2023/09/26
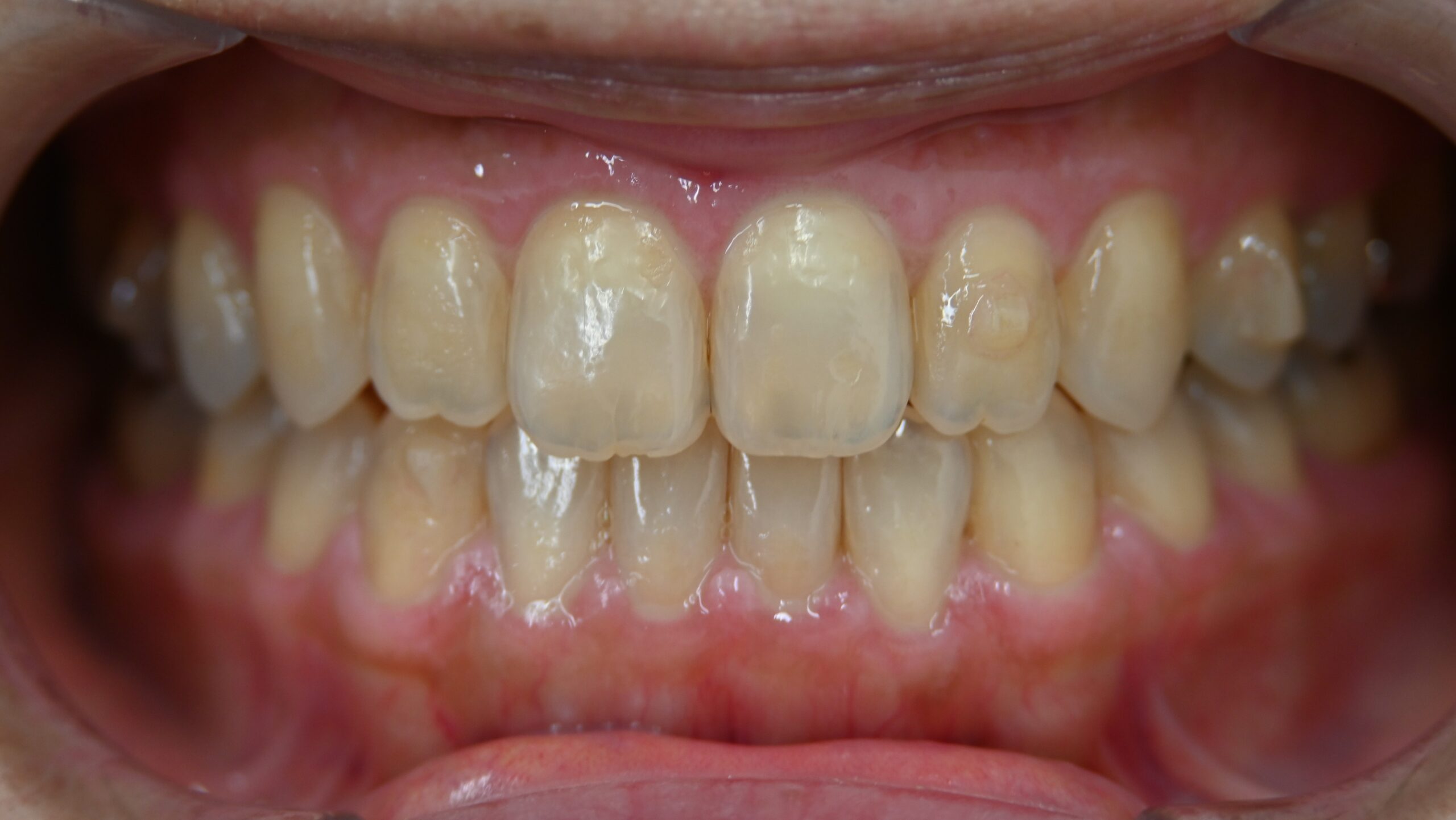
インビザライン症例紹介(小児矯正)
■インビザライン
【施術の説明】
マウスピース矯正は、1日20時間以上マウスピースを装着する事により歯並びの矯正を行う事が出来る治療です。歯を動かしていく段階で1週間毎に新しいアライナーに交換し、少しずつ歯並びを綺麗にしていきます。
透明なマウスピースなので審美性の高さは他の矯正治療はない大きなメリットです。
【費用】
インビザライン(コンプリヘンシブ):700,000円(税込770,000円)
インビザライン(モデレート):500,000円(税込550,000円)
インビザライン(ライト):400,000円(税込440,000円)
【治療期間・回数】
5ヶ月(治療中)
【施術の副作用・リスク】
全ての方で、疼痛、咬合痛、歯根吸収、歯根露出が生じる可能性があり。
1日20時間以上マウスピースを装着できなかった場合、予定通りに歯が動かない可能性があります。
【年齢・性別】
10代女性
【適応年齢・適応症】
6才〜70歳代まで幅広くマウスピース矯正を行なっています。
受け口(下顎前突)、開咬(オープンバイト)、噛み合わせが深い(過蓋咬合)
出っ歯(上顎前突)、でこぼこ(叢生)、すきっ歯(空隙歯列)


LINE予約
TEL予約
WEB予約