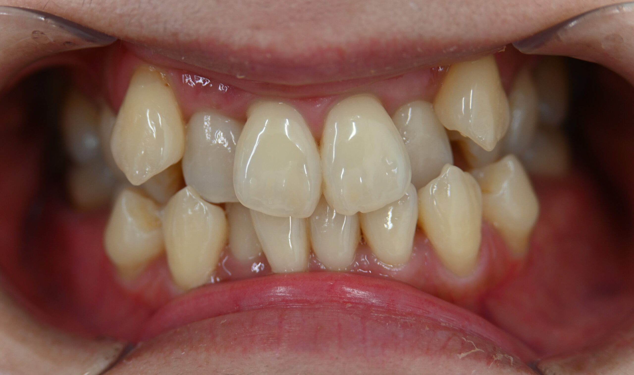
40代 女性 叢生(そうせい)

before

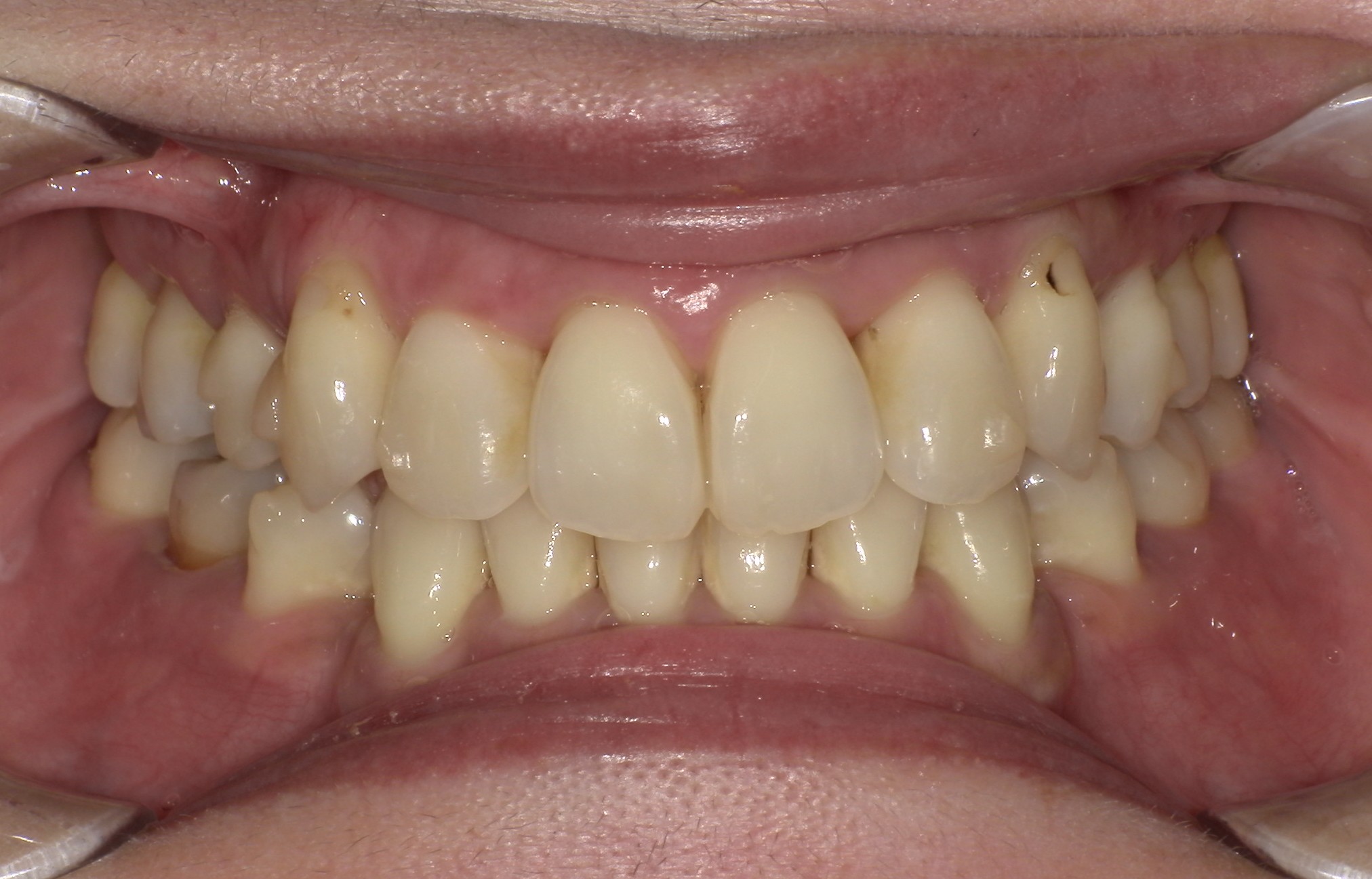
after

金額

616,000円(税込)

期間・回数

治療期間:6ヶ月

その他症例情報

【治療内容】マウスピース矯正は、1日20時間以上マウスピースを装着する事により歯並びの矯正を行う事が出来る治療です。歯を動かしていく段階で1週間毎に新しいアライナーに交換し、少しずつ歯並びを綺麗にしていきます。
【年齢/性別】40代 / 女性
【副作用・リスク】全ての方で、疼痛、咬合痛、歯根吸収、歯根露出が生じる可能性があり。マウスピースを装着できなかった場合、予定通りに歯が動かない可能性があります。
LINE画像診断受付中!オンライン診療のご連絡もこちらから LINEで予約・お問い合わせ Webからのご予約は24時間受付中 無料カウンセリングを予約する お急ぎの方はこちらから 042-400-2000 診療時間:平日10:00~19:00 / 土日10:00~15:00
WEB予約 あなたが一番納得できる選択肢を医師が一緒に考えます。 LINEで予約・お問い合わせ