療を受けたい
分割で費用を支払える
医院で治療を受けたい

国内に10名しか認定を受けていない
”ブラックダイヤモンドプロバイダー”の引野院長が矯正治療を行います
「ブラックダイヤモンドプロバイダー」は、インビザラインの症例実績が豊富なトップクラスのドクターに与えられる資格です。
これまでに培った技術・経験を生かしながら、
審美歯科専門の歯科医師として患者様にご満足していただける高品質な医療サービスをご提供いたします。
当院では多くの方に選ばれていることから、数多くのマウスピース制作を依頼する体制が整っております。そのため、より効率的で高品質なマウスピース矯正治療を患者様にご提供できる環境を整えております。


当院では多くの方に選ばれていることから、多くの量のマウスピースを制作依頼をすることができており、その分下がったコストを患者様の治療費に還元してマウスピース矯正治療を提供することが出来ております


オーラルビューティークリニック クラリス
歯科・矯正歯科
引野 貴之院長
TAKAYUKI HIKINO
インビザラインブラック
ダイヤモンドプロバイダー
インプラント学会会員
(日本口腔インプラント
学会認定100時間講習会修了)
日本歯科先端技術研究所 会員
(JIAD)
JIAD インプラント認証医
インビザラインブラック
ダイヤモンドプロバイダー認定
マウスピース型
矯正認定取得
認定取得