症例紹介
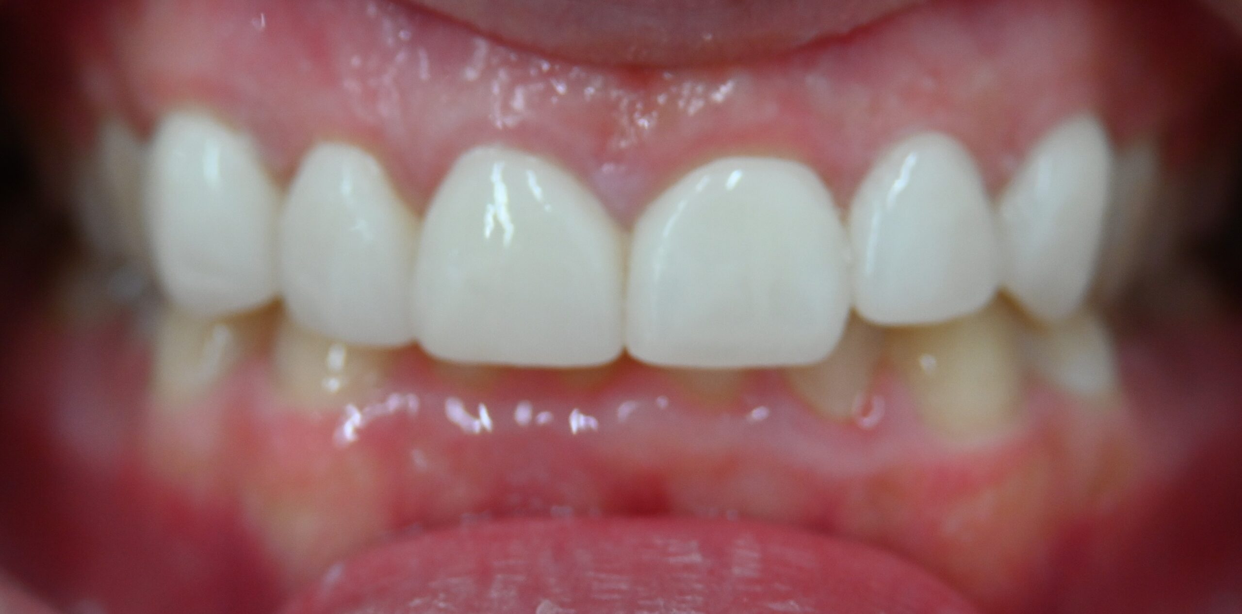
20代 女性 削らないラミネートベニア
症例情報
治療期間
2週間
通院回数
2回
費用
66,000円 × 6本(税込)
【治療内容】歯を削らないラミネートベニアによる審美治療。
【年齢/性別】20代 / 女性
【副作用・リスク】削らないラミネートベニアは元の歯よりも少し厚く大きくなります。この症例のように歯を大きくすることはできますが、歯を小さくしたり出っ歯を治すことはできません。状況によって術後に、疼痛・咬合時痛・冷水痛などを生じる事があります。
【年齢/性別】20代 / 女性
【副作用・リスク】削らないラミネートベニアは元の歯よりも少し厚く大きくなります。この症例のように歯を大きくすることはできますが、歯を小さくしたり出っ歯を治すことはできません。状況によって術後に、疼痛・咬合時痛・冷水痛などを生じる事があります。
30代 男性 削らないラミネートベニア
症例情報
治療期間
1日
費用
66,000円×6本(税込)
【治療内容】歯を削らないラミネートベニアによる審美治療。
【年齢/性別】30代 / 男性
【副作用・リスク】削らないラミネートベニアは元の歯よりも少し厚く大きくなります。この症例のように歯を大きくすることはできますが、歯を小さくしたり出っ歯を治すことはできません。状況によって術後に、疼痛・咬合時痛・冷水痛などを生じる事があります。
【年齢/性別】30代 / 男性
【副作用・リスク】削らないラミネートベニアは元の歯よりも少し厚く大きくなります。この症例のように歯を大きくすることはできますが、歯を小さくしたり出っ歯を治すことはできません。状況によって術後に、疼痛・咬合時痛・冷水痛などを生じる事があります。
20代 女性 削らないラミネートベニア
症例情報
治療期間
2週間
費用
48,000円+税×6本(税込)
【治療内容】歯を削らないラミネートベニアによる審美治療。
【年齢/性別】20代 / 女性
【副作用・リスク】削らないラミネートベニアは元の歯よりも少し厚く大きくなります。この症例のように歯を大きくすることはできますが、歯を小さくしたり出っ歯を治すことはできません。状況によって術後に、疼痛・咬合時痛・冷水痛などを生じる事があります。
【年齢/性別】20代 / 女性
【副作用・リスク】削らないラミネートベニアは元の歯よりも少し厚く大きくなります。この症例のように歯を大きくすることはできますが、歯を小さくしたり出っ歯を治すことはできません。状況によって術後に、疼痛・咬合時痛・冷水痛などを生じる事があります。
20代 女性 削らないラミネートベニア
症例情報
治療期間
3週間
通院回数
2回
費用
66,000円×7本(税込)
【治療内容】歯を削らないラミネートベニアによる審美治療。
【年齢/性別】20代 / 女性
【副作用・リスク】削らないラミネートベニアは元の歯よりも少し厚く大きくなります。この症例のように歯を大きくすることはできますが、歯を小さくしたり出っ歯を治すことはできません。状況によって術後に、疼痛・咬合時痛・冷水痛などを生じる事があります。
【年齢/性別】20代 / 女性
【副作用・リスク】削らないラミネートベニアは元の歯よりも少し厚く大きくなります。この症例のように歯を大きくすることはできますが、歯を小さくしたり出っ歯を治すことはできません。状況によって術後に、疼痛・咬合時痛・冷水痛などを生じる事があります。
50代 女性 削らないラミネートベニア
症例情報
治療期間
1日
費用
88,000円×8本(税込)
【治療内容】歯を削らないラミネートベニアによる審美治療。
【年齢/性別】50代 / 女性
【副作用・リスク】削らないラミネートベニアは元の歯よりも少し厚く大きくなります。この症例のように歯を大きくすることはできますが、歯を小さくしたり出っ歯を治すことはできません。状況によって術後に、疼痛・咬合時痛・冷水痛などを生じる事があります。
【年齢/性別】50代 / 女性
【副作用・リスク】削らないラミネートベニアは元の歯よりも少し厚く大きくなります。この症例のように歯を大きくすることはできますが、歯を小さくしたり出っ歯を治すことはできません。状況によって術後に、疼痛・咬合時痛・冷水痛などを生じる事があります。
30代 女性 削らないラミネートベニア
症例情報
治療期間
2週間
通院回数
2回
費用
66,000円(税込)
【治療内容】歯を削らないラミネートベニアによる審美治療。
【年齢/性別】30代 / 女性
【副作用・リスク】削らないラミネートベニアは元の歯よりも少し厚く大きくなります。この症例のように歯を大きくすることはできますが、歯を小さくしたり出っ歯を治すことはできません。状況によって術後に、疼痛・咬合時痛・冷水痛などを生じる事があります。
【年齢/性別】30代 / 女性
【副作用・リスク】削らないラミネートベニアは元の歯よりも少し厚く大きくなります。この症例のように歯を大きくすることはできますが、歯を小さくしたり出っ歯を治すことはできません。状況によって術後に、疼痛・咬合時痛・冷水痛などを生じる事があります。
40代 男性 削らないラミネートベニア
症例情報
治療期間
2週間
通院回数
2回
費用
66,000円×3本(税込)
【治療内容】歯を削らないラミネートベニアによる審美治療。
【年齢/性別】40代 / 男性
【副作用・リスク】削らないラミネートベニアは元の歯よりも少し厚く大きくなります。この症例のように歯を大きくすることはできますが、歯を小さくしたり出っ歯を治すことはできません。状況によって術後に、疼痛・咬合時痛・冷水痛などを生じる事があります。
【年齢/性別】40代 / 男性
【副作用・リスク】削らないラミネートベニアは元の歯よりも少し厚く大きくなります。この症例のように歯を大きくすることはできますが、歯を小さくしたり出っ歯を治すことはできません。状況によって術後に、疼痛・咬合時痛・冷水痛などを生じる事があります。