症例紹介

院長 引野 貴之
インビザライン矯正 ブラックダイヤモンドプロバイダー 

院長 引野 貴之

Hikino Takayuki

経歴

2016年神奈川歯科大学卒業
2016年日本歯科大学附属病院 研修医
2017年〜都内の歯科医院 副院長
2022年オーラルビューティークリニッククラリス歯科・矯正歯科 開院
2025年医療法人社団クラリス 開設 理事長 兼 院長


資格


所属学会

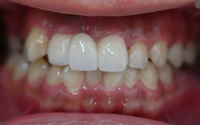
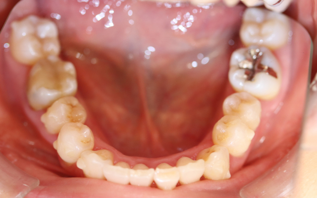
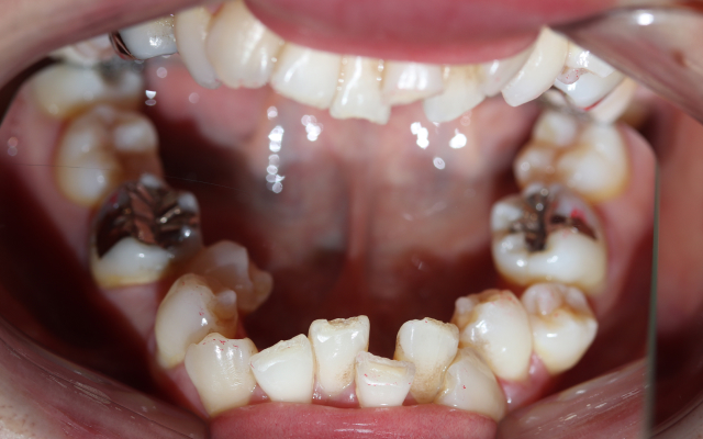
case. 01

インビザライン矯正の症例

before

after

30代 女性 叢生(そうせい), 交叉咬合(こうさこうごう)

施術概要

マウスピース矯正は、1日20時間以上マウスピースを装着する事により歯並びの矯正を行う事が出来る治療です。歯を動かしていく段階で1週間毎に新しいアライナーに交換し、少しずつ歯並びを綺麗にしていきます。

金額

616,000円(税込)

期間・回数

1年5ヶ月

リスク・副作用

全ての方で、疼痛、咬合痛、歯根吸収、歯根露出が生じる可能性があり。マウスピースを装着できなかった場合、予定通りに歯が動かない可能性があります。

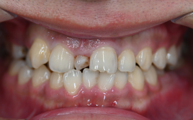
case. 02

ラミネートベニアの症例

before

after

40代 女性 削らないラミネートベニア

施術概要

セラミック治療は形の悪い差し歯や被せ物を治したり、部分的な歯並びの矯正を行うことができる治療です。短期間で歯並びの改善まで実現することが可能です。

金額

66000円(税込)×8本

期間・回数

2週間 / 2回

リスク・副作用

全ての方で、疼痛、咬合痛、冷水痛、抜歯を伴う場合は腫脹や出血などを生じる場合があります。麻酔を行う場合、腫れやむくみを感じる事があります。セラミック・仮歯が欠けたり、外れる事があります。神経の治療や抜歯が必要な場合があります。また、歯並びが変わる事により違和感を生じる可能性があります。

case. 03

セラミック治療の症例

before

after

20代 男性 セラミック治療

施術概要

セラミック治療は形の悪い差し歯や被せ物を治したり、部分的な歯並びの矯正を行うことができる治療です。短期間で歯並びの改善まで実現することが可能です。

金額

64,000円×2本(税込)

期間・回数

2週間 / 2回

リスク・副作用

全ての方で、疼痛、咬合痛、冷水痛、抜歯を伴う場合は腫脹や出血などを生じる場合があります。麻酔を行う場合、腫れやむくみを感じる事があります。セラミック・仮歯が欠けたり、外れる事があります。神経の治療や抜歯が必要な場合があります。また、歯並びが変わる事により違和感を生じる可能性があります。

LINE画像診断受付中!オンライン診療のご連絡もこちらから LINEで予約・お問い合わせ Webからのご予約は24時間受付中 無料カウンセリングを予約する お急ぎの方はこちらから 042-400-2000 診療時間:平日10:00~19:00 / 土日10:00~15:00
WEB予約 あなたが一番納得できる選択肢を医師が一緒に考えます。 LINEで予約・お問い合わせ