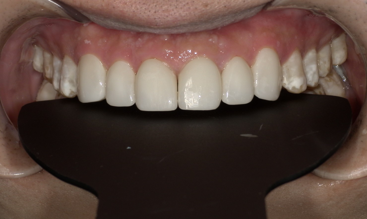
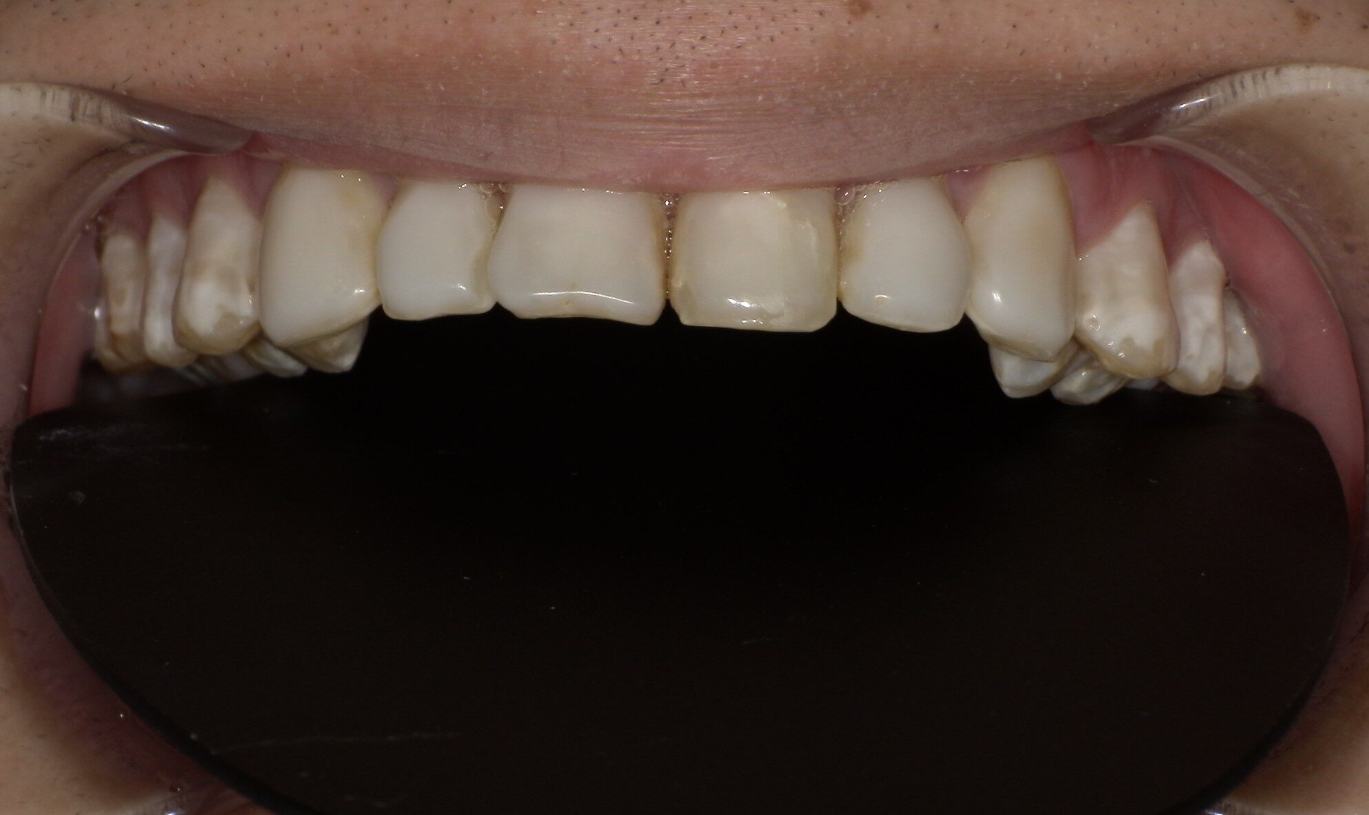
30代 男性 削らないラミネートベニア

before

after

金額

66,000円×6本(税込)

期間・回数

治療期間:1日

その他症例情報

【治療内容】歯を削らないラミネートベニアによる審美治療。
【年齢/性別】30代 / 男性
【副作用・リスク】削らないラミネートベニアは元の歯よりも少し厚く大きくなります。この症例のように歯を大きくすることはできますが、歯を小さくしたり出っ歯を治すことはできません。状況によって術後に、疼痛・咬合時痛・冷水痛などを生じる事があります。
LINE画像診断受付中!オンライン診療のご連絡もこちらから LINEで予約・お問い合わせ Webからのご予約は24時間受付中 無料カウンセリングを予約する お急ぎの方はこちらから 042-400-2000 診療時間:平日10:00~19:00 / 土日10:00~15:00
WEB予約 あなたが一番納得できる選択肢を医師が一緒に考えます。 LINEで予約・お問い合わせ